医脉通编译整理,未经授权请勿转载。
患儿男性,10岁。既往体健。主因急性高热、
入院时,患儿表现为呼吸窘迫、
体格检查发现扁桃体红肿变大。初步实验室检查显示白细胞增多(21200 /μL),嗜中性粒细胞增多(18630 /μL), C反应蛋白(CRP)升高(32.76 mg/dL),

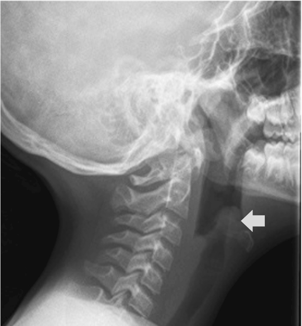
(图1 颈部侧位X线片显示"拇指"征)
患儿情况稳定后,由耳鼻喉科医生进行间接喉镜检查,发现声门上结构的炎症和
患儿临床和实验室结果逐渐改善,于7日后出院,并完成了额外3天的
流感嗜血杆菌(Haemophilus influenzae,HI)是儿童呼吸道和生殖道标本经常分离到的条件致病菌之一。随着B型流感嗜血杆菌(Hib)疫苗的广泛使用,小儿会
会厌炎的病因主要为感染,由后鼻咽部和/或菌血症的共生病原体直接侵入导致。在疫苗接种之前,B型流感嗜血杆菌(Hib)是最常见的感染原因,主要影响五岁以下儿童。随着20世纪90年代初Hib结合疫苗的广泛引入,包括会咽炎在内的侵袭性Hib疾病明显下降。
会厌炎的诊断主要通过临床评估,强调早期症状识别的重要性。Hib 会厌炎起病急、症状迅速恶化,常见的表现包括中毒症状、呼吸窘迫、高热、咽喉痛、吞咽困难、声音低沉、流涎和喘鸣。为维持气道通畅,患儿只能端坐呼吸,躯干前倾、颈部过伸和下颚前探(即“三脚架”姿势)。本例患儿入院时的主诉是急性胸痛和呼吸急促,没有表现出声音低沉或喘息。但由于高热,中毒症状,呼吸窘迫,咽喉痛和“三脚架”姿势,疑似会厌炎。
影像学检查对于会厌炎的诊断并不是必需的,也不应该延误治疗。考虑到即将发生上气道阻塞的风险,会厌炎患者的迅速稳定和气道管理至关重要。在本例中,患儿立即接受了高流量氧气面罩的支持,由于气道保持稳定,无恶化迹象,因此不需要紧急插管。 根据推荐并考虑到潜在病原体的谱(流感嗜血杆菌、
本例患儿血液培养发现不定型流感嗜血杆菌菌株,该菌株未被Hib疫苗接种覆盖,强调了非疫苗菌株作为充分免疫儿童会厌炎的潜在病原体的作用。由于非B型毒株的出现,在完全接种疫苗的儿童中仍可能发生流感嗜血杆菌的突破性感染。因此,临床医生必须保持高度警惕,特别是对表现出即将出现上呼吸道阻塞症状的儿童。此外,持续监测对于评估疫苗接种如何影响侵袭性流感嗜血杆菌疾病的流行病学模式也非常重要。
参考资料:
1.Ferreira M, Condessa L, et al. (January 16, 2026) Haemophilus influenzae Epiglottitis: A Rare Disease Not to Be Forgotten. Cureus 18(1): e101680.
2.潘雪娇,周洋,等.b型流感嗜血杆菌疾病和疫苗应用综述[J].中国疫苗和免疫,2025,31(03):376-384.

(本网站所有内容,凡注明来源为“医脉通”,版权均归医脉通所有,未经授权,任何媒体、网站或个人不得转载,否则将追究法律责任,授权转载时须注明“来源:医脉通”。本网注明来源为其他媒体的内容为转载,转载仅作观点分享,版权归原作者所有,如有侵犯版权,请及时联系我们。)