68岁男性,患有进行性麻木、眩晕和认知能力下降,你会如何诊断?| 临床推理
2026-04-14


一名68岁的男性,下肢出现亚急性进行性麻木和眩晕。同时还出现了行为和认知变化。初步检查提示严重的轴突感觉运动性多发性神经病,但脑部MRI显示的异常信号和脑脊液检测结果,最终揭示了更深层次的病因。一起来看看推理过程吧~





68岁男性患者,进行性四肢麻木6个月

一名68岁高血压男性患者,因进行性四肢麻木6个月到神经科门诊就诊。麻木始于脚趾,并迅速进展至大腿中部和上肢。患者平衡能力差,几乎每天都会摔倒,在黑暗或闭眼时加重,需要使用助行器。患者报告有眩晕,头部运动时加重,前庭康复治疗无效。四个月前,家人发现他变得易怒、好争论,会忘记谈话内容,并且经常重复自己的话。他否认体重减轻、疼痛、构音障碍吞咽困难。无吸烟、饮酒或药物使用史,无神经系统疾病家族史。他服用的药物包括氢氯噻嗪维生素B12叶酸补充剂以及抗酸药。


检查时,他对人、地点、时间和情境有定向力。无失用症。对话中无命名错误。他有正常的复述能力。能倒着拼写WORLD。双侧下肢远端肌肉无力(MRC 4级,踝背屈、跖屈、内翻和外翻)。足部有针刺痛。踝关节和远端指关节的本体感觉和振动觉严重减退。Romberg征阳性。下肢反射消失。双侧掌颏反射存在,但无其他额叶释放征。步态谨慎,站姿宽阔,但患者可独立行走。Babinski和Hoffman反射阴性。没有指鼻运动障碍、震颤、肌张力增高或帕金森样特征。5个月前的脑部增强MRI报告无异常,但无法进行个人审查。


门诊就诊1个月后,患者跌倒次数增加,认知功能下降且每日情况波动。妻子报告他有时间感知错误,例如在早餐时间坚持要吃晚餐。他显得更加注意力不集中,有间歇性无意义言语,并且他记住最近对话的能力下降。他对活动缺乏兴趣,拒绝参加社交活动。眩晕变得更加频繁。他走路时感到疼痛,描述为仿佛走在石头上。由于病情急剧恶化且无法自理,患者被收入院。


检查发现其记忆和语言领域有明显变化。定向力波动。无法回忆远期事件。有轻度痉挛性构音障碍。命名和复述能力完好无损。他完成了Cognistat评估,得分为45/76,主要在记忆、注意力和判断方面存在缺陷。他难以放松,四肢肌张力增高。双侧有轻度指鼻辨距障碍。步态表现为腿部僵硬、拖步和后退步态。


问题思考:


你认为病变位于何处?

第二部分

这可能是一个影响中枢神经系统(CNS)和周围神经系统(PNS)的多灶性病变。从CNS的角度来看,行为改变、工作记忆、判断力和注意力缺陷以及掌颏反射阳性提示脑部病变,特别是额叶病变。眩晕和指鼻辨距不良提示小脑病变。此外,僵硬、步态拖沓和后退可能提示基底节等皮质下结构受累。从PNS的角度来看,远端感觉缺陷、无力和反射消失提示神经根、神经丛或神经病变。长度依赖性和远端模式更符合感觉运动性神经病,影响小(针刺)和大(振动和本体感觉)感觉纤维。平衡困难可能是多因素的,包括最初由神经病引起的感觉性共济失调,随后由小脑和基底节/皮质下缺陷引起。


问题思考:


你的鉴别诊断是什么?


你会安排哪些检查?

第三部分

除血清和脑脊液检查外,由于认知功能迅速下降,重复进行脑部MRI扫描和脑电图(EEG)至关重要。为评估PNS是否受累,电诊断检查必不可少。鉴于副肿瘤性病变的可能性,安排胸部、腹部和盆腔增强CT筛查恶性肿瘤是合适的。


患者血清检查显示红细胞沉降率、C反应蛋白、抗核抗体和抗中性粒细胞胞浆抗体、SSA/SSB、副肿瘤和神经节苷脂抗体、重金属、蛋白电泳血红蛋白A1C和TSH均正常。HIV和梅毒阴性。维生素B1、维生素B6、维生素B12、锌、铜和甲基丙二酸正常。脑脊液显示2个有核细胞,0个红细胞,葡萄糖67 mg/dL,蛋白43 mg/dL(均在正常范围内)。


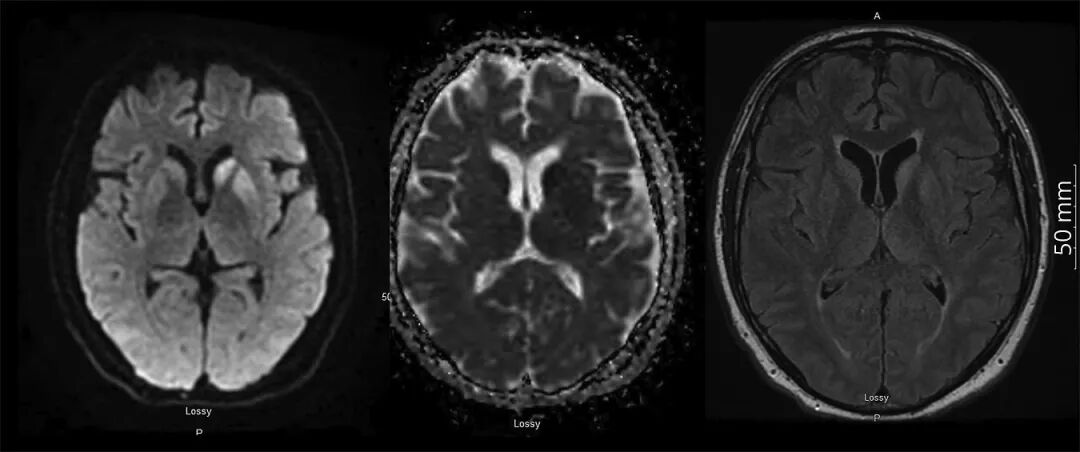
副肿瘤性脑脊液检测、单纯疱疹病毒PCR和隐球菌抗原检测均为阴性。常规EEG显示背景频率为7Hz,符合轻度至中度广泛性减慢,无局灶性、周期性或癫痫样特征。胸部、腹部和盆腔CT未发现恶性肿瘤。脑部增强MRI显示双侧尾状核和左前壳核扩散受限,造影时未见异常增强。T2 FLAIR序列显示轻度脑室周围白质高信号和轻度萎缩,脑室和脑沟扩大(图)。电诊断检查显示长度依赖性、严重的轴索性感觉运动性多发性神经病,累及上下肢。

图片图 DWI、ADC和T2 FLAIR序列显示左尾状核和前壳核弥散受限,相应区域ADC低信号和T2 FLAIR高信号

问题思考:


根据客观数据,你的诊断考虑是什么?


你会安排哪些额外检查?

第四部分

MRI结果结合患者快速进展的认知衰退和实验室检查无明显异常,强烈提示克雅氏病(CJD)。CJD的典型脑部MRI表现包括DWI或T2 FLAIR序列上尾状核、壳核或皮质区域(颞-顶-枕)高信号,通常局限于皮质回,称为皮质带状征。MRI上无增强使得炎症或自身免疫性脑炎的可能性降低。安排RT-QuIC脑脊液检测,其对CJD的特异性接近100%,敏感性为90%-95%。14-3-3为19,292 Au/mL(正常<1999 Au/mL),t-tau蛋白为2,935 pg/mL(正常<1,149 pg/mL)。RT-QuIC检测阳性。患者1个月后去世。脑部尸检最终确诊为散发性克雅氏病(sCJD),亚型MV1-2。患者未进行PNS病理检查

讨论

本病例强调了sCJD可同时累及CNS和PNS。sCJD患者通常由于脑部异常朊蛋白(PrPSc)沉积而表现出皮质功能障碍。然而,多项研究也证实了sCJD在临床和病理上与PNS有关。在一个包含227例明确sCJD患者的意大利队列中,15%描述了症状,10%有提示PNS受累的症状和体征,包括麻木、感觉异常、无力以及振动觉、小纤维感觉和反射减退或消失。值得注意的是,这些异常在VV2和MV2K亚型中比MM1亚型更常见,其中约40%的患者出现PNS症状或体征,9%在疾病初期即出现。VV2和MV2K亚型中三分之一患者的电诊断检查显示异常,包括轴索性多发性神经病、脱髓鞘性多发性神经病和多发性神经根神经病。


本患者的亚型为MV1-2(混合PrPSc 1型和2型,以1型为主)。该亚型患者的病程通常至少为10个月,但尚无相关周围神经病的报道。临床上,sCJD伴PNS表现的患者可能经历痛性感觉神经病、快速进展的感觉运动性神经病或肌萎缩。从病理学角度来看,研究显示PrPSc沉积在PNS结构中,包括背根神经节、三叉神经节和周围神经。PrPSc沉积也见于脊髓后角。推测PNS受累可能是由于逆行性轴突病变或离心性播散所致。


总之,对于表现为进行性周围神经病伴认知或小脑功能障碍的患者,在鉴别诊断中应考虑克雅氏病。


参考文献:Regan SM, Davalos LF. Clinical Reasoning: A 68-Year-Old Man With Progressive Numbness, Vertigo, and Cognitive Decline. Neurology. 2025 Mar 11;104(5):e213437. doi: 10.1212/WNL.0000000000213437. Epub 2025 Feb 6. PMID: 39913879.








声明:本平台旨在为医疗卫生专业人士传递更多医学信息。本平台发布的内容,不能以任何方式取代专业的医疗指导,也不应被视为诊疗建议。如该等信息被用于了解医学信息以外的目的,本平台不承担相关责任。本平台对发布的内容,并不代表同意其描述和观点。若涉及版权问题,烦请权利人与我们联系,我们将尽快处理。

(本网站所有内容,凡注明来源为“医脉通”,版权均归医脉通所有,未经授权,任何媒体、网站或个人不得转载,否则将追究法律责任,授权转载时须注明“来源:医脉通”。本网注明来源为其他媒体的内容为转载,转载仅作观点分享,版权归原作者所有,如有侵犯版权,请及时联系我们。)

1
收藏 分享