咳嗽气喘4个月,59岁男子气道被堵住,手术不敢做,该怎么办?| 医典探案
2026-04-10



被堵住的气管

老李(化名)今年59岁,是一位有着30年吸烟史的老烟民,年轻时曾因“肺结核”住院治疗,后来症状消失,便再也没放在心上。然而从四个月前开始老李的身体却悄悄发出了警报。

起初只是偶尔干咳,老李以为是老毛病犯了,没太在意。可渐渐地,咳嗽越来越频繁,还开始咳出黏稠的白痰。最让他难受的是,稍微走快一点就觉得胸闷气短,甚至在家爬两层楼梯都得歇上两回。老伴催他去医院看看,他总说“再等等”。

直到有一天,他发现自己连跟孙子说话都喘不上气,这才慌了神,来到了门诊就诊。来到医院后,医生为他做了详细检查:

  • 体格检查右肺下叶能听到湿性啰音,其他没有明显异常。


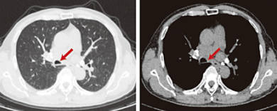
  • 胸部CT:纵隔、肺门区见多处高密度钙化灶,右中间支气管明显狭窄,右肺下叶还有黏液栓、阻塞性肺炎表现。


图片
图1:患者胸部CT

  • 支气管镜:右中间支气管内侧壁向外凸起,黏膜充血肿胀,管腔显著变窄,腔内有脓性分泌物。


图片
图2:患者支气管镜检查

  • 病理活检:支气管黏膜上皮增生,黏膜下大量淋巴细胞、少量浆细胞及中性粒细胞浸润。


老李最终诊断为纵隔淋巴结钙化合并右中间支气管狭窄、右肺下叶阻塞性肺炎。

手术台上的“死胡同”

摆在老面前的传统方案是外科手术,可现实却给了他沉重一击。肺功能检查显示,老李的第一秒用力呼气容积(FEV1)仅为预计值的30%远低于手术要求的50%标准

麻醉科评估后明确,他无法耐受单肺通气的全身麻醉,开胸手术风险极高,术后还可能面临神经损伤、伤口愈合不良等并发症。

常规的介入手段也陷入僵局。电灼、冷冻、球囊扩张加支架置入,只能暂时疏通气道,无法彻底清除位置深在的钙化淋巴结,而且支架长期置入还会带来感染、肉芽组织增生等隐患




在无法手术、保守治疗效果差的情况下,

您觉得可以用什么方案安全、微创地解除气道压迫?



图片


一个大胆的想法

主诊医生盯着CT片子上那些高密度的钙化灶,陷入沉思。传统的气道介入技术都只能暂时撑开气道,无法取出深埋的钙化淋巴结。支架长期留置还可能带来感染和肉芽组织增生的风险。

既然我们能用超声支气管镜(EBUS)做穿刺活检,能不能……直接切开气管壁,把这些'石头'掏出来?

这个想法听起来近乎疯狂。EBUS通常用于诊断——在超声引导下穿刺取样。但用于治疗?这在文献中几乎没有先例。但老的情况已经没有更好选择。经过多学科团队反复论证,医生们决定放手一搏。

超声引导下的“拆弹”

术前,团队通过增强CT精准标记病灶与周围血管,联合胸外科制定紧急预案,备好球囊导管应对出血,手术团队随时待命,确保万无一失。获得老陈知情同意后,手术在全麻下通过硬质支气管镜顺利开展。

术中,超声屏幕清晰地显示出7区淋巴结附近的多处高回声钙化病灶。在实时超声引导下,医生用高频针刀在支气管壁精准切开1厘米小口,黑色的钙化淋巴结随即暴露出来。借助异物钳,两枚压迫气道的钙化淋巴结被完整取出,再次超声确认无残留后,手术圆满完成。

整个过程平稳顺利,无任何术中并发症。术后老李接受了为期两天的头孢呋辛抗感染治疗(每次1.5克,每日两次),短短几天内,困扰他四个月的咳嗽、呼吸困难就明显缓解。术后第8天,老陈顺利出院,久违的顺畅呼吸终于回来了。

四个月后复查,CT显示钙化病灶完全消失,支气管镜下气道切口愈合良好,管腔通畅无狭窄、无黏液潴留,黏膜恢复正常。老陈彻底摆脱了呼吸困扰,回归正常生活,无任何不适与并发症。

图片
图3:复查CT

结论

纵隔淋巴结钙化多继发于结核病、真菌病、结节病等,临床十分常见,多数无症状,但一旦压迫气道、食管,就会引发呼吸困难、吞咽困难等重症,内科治疗无效时,手术是唯一出路。而老年、肺功能差、基础病多的患者,往往被手术拒之门外。该病例证实EBUS引导下经支气管切除钙化淋巴结是一种安全、有效的微创治疗方法,尤其适用于不适合或拒绝外科手术的患者。

参考文献:Liu XP, Huang ZS, Song HX, Xu Z, Fan Y, Zhang MZ. Case Report: Novel Insights Endobronchial Ultrasound-Guided Transbronchial Incision and Resection of Calcified Lymph Nodes - A Minimally Invasive Approach to Airway Stenosis. Respiration. 2026;105(2):330-334.





医脉通是专业的在线医生平台,“感知世界医学脉搏,助力中国临床决策”是平台的使命。医脉通旗下拥有「临床指南」「用药参考」「医学文献王」「医知源」「e研通」「e脉播」等系列产品,全面满足医学工作者临床决策、获取新知及提升科研效率等方面的需求。



本平台旨在为医疗卫生专业人士传递更多医学信息。本平台发布的内容,不能以任何方式取代专业的医疗指导,也不应被视为诊疗建议。如该等信息被用于了解医学信息以外的目的,本平台不承担相关责任。本平台对发布的内容,并不代表同意其描述和观点。若涉及版权问题,烦请权利人与我们联系,我们将尽快处理。


(本网站所有内容,凡注明来源为“医脉通”,版权均归医脉通所有,未经授权,任何媒体、网站或个人不得转载,否则将追究法律责任,授权转载时须注明“来源:医脉通”。本网注明来源为其他媒体的内容为转载,转载仅作观点分享,版权归原作者所有,如有侵犯版权,请及时联系我们。)

1
收藏 分享