医脉通编译整理,未经授权请勿转载。
患者女性,63岁,为

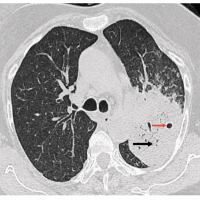
图1 胸部高分辨率CT扫描显示实变(黑色箭头)伴空洞(红色箭头)
初始实验室检查显示白细胞 12×109/L,C反应蛋白(CRP) 12mg /L,空腹血糖 140mg /dL, HbA1C 9%;血清电解质、
为确认诊断并评估 ATT 治疗失败的原因,如耐药、继发感染或恶性肿瘤,患者接受了支气管镜支气管肺泡灌洗(BAL)和经支气管

图2 经支气管活检标本GMS染色
患者初步诊断为
放线菌病(Actinomycosis)是由属于放线菌属的革兰阳性厌氧菌或微需氧丝状菌引起的,可诱导化脓性和肉芽肿性炎症的过程。潜在的免疫功能低下状态,如糖尿病,是这种感染发病的主要危险因素。放线菌可感染所有组织和器官,其中肺部放线菌病约占放线菌病总负担的 20%。
肺放线菌病大多是由于口腔卫生不良和吸入含有放线菌的分泌物而感染,也可以通过血液或腹部病变直接传播。其临床表现缺乏特异性,可表现为
放线菌需要在厌氧环境中培养,共生微生物和其他微生物的污染都可以抑制其生长,因此
未经治疗的肺放线菌病可导致严重并发症,包括脓胸、肋骨破坏等。早期予适当的治疗,预后较好,病死率低。肺放线菌病的治疗主要取决于以敏感性为基础的抗生素治疗,治疗的持续时间取决于疾病的严重程度。
综上,放线菌病多继发于口腔卫生不良、有基础疾病者,尤其是糖尿病且血糖控制不佳的患者易发。肺放线菌病是一种罕见的慢性感染,在临床表现和放射学表现上与肺结核(PTB)非常相似,特别是在结核病流行地区。临床医生应保持对于罕见感染的警惕性,及时诊断和靶向抗菌治疗可降低发病率,避免后续手术干预。
参考资料:
1.Malegaonkar S K (February 03, 2026) Pulmonary Actinomycosis Mimicking Pulmonary Tuberculosis: A Diagnostic Challenge. Cureus 18(2): e102871.
2.许亚丽,张杜超,
3.陈正伟,卢锋峰.放线菌病临床特征及诊断分析[J].中国医药指南,2023,21(24):76-78+82.
(本网站所有内容,凡注明来源为“医脉通”,版权均归医脉通所有,未经授权,任何媒体、网站或个人不得转载,否则将追究法律责任,授权转载时须注明“来源:医脉通”。本网注明来源为其他媒体的内容为转载,转载仅作观点分享,版权归原作者所有,如有侵犯版权,请及时联系我们。)