作者:郝巍 刘婵 河北省中医院
本文为作者授权医脉通发布,未经授权请勿转载
超高龄(89岁)合并晚期恶性肿瘤
肺恶性肿瘤确诊9年(右肺占位逐渐进展至5.96cm团块,伴支气管闭塞、淋巴结转移、骨转移),但长期未接受抗肿瘤治疗(家属因高龄拒绝积极干预)。
近期病情恶化:咳嗽、痰中带血、胸痛加重,影像学显示肿瘤进展(右肺门占位增大)、阻塞性肺炎、胸腔积液、骨转移(胸椎/肋骨破坏)、肺栓塞及下肢深静脉血栓形成。
恶病质与多器官功能障碍
呼吸衰竭:肺部感染(白细胞15.07×10⁹/L,中性粒细胞84.5%)伴呼吸衰竭(血氧饱和度波动78%-82%),肺栓塞(肺动脉充盈缺损)。
心脑血管基础病:冠心病(30年)、肥厚型心肌病(左室流出道梗阻)、高脂血症、脑梗死(3年)、脑萎缩(10个月,伴左侧肢体瘫痪及认知障碍)。
其他并发症:下肢静脉血栓(股浅静脉/腘静脉血栓)、消化道出血(隐血阳性)、低蛋白血症(白蛋白27.3-38.2g/L)、电解质紊乱(低钾)、贫血(血红蛋白75-114g/L)。
疼痛与功能丧失:被动体位时面部疼痛评分8分(重度),神志不清,睡眠障碍,生活完全无法自理。
营养衰竭:体重下降7kg,恶病质状态(BMI极低,肌肉萎缩),留置尿管,便秘需灌肠。
家属意愿
患者及家属拒绝化疗、靶向治疗、有创操作(如气管插管),仅接受“缓解症状、提高生活质量”的对症治疗。
核心诊断与疾病进展
患者为老年女性,9年前发现右肺占位未处理,2024年9月起明确右肺恶性占位(右肺下叶背段团块5.96cm×4.05cm→2024年11月右肺门占位54.6mm×42.5mm→2025年9月病变进展),结合影像学特征(支气管闭塞、阻塞性炎症、纵隔淋巴结肿大)、临床症状(咳嗽、痰中带血)及转移征象,高度怀疑右肺癌,且已进展至晚期,合并多器官转移。患者现丧失自理能力,面部表情疼痛评分8分,周身乏力,偶有咳嗽、咳痰,无咳血,无头晕、头痛,无胸闷,气短,无恶心、呕吐,纳可,睡眠障碍,神志不清,精神欠佳,留置尿管,便秘,每5天灌肠一次。发病以来,体重下降约7Kg。
与本病相关病史
平素健康状况一般,既往"冠状动脉粥样硬化性心脏病"病史30年,偶有胸前区不适,口服"速效救心丸"(具体用量不详)后症状可缓解。既往"脑梗死"病史3年,"脑萎缩"病史10个月,现遗留左侧肢体活动不利、言语不能、认知障碍等。既往"睡眠障碍"1年,现规律口服"艾司唑仑片 2mg 1次/日、右佐匹克隆片 3mg 1次/日"。既往"肥厚性心肌病"病史1月余,现规律口服"富马酸比索洛尔 半片 1次/早"(具体用量不详)。既往"高脂血症"病史1年,现规律口服"阿托伐他汀钙片 1片 1次/晚"(具体用量不详)。否认高血压、糖尿病病史。否认肝炎、结核或其他传染病史,预防接种史不详,否认药物及食物过敏史。否认外伤史。否认手术史。否认输血史。
专科检查(滑动查看)
中医望、闻、切诊:神志不清,精神少神,形体偏瘦,体位被动,皮肤未见斑疹、丘疹、斑丘疹、黄疸、出血点,目窠无浮肿,白睛不黄,黑睛无云翳,瞳子无神,口唇淡红,口角不歪,咽不红,喉核不肿,颈项无强直,胸膺无畸形,虚里和缓、有力,腹部平坦,四肢关节活动受限,双下肢不肿,爪甲红润,气息均匀。未闻及咳喘、呻吟、太息、呕恶、澹语等声,口气无特殊体气无特殊,舌质暗红,苔色白,苔质薄,脉象弦、细。
体格检查:神志不清,表情痛苦,慢性病容,发育正常,营养恶病质,被动体位,卧床,查体欠合作。全身皮肤粘膜未见黄染、出血点、破溃、皮疹。全身浅表淋巴结未触及异常肿大。头颅大小正常无畸形,无压痛、肿块、结节。眼睑结膜正常,结膜无充血水肿,巩膜无黄染,双侧瞳孔等大正圆,对光反射灵敏。耳鼻无异常分泌物,乳突无压痛,副鼻窦无压痛,双耳听力正常。口唇红润,口腔黏膜无溃疡、白斑,咽无充血,双侧扁桃体无肿大,舌体无肥大,伸舌居中,无震颤。颈软无抵抗,颈静脉无怒张,气管居中,双侧甲状腺无肿大,双侧颈部未闻及血管性杂音。胸廓正常,双肺呼吸运动对称,右肺下叶呼吸音弱,心前区无隆起及凹陷,心率75次/分,心律齐,各瓣膜听诊区未闻及病理性杂音。双侧颈、桡、股、足背动脉搏动对称。腹外形无异常,腹式呼吸,腹软,无压痛、反跳痛,未触及明显肿块,肝脾肋下未触及,麦氏点、双输尿管点无压痛,Murphy征(-),肝脾区无叩痛,移动性油音(-),肠鸣音正常,约4次/分。
辅助检查(滑动查看)
2024-09-27河北医科大学第一医院,胸部CT:右肺下叶背段团块状高密度影(5.96cm*4.05cm),可疑恶性病变,右肺下叶支气管闭塞,建议支气管镜检查;右肺下叶后基底段斑片状高密度影,建议复查;双肺多发微结节,建议复查;主动脉硬化,左冠状动脉钙化;肝左叶类圆形低密度影,建议进一步检查;胸2棘突局部密度增高,请结合临床;胸8椎体稍变扁,局部密度增高,不除外病理性骨折,建议MRI检查;左侧第4-6肋骨局部骨皮质欠光整,陈旧骨折?请结合临床。
2024.11.28石家庄长城医院胸部CT:右肺门占位(54.6mm*42.5mm),考虑恶性病变伴右肺下叶部分阻塞性炎症,请结合临床,建议增强扫描或支气管镜检查;符合慢性支气管炎表现,双肺间质性改变;双肺多发结节,建议6个月复查;左肺舌段纤维条索影;双侧胸膜增厚;纵隔淋巴结增大;主动脉及冠状动脉钙化;左侧第6肋骨骨折伴部分骨痴形成;胸8椎体压缩变扁,请结合临床及病史;所见肝内低密度影,双侧肾上腺增粗,请结合临床,建议进一步检查。
2024-12-02河北省中医院头颅CT、胸部CT+气管CT仿真内窥镜(CTVE)(64排以上)、腹部CT:头颅:1.考虑双侧基底节区、放射冠区腔隙性脑梗死;2.脑白质脱髓鞘样改变;3.脑萎缩:建议MRI检查。胸部:1.右肺恶性占位,请与原片比较;2.两肺微小结节,建议复查;3.左肺条索;右肺斑片影;4.右侧少量胸腔积液;5.胸2椎体附件高密度,考虑转移;左侧第6肋局部密度增高;6.左侧部分肋骨形态不规整,左侧第6肋骨折,胸8椎体变扁。腹部:1.肝内低密度,囊肿?2.双侧肾上腺增粗;右肾稍高密度影;3。右侧附件区低密度、盆腔少量积液;4.直肠后方结节状高密度。建议CT强化扫描。
2025-09-15 石家庄长城中西医结合医院胸部CT:右肺门占位,考虑恶性病变伴右肺下叶阻塞性改变,较原片(2024/11/28)比较病变进展,建议增强、支气管镜检查;符合慢性支气管炎表现,双肺间质性改变;双肺多发结节,建议年度复查;左肺舌段纤维条索影;双侧胸膜增厚、右侧胸腔积液;纵膈淋巴结增大;主动脉及冠状动脉钙化;胸8椎体压缩变扁,请结合临床及病史;右侧第9肋骨小低密度影、胸2椎板高密度影,考虑转移可能;右侧第6/10及左侧第4-6肋骨局部形态欠佳;右侧第3-6肋软骨周围软组织增多;所见肝内低密度影,双侧肾上腺增粗,建议进一步检查。
2025-10-14 石家庄长城中西医结合医院颅脑CT:颅内散在腔性脑梗死;脑白质变性,脑萎缩;左侧脑室体部旁斑点状稍高密度影,与前片2025-10-13比较密度略变淡;请结合临床及病史,必要时进一步检查。肺动脉CT血管成像:肺动脉主干及分支散在多发充盈缺损,考虑肺动脉栓塞,右肺下叶为著。右肺门旁及右肺下叶占位性病变,右侧少量胸腔积液,右侧胸膜不均匀增厚。右侧第9肋骨密度不均匀减低。纵膈内稍大淋巴结。双下肢静脉彩超:右侧股浅静脉近段低回声附壁(附壁血栓?);左侧股浅静脉、腘静脉内未见血流(血栓?);双侧小腿后方增宽肌间静脉未见血流(血栓?);余上述所测下肢静脉血流通畅。
心脏彩超:室间隔与左室游离壁呈非对称性肥厚;静息状态下左室流出道梗阻;三尖瓣少量反流;左室舒张功能不全(II级)。
2025-10-24 石家庄长城中西医结合医院)双下肢静脉彩超:左侧股浅静脉血栓形成;余所测下肢静脉血流通畅。
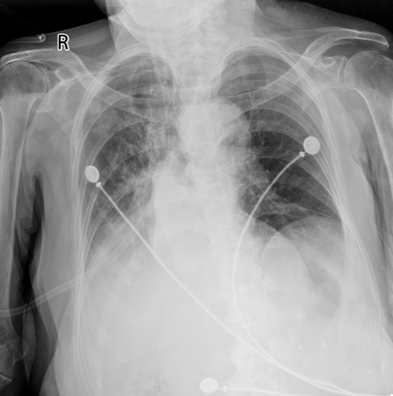
入院2025-10-28(河北省中医院)胸部正位:1.右肺门增大,右下肺密度增高,右侧膈肌及肋膈角显示不清:2.右肺多发斑片状高密度;3.心脏增大:建议CT检查。

胸部正位X线(2025-10-28河北省中医院)
诊断
中医诊断:肺癌(脾肺气虚证)
西医诊断:肺恶性肿瘤 骨继发恶性肿瘤 冠状动脉粥样硬化性心脏病 脑梗死 脑萎缩 睡眠障碍 肥厚性心肌病 高脂血症 肺栓塞 下肢静脉血栓形成 恶病质 消化道出血 低钾血症 低蛋白血症
病例评析
难点:患者合并多种基础疾病,治疗需兼顾肿瘤控制、并发症处理及生命质量维护,通过中西医结合手段,在尊重患者及家属意愿的前提下,探索晚期癌症患者的综合管理模式。
挑战:长期卧床、恶病质、免疫力低下导致反复感染(双肺间质性改变、慢性支气管炎、阻塞性肺炎、呼吸衰竭),入院心率90次/分,血压98/55mmHg,血氧饱和度波动在78%-82%,外院使用头孢哌酮舒巴坦20余天无效(见图1)(白细胞仍15.07×10⁹/L,中性粒细胞84.5%)。
中西医结合治疗:根据经验升级为哌拉西林他唑巴坦(广谱β-内酰胺酶抑制剂,覆盖革兰氏阴性菌及厌氧菌),高流量吸氧(20L/h)改善缺氧。中医“肺肠同治”:基于“肺与大肠相表里”理论,采用大承气汤(大黄、芒硝、枳实、厚朴)灌肠通腑泻热,清除肠道内毒素,减轻全身炎症反应;黄芪补气扶正增强机体免疫力。
疗效:3天内白细胞降至7.90×10⁹/L(见图2、图3),感染指标显著改善,血氧饱和度96%-100%,呼吸衰竭显著好转,体现“肠-肺轴”免疫调控的现代机制(肠道菌群平衡通过免疫调节影响肺部炎症)。
左右滑动查看更多
问题2:出血与血栓的调控(中西医结合平衡)
挑战:血栓与出血:肿瘤侵犯血管导致痰中带血,长期抗凝治疗(肺栓塞需抗凝)与消化道出血(需要止血)矛盾。
中西医结合治疗:西医:生长抑素+PPI(抑酸保护胃黏膜)+氨甲环酸,监测凝血和D-二聚体。中药:三七粉冲服(活血止血双向调节,避免单纯西药止血的局限性)+脐灸温中健脾(改善脾胃功能,减少出血诱因)+大承气汤减少内毒素血症间接改善血液高凝状态。
疗效:血红蛋白从75g/L升至110g/L,期间未输注血液制品,在面对看似不可调和的矛盾时,不应局限于单一学科的视角,而应构建一个多层次的治疗网络。西医长于精准打击和急性控制,中医长于整体调节和功能恢复。实现了精准协同:西医快速对症止血,中医整体调理,两者优势互补。体现了“平衡”哲学:不仅平衡了“抗凝”与“出血”,也平衡了“祛邪”(活血、泻下)与“扶正”(健脾、止血)。
问题3:肥厚型心肌病与循环管理
挑战:肥厚型心肌病(HCM)患者循环极度脆弱,易波动,随时可能恶化。传统重症监护倾向于高强度、有创的“积极干预”,但对于终末期或高风险患者,过度医疗可能反而加速病情、降低生活质量,并与患者/家属的意愿相悖。
诊疗策略:精准、目标导向管理,抓住关键,不做多余干预。美托洛尔缓释片控制心室率,避免过快心率加重心脏舒张功能障碍,这是维持心功能最关键的“有为”之举。密切监测:持续监测血压、心率,旨在洞察病情变化,为“无为”决策提供依据,而非盲目调整。优化心肌供血:通过维持循环稳定,间接保证心肌灌注,是“不治而治”的体现。
疗效:循环波动甚小:在精心维护下,患者达到了一个脆弱但稳定的平衡状态,实现个体化目标:在尊重患者意愿的前提下,避免了不必要的有创操作和过度医疗。提升生命质量:治疗以患者舒适度和尊严为核心,实现了在危重状态下“相对无为而又有效”的治疗状态,是医学人文关怀的典范。
问题4:疼痛管理(安宁疗护为核心)
挑战:核心矛盾:面对一位高龄、重度癌痛(疼痛评分8分)并伴有恶病质、电解质紊乱的临终患者,治疗目标不再是根治疾病,而是如何在尊重患者“不做过度治疗”意愿的前提下,有效控制痛苦、纠正代谢紊乱、维护生命最后的尊严与舒适。挑战在于平衡症状控制的“有为”与临终关怀的“无为”,并提供超越技术的人文温暖。
中西医结合诊疗:西医:精准的症状控制与生理支持,为舒适护理奠定坚实的生理基础。疼痛管理:氢吗啡酮注射液微量泵泵入。这是精准、可控、强效的现代化镇痛方案。通过静脉微量泵,可以根据疼痛反应实时、微调药物剂量,迅速将重度疼痛(8分)降至无痛(0分),是西医在控制急性症状方面“有为”的极致体现。营养与代谢支持:肠内营养:补充热量,改善恶病质状态,为身体提供基础能量。纠正低蛋白血症:白蛋白从27.3g/L升至38.2g/L,有助于维持血浆胶体渗透压,减轻水肿,促进伤口愈合和组织修复。纠正电解质紊乱:如将低钾血症(3.04 mmol/L)调至正常,稳定细胞膜电位,保证神经肌肉功能正常,预防心律失常,是维持内环境稳态的关键。潜在中医干预(可锦上添花):中医的情志疏导与安宁疗护的心理关怀相通,通过倾听和共情,疏解患者“肝郁气滞”之情志,达到身心同治。心理与人文关怀:医护团队与家属充分沟通,尊重“不做过度治疗”的意愿,以缓解痛苦、维持尊严为目标;疼痛科医护人员为老人庆祝90岁生日(体现人文关怀)。
全方位的成功:
1.疼痛控制完美:面部疼痛评分从8分(重度)降至0分(无痛),这是最直接、最重要的疗效,极大提升了患者的即时舒适度。
2.生理指标显著改善:白蛋白水平大幅提升,电解质紊乱得到纠正,说明通过支持治疗,患者的身体机能和代谢基础得到了有效稳定和改善。
3.人文目标圆满达成:尊重了意愿:恪守“不做过度治疗”的承诺,体现了对患者自主权的至高尊重。维护了尊严:通过专业的疼痛管理和温馨的细节(庆祝90大寿),将医疗行为升华为爱的表达,让患者在生命的终点感受到温暖和关怀,实现了“有温度的告别”。
4.体现了整合医学的精髓:是现代医学技术与人文关怀、以及潜在的传统智慧完美结合的范例,证明了最好的治疗是让患者在最少的痛苦和最深的关爱中,安详地走完最后一程。
理论互补
中医整体观:“肺肠同治”通过调节肠道菌群(大承气汤)减轻肺部炎症;三七粉活血止血避免西药单一止血的副作用;黄芪补气扶正增强抗病能力。
西医精准干预:针对具体并发症(如肺栓塞抗凝、感染抗生素选择、心肌病心室率控制)采用现代医学证据支持的治疗手段。
治疗目标平衡:在“控制肿瘤进展”与“避免器官衰竭”间找到平衡——因患者高龄且拒绝抗肿瘤治疗,团队以症状管理(疼痛、呼吸困难、出血)、并发症防治(感染、血栓)、营养支持为核心,延长生存期的同时提升生活质量。
1.高龄晚期肿瘤患者的诊疗难点
治疗矛盾:抗肿瘤治疗可能加速器官衰竭,姑息治疗需平衡生存期与生活质量。
并发症叠加:感染、栓塞、出血等风险相互影响,需多学科协作应对。
整体观与辨证施治:中医“肺肠同治”理论通过调节肠道菌群、减轻炎症反应,间接改善肺部感染(现代研究证实“肠-肺轴”免疫调控机制)。
中药增效减毒:大承气汤通腑泻热可快速清除肠道毒素,减少内毒素血症;三七粉活血止血,避免单纯西药止血的局限性。
个体化决策:尊重患者及家属意愿,避免过度医疗。
症状控制优先:疼痛、呼吸困难、营养不良等对症处理是核心。
中西医结合优势:西医精准治疗联合中医整体调理,提升终末期患者舒适度。
本案例通过中西医结合、多学科协作及安宁疗护模式,成功控制高龄晚期肺癌患者的感染、出血及器官功能障碍,体现了以下核心原则:
个体化治疗:基于患者年龄、基础疾病及意愿制定方案。
动态评估:密切监测指标变化,及时调整治疗策略。
人文关怀:以缓解症状、维护尊严为核心目标。
展望:未来需进一步开展中西医结合在晚期肿瘤中的循证研究,优化诊疗路径,推广安宁疗护实践。

图为疼痛科郝巍主任、李彦丽护士长等全体医护人员为老人过90岁生日
郝巍 教授
河北省中医院麻醉与围术期医学科主任;疼痛科主任,主任医师,博士研究生导师;河北省科协第二批智库专家
中国麻醉药品协会缓和医疗专委会 副主委
中国医疗器械行业协会麻醉与围术期医学专委会 常务委员
中国中西医结合学会围术期专业委员会 常务委员
中国心胸血管麻醉学会非心脏手术麻醉分会 常务委员
中国民族医药学会疼痛分会 常务理事
中国针灸学会针麻分会 常务委员
河北省医学会 理事
河北省中西医结合学会围术期医学与疼痛专委会 主任委员
河北省医药行业协会麻醉专业委员会 主任委员
河北省疼痛学会围术期镇痛专委会 副主委
河北省生物医学工程学会围术期医学专委会 副主委
刘婵
河北省中医院 疼痛科、麻醉与围术期医学科 主治医师
毕业于河北医科大学,北京航空总医院疼痛科技术骨干
擅长多学科协作疼痛管理模式,纤维肌痛综合征诊疗,四肢关节疼痛微创治疗,不宁腿综合征神经调控,癌性疼痛药物滴定及临终症状控制
医脉通是专业的在线医生平台,“感知世界医学脉搏,助力中国临床决策”是平台的使命。医脉通旗下拥有「临床指南」「用药参考」「医学文献王」「医知源」「e研通」「e脉播」等系列产品,全面满足医学工作者临床决策、获取新知及提升科研效率等方面的需求。
本平台旨在为医疗卫生专业人士传递更多医学信息。本平台发布的内容,不能以任何方式取代专业的医疗指导,也不应被视为诊疗建议。如该等信息被用于了解医学信息以外的目的,本平台不承担相关责任。本平台对发布的内容,并不代表同意其描述和观点。若涉及版权问题,烦请权利人与我们联系,我们将尽快处理。
(本网站所有内容,凡注明来源为“医脉通”,版权均归医脉通所有,未经授权,任何媒体、网站或个人不得转载,否则将追究法律责任,授权转载时须注明“来源:医脉通”。本网注明来源为其他媒体的内容为转载,转载仅作观点分享,版权归原作者所有,如有侵犯版权,请及时联系我们。)