来源:临床肝胆病杂志
1共识制定方法
本共识邀请内科、外科、急诊科、重症医学科、肿瘤科、介入医学科、病理科、影像科等学科的30多名专家成立共识编写委员会、共识指导专家委员会。
本共识使用人群为广大临床实践工作者,如内科、外科、急诊科、重症医学科、介入医学科、病理科、影像科等。适用人群为肝病、
针对相应的临床问题按照PICO原则[研究对象(P)、干预措施(Ⅰ)、对照措施(C)和结局指标(O)]来制订相关检索策略。检索中国知网数据库、万方数据库、PubMed、Web of Science等数据库的中英文文献,纳入涵盖肝脏血管性疾病相关问题的文献。检索时间为建库至2024年10月30日。文献检索结果经过去重处理,初步筛选后,最终纳入符合本共识主题的文献147篇。
本共识的制定严格遵守国内外权威学术组织既定的基本流程和标准,采用牛津大学循证医学中心证据分级(2011年版)进行证据评估,根据推荐分级的评估、制定与评价(GRADE)推荐标准对推荐强度进行评估(表1、2)。初步拟定符合我国临床诊断与治疗实践的27条推荐意见。


2肝脏血管性疾病的分类
肝脏具有独特的双重血液供应,来自肝动脉的富氧动脉血液血流量约占25%,来自门静脉的富营养血液血流量约占75%。来自肝动脉和门静脉系统的血液混合在肝窦中,血液从肝窦流入中央静脉,通过肝静脉排入下腔静脉。肝脏内约有40%的血容量存在于大血管中,60%的血容量存在于肝窦中。
肝脏血管性疾病常常缺乏特异性的临床表现,且疾病种类较多,目前尚无统一的分类标准。由于肝脏血管性疾病多数临床表现为PH,因此国内外学术组织多参考PH进行分类,分为肝前性、窦前性、窦性、窦后性及肝后性肝脏血管性疾病。因部分肝脏血管性疾病并不引起PH,因此本共识按照解剖结构分类,将肝脏血管性疾病分为肝动脉系统、门静脉系统、肝静脉系统、肝窦系统及其延伸部分的血管病变(表3),广义的肝脏血管性疾病尚包括肝血管来源的增生或肿瘤,如肝

3肝脏血管性疾病相关检查
超声影像无创、无辐射,适用于动态监测血管形态、血流方向和血流速度等,可作为筛查、动态评估肝脏血管性疾病及治疗效果的首选影像技术。
灰阶超声(以下简称B超),以不同灰度对应回波信号
彩色多普勒超声(以下简称彩超),在B超图像基础上,应用彩超获得肝脏血管血流的定性、定量特征,两者联合可提高诊断准确性。B超提示血管内血栓形成,彩超可评估血栓所致血管内血流动力学变化。疑有栓塞但灰阶B超未能显示,或其他原因导致血流动力学改变时,彩色多普勒超声亦可辅助诊断,如原位
彩超动态评估经颈静脉肝内门体分流术(TIPS)围手术期肝脏血管血流动力学变化以及分流道通畅性具有一定优势。在分流道B超图像基础上,彩超可评估手术前后门静脉血流方向、流速及流量,肝动脉流速、流量及阻力指数的变化,并测量TIPS支架内血流速度,当峰值流速<90>200 cm/s,提示支架内血流动力学可能异常(狭窄、血栓形成或其他)。
通过肘静脉注射微泡声学造影剂以观察微泡随血液流动的动态显影,弥补彩超信息不足,进一步评估肝脏病灶的微血供情况及肝脏大血管通畅性。肝血管瘤B超常表现为边界清晰的网格样高回声团,当超声表现不典型时,采用CEUS可显示病灶动脉期周边结节状或环状高增强,造影剂逐渐向心性填充,门静脉期及延迟期持续高增强的“慢进慢出”模式,有助于临床诊断和鉴别诊断。CEUS可协助鉴别PVT和癌栓。此外,CEUS动脉期见门静脉提前显影,门静脉期和延迟期等增强,有助于诊断动脉门静脉瘘(APF)。CEUS可作为OLT术后监测血管并发症的补充手段,可提示血管吻合口充盈情况,尤其是在彩超结果存疑时,亦可识别狭窄的程度和类型。CEUS诊断TIPS支架功能障碍的效能显著高于彩超。
共识意见1:超声检查适用于动态监测血管形态、血流方向和血流速度等,可作为筛查、动态评估肝脏血管性疾病及治疗效果的首选影像技术(2A)。
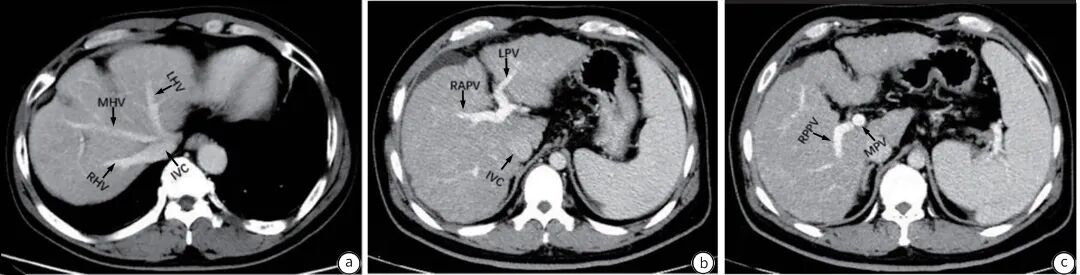
CT检查具有较高分辨率、扫描速度快的特点。平扫能够呈现出不同灰阶影像,增强CT扫描图像更有利于发现周围组织及血管之间的关系。CT常规增强扫描肝脏时通常采用动脉期、门静脉期、实质期三期扫描,观察肝动脉、肝静脉、门静脉和下腔静脉走行、狭窄、血栓或癌栓形成等(图1)。针对部分肝静脉阻塞性疾病,常规三期扫描肝静脉常不能显示,适度延长静脉期扫描时间(>180 s),可增加肝静脉显示,对肝静脉型BCS的诊疗有较高价值。

注: a,增强CT横轴位显示肝静脉层面图;b、c,门静脉及左、右分支层面图。CT,计算机体层成像;IVC,下腔静脉;LHV,肝左静脉;MHV,肝中静脉;RHV,肝右静脉;MPV,门静脉主干;LPV,门静脉左支;RAPV,门静脉右前支;RPPV,门静脉右后支。
图1 肝静脉与门静脉增强CT示意图
计算机体层血管造影(CTA)是目前临床常用的一种肝脏血管成像检查技术,可清晰观察血管分支结构,后处理技术可任意方位、层面观察肝脏血管,清晰显示解剖结构、狭窄程度、栓子和血管细小分支(图2)。肝脏CT灌注扫描是一种无创性评价组织器官血流灌注状态的功能成像方法,通过时间-密度曲线可评价组织器官的血流灌注状态。

注: a、b, CTA最大密度投影(MIP)显示肝动脉系统;c, CTA容积再现技术(VR)显示肝动脉系统;d、e, MIP、VR技术显示门静脉系统。CTA,计算机体层血管造影;CA,腹腔干;CHA,肝总动脉;SpA,脾动脉;PHA,肝固有动脉;GDA,胃十二指肠动脉;SMA,肠系膜上动脉;RHA,肝右动脉;LHA,肝左动脉;LGA,胃左动脉。
图2 肝血管CTA示意图
肝脏MRI具有无辐射、组织分辨率高的特点,具有多方位、多序列成像的优势。动脉早期肝动脉及其分支完全强化,门静脉、肝静脉未见强化;动脉晚期肝动脉及其分支完全强化、门静脉强化,肝静脉未见强化。动态增强MRI可更加清晰地了解腹腔干、肝动脉、胃左动脉以及肾动脉等血管情况。
磁共振血管造影(MRA)具有无创、无电离辐射及无需应用钆对比剂等优势,对比剂增强MRA同时可对肝内病灶进行定性诊断,目前已成为肝血管病变的重要检查技术。MRA可清晰显示腹主动脉、腹腔干动脉、肝动脉、肾动脉、门静脉系统以及腹部静脉系统血管,可作为数字减影血管造影(DSA)、CTA等常用临床血管成像的替代检查之一。
四维血流MRI(4D Flow MRI)是评价血流动力学的一种无创、定量的技术,在3个空间方向上进行速度编码,可一次性获得血流方向、流速、流量及壁面剪切应力等定量信息,实现对血流的可视化评估。研究显示,4D Flow MRI可适用于评估PH状态及其侧支循环开放等异常情况。
DSA检查可清楚显示血管的走行、变异、狭窄、闭塞及侧支形成情况,可提供动态血流方向及灌注情况,是肝脏血管性疾病诊断的金标准。DSA不仅是血管性疾病诊断的技术手段,还可辅助肝脏恶性肿瘤及PH的治疗,如经肝动脉化疗栓塞术及TIPS等介入治疗,但DSA属于有创检查,且辐射剂量相对较大,若存在碘对比剂过敏,严重心、肝、肾功能不全,全身感染或穿刺点局部感染等情况,一般不能进行此项检查。随着影像技术的不断发展,腹部DSA图像与CT及MR图像融合可获得血管三维结构图像,为临床治疗操作提供可视化技术,缩短手术时间,减少受照辐射剂量。
共识意见2:CT或MRI是目前临床常用的肝脏血管成像检查方法,可用于初步诊断及筛查(3A)。
共识意见3:DSA检查可显示血管的走行、变异、狭窄、闭塞及侧支形成情况,提供血流方向及灌注情况,是肝脏血管性疾病诊断的金标准。DSA不仅是血管性疾病诊断的技术手段,还可辅助血管疾病的治疗,如经肝动脉化疗栓塞术、TIPS等介入疗法(2A)。
肝脏血管性疾病一般会导致血流动力学改变,在疾病的不同阶段,血管压力会有不同的变化。准确测量心房、下腔静脉、肝静脉、门静脉系统压力以及特殊情况时的肺动脉、肝动脉等压力,对于肝脏血管性疾病的诊断、治疗及预后评估至关重要。
肝脏血管测压位点及对应正常压力范围见图3。

注: FHVP,肝静脉游离压力;RAP,右心房压力;WHVP,肝静脉楔压;IVCP,下腔静脉压力;PVP,门静脉压力;ISP,脾内压力;HAP,肝动脉压力。
图3 肝脏血管测压位点及压力值
肝静脉游离压力(FHVP):将球囊导管选择插至肝静脉,在其距离下腔静脉2~4 cm处,待压力数值稳定后,读取FHVP。
肝静脉楔压(WHVP):注入对比剂使球囊扩张以充分阻断肝静脉血流,待压力数值稳定后,读取WHVP。保持球囊扩张状态,造影检查确认无对比剂反流或静脉-静脉侧支分流后再进行测量,否则可能会导致WHVP的值被低估。
肝静脉压力梯度(HVPG)根据公式HVPG=WHVP-FHVP计算得出。与单独测量WHVP相比,HVPG的测量消除了腹腔内压力的影响,可更准确地反映门静脉压力(PVP)的变化。HVPG在预测静脉曲张出血发生风险中具有重要的应用价值。研究结果显示,对于肝硬化患者,HVPG≥10 mmHg预示更多失代偿事件的发生,因此,HVPG≥10 mmHg是诊断临床显著性门静脉高压(CSPH)的金标准。HVPG可指导肝硬化患者消化道出血的预防。研究结果显示,HVPG≥12 mmHg是静脉曲张出血发生的必要条件。HVPG<12 mmHg和/或治疗后较基线水平下降≥10%可显著减少静脉曲张出血发生风险。
下腔静脉压(IVCP)及右心房压力(RAP):测压导管至下腔静脉及右心房,分别测量肝后段下腔静脉及右心房压,如果FHVP与IVCP的差值超过2 mmHg,需要使用小剂量造影剂或肝静脉造影以排除肝静脉开口处的闭塞。RAP测定可协助评价心功能,对心源性PH具有鉴别诊断价值。
PVP及脾内压力(ISP):这2个位点的压力可通过经皮肝穿刺门静脉系统测压,该方法是一种有创检查,存在出血、胆汁漏等并发症风险,但其测得的压力值对于判断PH程度较为精准。在TIPS过程中或在一些涉及肝脏或者门静脉系统的外科手术过程中,可直接穿刺门静脉进行压力测量。
门静脉压力梯度(PPG)根据公式PPG=PVP-IVCP计算得出。术中PPG测量在TIPS治疗效果及预后判断方面具有重要指导作用。研究表明,TIPS术后即刻血流动力学不稳定,术后24~72 h测量的PPG值更为准确,但临床实际中难以实施。一般将TIPS术后测量PPG<12 mmHg或相对基线降低50%~60%认为是有效控制PH的判定指标。
肝动脉压力(HAP):测压导管延伸至肝动脉内,待压力数值稳定后,读取HAP。外科手术过程中,可直接穿刺肝动脉进行压力测量。准确的压力测量有助于评估肝脏灌注情况。
不同类型PH在各测压位点的压力值有其特征表现(表4),通过对比分析可为PH的诊断、危险分层、疗效评估提供帮助。

共识意见4:肝脏血管测压有助于临床PH分类的鉴别诊断,评估预后及治疗效果(3A)。
肝硬度值(LSM)是判断肝纤维化程度的常规检测方法,在肝脏血管性疾病诊治中也发挥一定作用。
LSM诊断CSPH的最佳临界值为22.8 kPa,敏感度和特异度分别为79%和88%,受试者操作特征曲线下面积为0.91(95%置信区间:0.88~0.93)。在肝硬化进展过程中,脾脏弹性检测(SSM)与PH和肝外血流动力学改变有关,脾脏的被动充血性增生、血管生成和纤维生成与SSM值升高有关。SSM被认为是PH的直接或动态监测指标之一,其可反映肝硬化从早期到晚期的病理生理学改变,可用于监测PH严重程度并评估改善情况。LSM与SSM的联合可更好地预测CSPH,若LSM<15 kPa,血小板(PLT)≥150×109/L,SSM≤40 kPa,以上至少符合2项则可排除CSPH,阴性预测值为85%;若LSM≥25 kPa,PLT<150×109/L,SSM>40 kPa,以上至少符合2项则可诊断CSPH,阳性预测值为92%;上述方法产生的灰区仅为9%。同时,研究显示LSM与HVPG也具有良好的相关性。
LSM可作为一种额外的检测方法,在BCS及肝窦阻塞综合征(HSOS)的诊治中辅助评估肝脏淤血的严重程度和治疗反应。Dajti等研究结果显示,急性非暴发性BCS表现为LSM异常升高(高达75 kPa)。部分TIPS术后患者LSM可下降至<10 kPa,因此,LSM可辅助临床医生进行BCS患者的初始评估、风险分层和治疗反应监测。近年研究结果表明,造血干细胞移植(HSCT)术后LSM升高对HSOS诊断具有一定的敏感性和特异性,提示该类疾病发生的可能性。
门静脉肝窦血管病(PSVD)常伴随PH,易被误诊为肝硬化。一项回顾性多中心研究结果显示,PSVD患者的LSM中位数为7.9 kPa,与酒精性肝硬化患者相比,LSM临界值为10 kPa,诊断PSVD的特异度为97%,阳性预测率为93%;截断值为20 kPa,排除PSVD的敏感度为94%,阴性预测值为91%。
共识意见5:LSM检测可协助PH的判定及动态评估肝脏瘀血的严重程度(2B)。
肝穿刺组织活检的目的主要是确定病变性质、明确是否存在肝硬化、评价肝纤维化的程度以及排除其他肝病,对病因学诊断的价值有限。肝穿刺活检组织块的数量及大小应满足诊断需要,建议至少11个汇管区及一定的长度。PSVD的诊断要求穿刺组织长度≥20 mm,至少含10个汇管区。
常见的门静脉病变主要包括肝外门静脉阻塞、先天性异常、先天性门体分流术(CPSS)及PSVD,其中PSVD常需要肝穿刺活检明确诊断,目的是排除肝硬化并观察PH的组织学改变。PSVD有3个特征性的组织学改变(图4a~c):(1)闭塞性门静脉病变,表现为门静脉管壁增厚、管腔闭塞及消失;(2)结节性再生性增生,由萎缩的肝板围绕增生的肝细胞形成结节样结构;(3)不全间隔纤维化/肝硬化,这一特征需要在OLT标本中评估,不宜在肝活检中评价。此外,还有4个非特征性改变:(1)门静脉支异常(多个扩张增殖的动脉、汇管区周围血管异常);(2)结构异常(汇管区和中央静脉分布不规则);(3)非区域性肝窦扩张;(4)轻度窦周纤维化。

注: PSVD(a~c):门静脉管壁增厚,管腔狭小(a,苏木精-伊红染色,×200);结节性再生性增生,萎缩的肝板围绕增生的肝板形成结节状(b,网织染色,×100);不全间隔肝纤维化/肝硬化,纤细的不完全的纤维隔不规则分隔肝实质(c,网织染色,×100)。HSOS(d、e):中央区肝窦扩张、肝板萎缩、肝细胞坏死消失(d,苏木精-伊红染色,×200);中央静脉内膜增生、管腔闭塞(e,箭头,Masson 三色染色,×400)。BCS(f):中央静脉伸出纤维化带分隔肝实质,周围肝实质内肝窦扩张淤血(f,苏木精-伊红染色,×100)。PSVD,门脉肝窦血管病;PV,门静脉;HE,苏木精-伊红;NRH,结节性再生性增生;HSOS,肝窦阻塞综合征;BCS,布加综合征。
图4 PSVD、HSOS及BCS病理图
肝静脉病变以静脉回流受阻导致肝脏淤血性病变最为常见,最终可进展为纤维化及肝硬化,依据阻塞部位分为3种。
HSOS:肝窦及肝小静脉分支阻塞。早期,中央静脉内膜下出血、水肿、伴炎性细胞浸润,周围肝窦扩张淤血、肝板萎缩、肝细胞坏死;晚期,肝窦纤维化及小静脉纤维性闭塞;终末期,桥接纤维化,小静脉纤维性闭塞;汇管区周围肝实质保留,伴肝窦扩张(图4d、e)。
BCS:急性期,小叶中央区至中间区肝窦显著扩张淤血,红细胞外渗至窦周间隙及肝细胞板,肝板萎缩,伴不同程度的肝细胞坏死;汇管区周围少量存活的肝细胞,肝板增厚(代偿性再生)。病变迁延及慢性BCS:小叶中心纤维化、窦周纤维化,进而形成C-C(中央静脉-中央静脉)或C-P(中央静脉-门管区)的桥接纤维化,纤维化带炎症轻,周围肝实质见不同程度肝窦扩张;中央静脉常不闭塞,但有时亦可见闭塞的中央静脉,与HSOS无法区别(图4f)。
淤血性肝病(CH):中央静脉及其周围肝窦扩张,可伴有出血,引起出血性肝细胞坏死。随着病程迁延,逐渐出现肝板萎缩及窦周纤维化。纤维化最初见于小叶中心,随着病变进展,汇管区及其周围出现纤维化,心源性相关的CH所致的肝纤维化及结构紊乱,被称为“心源性硬化”。CH病变分布常不规则,亦可见结节性再生性增生。
肝动脉的病变较为少见,严重者导致急性肝脏缺血性坏死及肝脏梗死,组织学显示中央静脉周围肝细胞凝固性坏死。此外,各种原因的肝动脉炎,可导致胆管缺血,引起相应的缺血性胆管病变。
共识意见6:针对肝脏血管性疾病,肝脏病理检查主要目的是确定病变性质、明确是否存在肝硬化、评价肝纤维化的程度以及排除其他肝病(3A)。
4肝脏常见血管性疾病
PVT是指门静脉主干和/或门静脉左、右分支发生血栓,伴或不伴肠系膜静脉和/或脾静脉血栓形成,可加重肝胆、胃肠系统症状,也可无任何症状,是肝硬化、恶性肿瘤、腹部手术等的常见并发症。彩超是PVT的初筛影像学检查方法,增强CT和MRI有助于明确诊断,并确定血栓范围和性质。CTA是诊断急性肠系膜静脉血栓(AMVT)首选检查方式。目前,有关PVT的分型方法众多,各有优势及局限,常依据血栓范围、闭塞程度、形成时间以及OLT时门静脉血流生理重建的可行性等进行分型。在实际临床工作中,无法判断血栓形成的时间,且多数患者并没有临床症状或症状轻微,因此,临床建议以治疗为导向选择不同血栓分型方法,例如OLT外科相关的研究使用Yerdel分类;内科临床症状处置参考Sarin分型;介入医学(包括门静脉再通,TIPS等)采用刘福全分型;PVT自然史参考美国肝病学会 2020版指南和Baveno Ⅶ指南中提出的分型。
肝硬化PVT治疗的目的是降低肝硬化失代偿的发生率,使无移植生存期延长;再通门静脉、脾静脉和肠系膜上静脉,恢复门静脉系统血流。非硬化性PVT(NCPVT)治疗的目的是阻止血栓进展或消除血栓,实现完全再通或部分再通,以防止PH进展。PVT治疗方式包括抗凝、TIPS、局部处理、外科手术等,一般治疗流程见图5。

注: NCPVT,非硬化性门静脉血栓;PVT,门静脉血栓;GOV,食管胃静脉曲张;TIPS,经颈静脉肝内门体分流术;NSBB,非选择性β 受体阻滞剂;PLT,血小板;SMVT,肠系膜上静脉血栓。
图5 PVT的治疗流程
NCPVT患者血栓发病率和死亡风险较高,自发缓解率低,且抗凝出血的总体风险较低,因此一旦诊断NCPVT,排除禁忌证,应及时启动抗凝治疗。
肝硬化PVT的Meta分析显示,抗凝不仅可提高PVT再通率,降低PVT进展率及静脉曲张破裂出血风险,延缓肝功能失代偿,且不增加总体出血风险。但也有研究显示,肝硬化PVT有40%~69%的比例可出现自发再通,尤其是肝功能基础较好的患者,因此目前国内外指南或共识均建议对于近期发生(<6个月)的非症状性、主干闭塞<50%、非肠系膜上静脉,或非等待肝移植的肝硬化血栓可考虑暂不治疗,若随访过程中血栓进展,再启动抗凝治疗。但是,鉴于目前抗凝治疗的有效性和安全性,以及临床经验的提升,并且PVT若进展为门静脉海绵样变,对后期PH处理可能带来极大困难或无法有效治疗,因此被动观察可能并非良策。建议肝硬化PVT尽早启动抗凝治疗、监测病情变化,缩短随访时间,并进一步开展高等级临床研究予以支持。对于伴有近期出血史、重度食管胃静脉曲张(GOV)、严重血小板减少症(PLT<50×109/L)的PVT患者,建议启用TIPS或非选择性β受体阻滞剂(non-selective beta-blockers NSBB)和/或内镜下治疗,病情改善后再考虑抗凝治疗。抗凝治疗注意排除禁忌证,权衡利弊后在知情同意下实施,并及时监测不良反应,调整药物剂量及疗程。
抗凝药物可使用低分子肝素、维生素K拮抗剂或新型直接口服抗凝药物(DOAC),治疗中注意监测不良反应的发生。低分子肝素为临床常用药物,起效快,但需注射用药。维生素K拮抗剂(如华法林)使用方便且经济,通过监测国际标准化比值,可实时调整剂量。Meta分析表明,与传统抗凝药物相比,DOAC再通率可能更高,并不增加出血风险,但DOAC临床较难实现剂量监测,一般为经验性用药。对Child-Pugh B级且肌酐清除率低于30 mL/min的患者应谨慎使用,Child-Pugh C级患者不推荐使用。
部分肝硬化PVT患者在抗凝3~6个月内可实现再通,约1/3患者在抗凝治疗6个月后达到血栓完全再通,抗凝治疗至少持续6个月才可能对PVT再通后的维持和预防复发有一定作用。30%~40%的血栓再通患者在停止抗凝治疗后2~5个月内发生复发性血栓,因此停止抗凝后还需要定期复查。NCPVT患者需要抗凝疗程更长,有明确血栓复发危险因素(如抗磷脂综合征、骨髓增殖性疾病等)的患者建议长期抗凝。有研究认为,Ⅷ因子浓度≥150%预测血栓复发风险可能较高,也建议长期抗凝。
TIPS是预防GOV再出血、顽固性腹水等的有效治疗手段。不管是肝硬化PVT或NCPVT,若存在复发性腹水、GOV出血NSBB/内镜治疗效果不佳或不可行、急性症状性PVT合并GOV出血、移植候选者抗凝不可行、肠缺血肠坏死风险、门静脉海绵样变倾向等优先推荐TIPS治疗。若PH所致GOV出血或顽固性腹水伴门静脉主干血栓≥50%,或抗凝治疗效果欠佳、血栓进展(主干血栓≥50%、合并肠系膜上静脉血栓(SMVT)存在肠缺血肠坏死风险、门静脉海绵样变倾向等)者推荐TIPS。
包括碎栓、取栓、拉栓、溶栓。溶栓即通过经皮经肝、经颈静脉途径直接将溶栓药物注入血栓部位(或局部处理),可减少全身性出血风险,并提高血栓溶解效果。以下情况考虑局部处理:急性广泛性PVT;抗凝治疗无效且伴显著PH;PVT造成较高的肠缺血或坏死风险;OLT后因PVT导致血流下降,局部处理有助于降低移植失败率并改善患者生存。
TIPS联合局部溶栓可提高疗效。目前有限的临床研究表明,在症状出现后14 d内进行溶栓效果较好,而且可获得较高的再通率,但因此所导致的出血风险是不能规避的问题,需要高质量的研究来明确溶栓时机、使用方法等。
内科对症治疗包括禁食水、胃肠减压、维持水电解质平衡等。在进行初步的液体复苏及抗凝治疗后,建议应用血管扩张剂(如罂粟碱、前列地尔)减轻肠系膜血管痉挛,进一步改善组织灌注及肠管微循环,促进侧支循环形成,降低肠坏死、肠穿孔的发生率。同时因易出现肠道屏障功能减弱和菌群易位,推荐早期足量使用广谱抗生素。
急诊外科剖腹探查指征包括出现感染性休克、腹膜炎、诊断性腹腔穿刺为出血性腹水、难以控制的下消化道出血、肠坏死及肠穿孔。对于病程晚期已出现肠坏死的患者,可采用切除坏死肠管和/或肠系膜上静脉切开取栓,注意最大限度保留有活力肠管,避免短肠综合征的发生。
共识意见7:彩超是PVT的初筛影像学检查方法,增强CT和MRI有助于明确诊断并确定血栓范围及性质,CTA是诊断AMVT的首选方法(3A)。
共识意见8:建议肝硬化PVT尽早启动抗凝治疗、监测病情变化,并进一步开展高等级临床研究予以支持(5A)。NCPVT一旦诊断即启动抗凝治疗(2A)。PVT的抗凝治疗建议权衡利弊,排除禁忌证并及时监测不良反应、调整药物剂量及疗程(2A)。
共识意见9:不管是肝硬化PVT或NCPVT,若合并复发性/难治性腹水、GOV出血NSBB/内镜治疗效果不佳或不可行、急性症状性PVT合并GOV出血、移植候选者抗凝不可行、存在肠缺血肠坏死风险、门静脉海绵样变倾向等优先推荐TIPS治疗(2A)。若PH所致GOV出血或顽固性腹水伴门静脉主干血栓≥50%,或抗凝治疗效果欠佳/血栓进展(主干血栓≥50%、合并SMVT存在肠缺血肠坏死风险、门静脉海绵样变倾向等)者推荐TIPS(3A)。
共识意见10:AMVT抗凝(或联合介入)治疗同时应尽早应用解除肠系膜血管痉挛药物以及广谱抗生素(3A)。
特发性非肝硬化性PH(INCPH)是一种肝内窦前性PH疾病,其显著特点为PH临床症状(脾大、食管胃底静脉曲张等)明显但无肝硬化。欧洲肝脏血管病研究组2019年提出PSVD概念,在INCPH的基础上纳入了不伴PH临床症状、合并病毒性肝炎及PVT的患者,从而扩大了诊断范围,包括部分患者肝活检病理表现符合INCPH的诊断,但无PH的临床及实验室影像学表现,可能为疾病的早期阶段。
排除影响肝静脉的疾病(如BCS)或引起微血管损伤的疾病(如肝结节病、先天性肝纤维化或HSOS)后,肝活检病理排除肝硬化,且符合以下2项条件之一:(1)存在至少1条PH特征性表现(胃、食管或异位静脉曲张;PH性出血;影像学发现门体侧支循环)或至少1条PSVD特征性病理表现(见病理部分);(2)存在至少1条PH非特征性表现(腹水;PLT<150×109/L;脾脏最大长度≥13 cm)和至少1条PSVD非特征性病理表现(见病理部分)。
一旦诊断PSVD,应筛查其病因学,包括免疫性疾病、易栓症、药物/毒物接触史及腹腔感染等病史。应行腹腔增强CT,明确门体侧支血管情况,有无门体分流、PVT及门静脉海绵样变等,PSVD患者每半年复查彩超,监测是否出现PVT及血栓进展情况;同时应行内镜下检查以明确有无静脉曲张及曲张程度。抗凝治疗是否能改善PSVD患者预后尚无明确证据。
静脉曲张破裂出血的治疗包括NSBB、内镜下治疗、TIPS及OLT等。NSBB和内镜下治疗目前仍作为二级预防的主要手段,若内镜下难以控制再出血或合并难以控制的PVT,可行TIPS。由于患者肝功能较好,TIPS术后肝性脑病发生率显著低于肝硬化患者。当PH并发症无法控制或肝功能急剧恶化,行OLT治疗。
共识意见11:排除影响肝静脉或引起微血管损伤的疾病后,肝活检病理排除肝硬化,且符合典型病理表现可明确诊断PSVD(2B)。
共识意见12:所有PSVD患者都应评估相关的血液学、免疫学或血栓性疾病和遗传疾病,在无法解释的情况下,应查明是否接触过药物和毒素(2B)。
共识意见13:诊断PSVD的患者可每半年复查彩超,监测是否出现PVT及血栓进展情况(1A)。所有患者均应通过胃镜进行静脉曲张筛查(1A)。
门体分流分为自发性门体分流及CPSS。CPSS是一种源于胚胎期的罕见血管畸形,肠道部分或全部血流通过CPSS,绕过肝脏未经代谢而进入体循环。随着影像技术的广泛应用,被诊断为CPSS的病例不断增加。大部分患者在儿童期被确诊,但也有一些病例在成年后才被诊断。
一般CPSS通过超声检查发现,彩超可用于产前筛查。通过腹部CTA或MRA可显示门静脉、腔静脉之间的异常连接,协助诊断,确诊CPSS的金标准是DSA和封堵试验。影像学检查除了观察到血管间的异常连接,有的可显示肝动脉代偿性增粗。建议在诊断CPSS时对所有患者进行超声心动图检查以筛查PH相关性肺动脉高压。超声心动图检查发现具有中度或重度肺动脉高压的患者应行右心导管测压,协助诊断并指导治疗。
临床上具有CPSS相关体征或症状的患者,如肝结节、肺血管疾病、内分泌异常、肝性脑病或者先天性心脏病,注意排查CPSS。
对无症状CPSS病例应进行动态监测。出生后几个月内发现的肝内小的分流可自行缓解,如果患者症状仍未缓解,则可考虑介入封堵或手术切除,促使肝脏获得充足的门静脉血液供应。对于有症状病例,治疗方案取决于畸形类型。对于Ⅰ型Abernethy畸形,推荐进行OLT。对于Ⅱ型Abernethy畸形,如果控制血氨药物治疗效果不佳,则推荐封堵分流道。
CPSS的治疗包括肝脏结节、PH相关性肺动脉高压、肝性脑病等并发症的管理。封堵分流道是治疗CPSS的基本措施,术前全面详细的评估是关键环节。在CPSS诊断、封堵前和封堵后均需进行全面评估。首先,术前影像学检查要明确分流道的解剖结构、压力和血流方向。其次,封堵试验的可行性、封堵的方法、封堵是否分阶段进行、患者风险/效益的评估等,需在术前进行多学科详细讨论。第三,要充分评估分流道封堵后可能出现PH的风险。临床较难预测分流道封堵后是否会出现PH,可参考封堵试验前、后门静脉显影情况及CPSS类型等综合判断。另外,一般认为PVP>30 mmHg或PPG>20 mmHg或肠道淤血的患者,应分阶段进行封堵,以尽量减少急性重型PH的发生。对于PPG处于10~20 mmHg之间的患者,可根据解剖和临床特征考虑一次性或分阶段封堵。关于封堵的时间目前尚未达成共识,对于肝外CPSS患者及伴随严重肝性脑病的CPSS患者,建议尽早进行分流道封堵。如果患者存在严重的肝脏疾病无法耐受分流道封堵,或者分流道解剖结构极为复杂不适合进行封堵,或者并存难以根治的恶性肝肿瘤且门静脉较细的情况下,则考虑行OLT。
共识意见14:临床上具有CPSS相关体征或症状的患者,如肝结节、肺血管疾病、内分泌异常、肝性脑病或者先天性心脏病,建议排查CPSS(4A)。腹部CTA或MRA有助于确定诊断,DSA造影和封堵试验是诊断CPSS的金标准(2A)。
共识意见15:CPSS的诊断、封堵前和封堵后均需进行全面评估,指导手术治疗方案的制订及术后PH的预防(2B),条件允许情况下,血管内栓塞封堵是治疗的首选(2A)。
HHT是一种常染色体显性遗传性疾病,也称为Oslar-Rendu-Weber综合征。主要表现为皮肤、黏膜及内脏多发性毛细血管扩张伴出血倾向。特征性的血管病变表现为动静脉畸形(动脉和静脉之间的正常毛细血管网消失代之以畸形血管团形成异常连接)和毛细血管扩张。
HHT的诊断参考Curaçao标准,包括:(1)自发性反复发作的鼻出血;(2)一级亲属患有HHT的家族史;(3)皮肤黏膜毛细血管扩张;(4)内脏动静脉血管异常。具备上述标准3条可确诊,2条为疑诊。对于确诊和疑诊HHT患者需进行肝脏血管的检查,彩超是一线检查方法,可明确血管畸形的存在,同时也可对畸形的严重程度进行分级。
增强CT或MRI可进一步明确HHT的肝脏血管畸形。动脉造影通常用于血流动力学及移植前的评估。此外,超声心动图有助于评估心输出量及肺动脉压力,内窥镜用于消化道出血的评估及治疗。对于伴有肝脏结节的HHT患者,可通过血液生化检查、肿瘤标志物以及影像学检查进行鉴别诊断。通常不需进行肝组织活检,且对于HHT患者,经皮肝组织活检出血风险高,应予避免。基因检测有利于明确诊断。
目前,HHT无确切的治疗方案,仍以支持和对症治疗为主。对于无症状伴有肝血管畸形的HHT患者不需要治疗。对于肝血管畸形导致的高输出量心力衰竭(HOCF)患者,一线治疗包括限制钠盐摄入、利尿、改善贫血及心律失常。肝血管畸形所致PH相关并发症治疗与肝硬化PH相同。对于严重HOCF患者,由于NSBB可对心肌功能产生抑制作用,应用要谨慎。此外,采用TIPS治疗PH可能加重高动力循环,诱发心功能衰竭,应尽量避免使用。介入治疗是通过动脉栓塞畸形的血管团,但有可能诱发肝脏、胆管坏死、胆囊炎等严重并发症,据报道,合理选择栓塞材料对于确保疗效与安全至关重要。
对于一线治疗无应答的患者,可采用贝伐珠单抗,但其相关数据仅限于小样本研究。对伴有肝脏病变以及HOCF的HHT患者的研究发现,贝伐珠单抗能够改善心脏功能,完全和部分应答率分别为12%和70%,但在应用中,应警惕贝伐珠单抗的不良反应,包括高血压、蛋白尿、血栓形成以及伤口愈合等问题。
OLT是伴有肝脏病变的HHT的有效治疗方法。尤其对于伴有缺血性胆道坏死、顽固性HOCF、显著PH并发症的HHT患者,应积极行移植评估,移植前应充分评估肺动脉压。移植后5年和10年存活率达80%以上。
共识意见16:对于诊断或疑似HHT的患者,应采用彩超、增强CT或MRI评估肝脏血管(2A),条件允许情况下可进行基因检测协助诊断(3B)。
共识意见17:无症状HHT患者不需治疗。有症状的患者,以支持治疗和对症治疗为主。伴有HOCF的患者,应限制钠盐摄入、利尿、改善贫血及心律失常。伴有PH相关并发症的治疗与肝硬化PH治疗相同(2A)。伴有缺血性胆道坏死、顽固性HOCF以及显著PH并发症的患者可选择OLT(2B)。
APF是指内脏动脉和门静脉循环之间的异常动静脉连接。通常情况下,肝脏APF最常受累的动脉是肝动脉(65%),其次是脾动脉(11%)和肠系膜上动脉(10%)。症状的严重程度与通过瘘管的循环血量有关,在没有肝脏疾病的情况下,肝功能基本保持稳定。大多数病例无症状,部分患者表现为PH,出现不同程度的胃肠道出血(33%),部分患者出现腹水(26%)。
APF属于窦前性PH,在没有明确病因的PH患者中,应注意排除APF,特别是有侵入性肝脏手术或腹部创伤病史的患者,体检33%的病例可有腹部血管杂音,如果瘘管直径超过4 mm,则可出现震颤。
通过彩超可进行初步评估,腹部CTA或MRA可确诊。DSA造影有助于确诊并准确呈现病理血管的解剖结构,为制定治疗方案提供帮助。由于血液从动脉直接流向静脉,静脉压力明显增加,长期发展情况下,可出现静脉血管的动脉化,血管内膜增生,病理可提供鉴别诊断。APF是窦前性PH的一个原因,在肝硬化情况下APF的发展可能会被忽略,将失代偿归因于肝脏疾病本身,临床应注意排查。
APF的治疗方法取决于APF的位置、大小和数量。小的瘘管多数可自行愈合,这部分患者可通过彩超进行监测。如果瘘管增大或出现临床症状,建议治疗。首选治疗方法是动脉栓塞术(TAE),与外科手术相比较,TAE具有创伤小、并发症发生率低、费用低、痛苦少、可重复操作的优势。依据病情,有时需要进行多次TAE治疗。如果合并PH,TAE无效或无法实施的患者可考虑进行TIPS。其他治疗方法包括血管结扎、切除甚至OLT。
共识意见18:在没有明确病因的PH患者中,应注意排除APF,特别是有侵入性肝脏手术、腹部创伤史的患者(1B)。
共识意见19:大的APF或与PH相关的APF建议进行治疗(2B),首选方法是介入栓塞,如果无效或不可行,可考虑其他治疗方法,如TIPS、OLT等(2A)。
HSOS是由各种原因导致肝窦内皮细胞的中毒性/炎症损伤,坏死、脱落、并进入狄氏间隙,形成微血栓,导致肝小静脉部分或完全闭塞,形成窦后性PH的一种肝脏血管性疾病。
HSCT相关HSOS诊断主要依据HSCT病史和经典三联征(体重增加、肝区胀痛肝肿大和黄疸)。修订的Seattle标准和Baltimore标准在诊断HSCT-SOS时,均要求发病需在HSCT后21天内;欧洲血液与骨髓移植学会自2016年先后发布了经典型、迟发型(在HSCT 21天后发生)、儿童型、成人型标准,并于2023年建议将HSCT-HSOS分为疑似诊断及临床诊断(表5)。我国2016年7月制定吡咯生物碱(PA)相关HSOS的诊断标准(表5)。
典型影像学征象有助于HSOS的诊断。超声征象包括肝大、胆囊壁增厚、腹水、门静脉血流速度减慢或反向血流等。腹部增强CT和/或MRI典型征象包括病灶内不均匀强化、门静脉期肝静脉周围“爪形”或“三叶草状”强化。肝组织病理是诊断HSOS金标准(见病理部分),但因其有创性,通常仅在诊断不明时使用,存在经皮肝穿刺活检禁忌或风险较大时,行经颈静脉肝活检术并测定HVPG,HVPG≥10 mmHg支持HSOS诊断。
控制HSOS的危险因素有助于预防HSOS发生。熊去氧胆酸被推荐作为异基因HSCT-HSOS的预防性治疗。去纤苷用于高危HSCT-HSOS病例的预防。
早诊和早治是改善HSOS患者预后的关键,及时停止损肝伤是基础。去纤苷是唯一获得美国食品药品监督管理局(FDA)批准的HSOS治疗药物,并被推荐用于治疗中、重度HSOS。去纤苷在PA-HSOS患者中的有效性尚不清楚。急性期/亚急性期PA-HSOS患者在排除禁忌情况下,建议给予普通肝素或低分子量肝素抗凝治疗,亦可联用或序贯口服华法林强化抗凝。
TIPS是重度和极重度PA-HSOS的初始治疗方案以及抗凝治疗无效或抗凝过程病情加重患者的挽救治疗。腹水内科治疗效果不佳者,可行TIPS控制顽固性腹水和PH。其他支持对症治疗包括针对腹水、脓毒症和器官衰竭等的治疗。
HSCT-HSOS的总体病死率为5%,死亡最常见的原因是肾、心、肺或肝功能衰竭。PA-HSOS病死率为16%~40%,严重患者可导致多器官功能障碍/衰竭,病死率高达70%~80%,常见的死亡原因是肝衰竭。高胆红素血症和体重增加是不良预后的主要指标。
共识意见20:对HSCT或服用PA患者,出现体重增加、肝区胀痛肝肿大和黄疸,或腹部增强CT和/或MRI出现典型征象的患者,应考虑HSOS诊断(2A)。
共识意见21:对于实验室及影像学检查不典型的疑诊患者,建议行肝穿刺活检,存在肝衰竭或大量腹水时,为降低操作相关风险,建议采用经颈静脉肝穿刺活检术(TJLB),并可行HVPG测定评估PVP协助诊断(3B)。
共识意见22:急性期/亚急性期PA-HSOS患者排除禁忌证后应尽早给予抗凝治疗,可选择单用低分子肝素或酌情联用/序贯华法林(2A);TIPS是重度和极重度PA-HSOS患者的初始治疗方案以及抗凝治疗无效或抗凝过程病情加重的拯救疗法(2A)。
BCS是由肝静脉和/或肝段及以上的下腔静脉阻塞引起的以PH或合并下腔静脉高压为特征的一组疾病。依据血管阻塞的部位、临床表现及对治疗的影响有多种分型,目前比较常用的分型为肝静脉阻塞型、下腔静脉阻塞型和混合型。
彩超是BCS的一线影像学检查方法,B超结合多普勒血流检测,可发现肝静脉内无血流信号或血栓栓塞、侧支血管形成、静脉内隔膜及其远端血栓形成或纤维条索改变,还可明确具体阻塞的解剖结构,但超声诊断BCS要求医师有较丰富的经验,否则容易漏诊。
增强CT/MRI可用于明确BCS的诊断、评估血栓范围、制定介入治疗方案及排除恶性肿瘤等。增强CT/MRI可显示肝静脉及其分支、肝后段是否变细或不显影,下腔静脉内小斑点、斑块或大片状强化被认为是诊断BCS的有力证据和特征性表现。肝实质呈斑片状强化,周边肝组织强化不明显,延迟扫描时密度趋于均匀而整个肝脏呈等密度改变,呈现“地图样”改变,被认为是BCS较为特征性的CT表现。肝脏各叶比例失调,尤其尾状叶肥大并压迫下腔静脉使之直径变细,此外,肝内外侧支血管的出现也是诊断BCS的有力佐证。
随着超声、CT及MRI等检查手段的普及,BCS诊断一般不难,但DSA仍被认为是诊断BCS的金标准和进行介入治疗的依据。通过颈静脉或股静脉或联合入路(包括经皮肝穿刺肝内肝静脉)造影可清楚观察下腔静脉及肝静脉(如果导管能够通过狭窄或闭塞段进入肝静脉远段/远端)病变的位置、范围、程度、有无侧支循环及血流方向等,并可准确测量阻塞段两端下腔静脉及肝静脉压力,对诊断或治疗具有重要意义。影像学证据可诊断BCS,肝组织病理学检测可协助鉴别诊断。
实验室检查可辅助临床进一步评估病情、查找病因,包括血、尿和粪常规,凝血功能,肝功能和肾功能等。诊断BCS应积极排查血栓性疾病,包括检测抗磷脂抗体、凝血因子,必要时进行骨髓穿刺、基因检测等。
不同地域的BCS患者形成的原因及类型不同,西方国家主要是肝静脉血栓形成,国内主要是肝静脉开口或/和下腔静脉右心房入口处内膜增生或纤维化,因此治疗方式不完全一致。亚太肝病学会、欧洲肝病学会、美国肝病学会均建议采用阶梯式策略治疗BCS,优先考虑侵入性小的治疗方案。西方国家抗凝治疗是一线治疗手段,对于急性BCS和无症状BCS患者首先启动抗凝治疗,无效后考虑其他治疗。在我国,抗凝治疗是BCS患者基础治疗手段,但一般要联合介入治疗或外科治疗。介入治疗主要有球囊成形术或支架植入术,进行肝静脉和/或下腔静脉再通治疗,一般在球囊成形术效果不佳或明显弹性回缩下行支架植入术。BCS合并显著PH,若存在完全广泛性肝静脉闭塞、肝静脉无法再通、开通无效或尽管解剖再通成功但病情仍进展等情况,建议行TIPS。如果合并下腔静脉阻塞的症状,可联合下腔静脉球囊成形术或支架植入术。BCS合并明确的静脉血栓时,根据个体情况,可进行局部溶栓,但要考虑血栓脱落和出血的风险。当其他方法无效时,可考虑进行外科手术或OLT。
介入治疗具有微创、可重复、疗效好等优势,术后血流量可快速恢复到与正常人相同的水平,血流速度和方向也完全符合正常的解剖和生理要求,因此介入治疗成为BCS的一线治疗逐渐被国内专家认同。BCS的介入治疗方法总体上分为球囊成形术、血管内支架植入术、TIPS或联合应用。TIPS可及时缓解PH,减轻肝窦淤血导致的微血管缺血,从而减少或防止肝衰竭、肝纤维化的发生,因此目前部分研究支持早期TIPS治疗。此外,对等待OLT的BCS患者实施TIPS可降低等待移植的病死率,发挥OLT桥接作用。
传统外科治疗方法包括外科分流手术、间接减压术(姑息减压)、直接减压手术(转流术)、直接手术(病变病灶根治性清除)等,但传统手术方法效果欠佳,创伤较大,副作用较多,随着介入手术的发展一般不做常规应用。
OLT可解决常规介入治疗无法解决的问题,但医生必须严格掌握手术适应证及禁忌证。对于不符合介入、外科治疗标准或经上述治疗无效的患者,OLT是最后的治疗手段。常规推荐OLT术后长期抗凝治疗。OLT治疗BCS患者存活率较高。受体或供体年龄越大、MELD评分越高,预后越差。
内科综合治疗包括利尿、保肝、支持治疗等常作为辅助治疗,特别是无法耐受介入或外科手术的患者。抗凝治疗的具体药物、用量、疗程没有统一的方案,需要结合病情及进一步开展研究确认。溶栓治疗一般配合介入、外科手术使用,特别是伴随血栓的患者。溶栓具体用法、用量、疗程也没有统一的治疗方案,需要依据病因、凝血机制、治疗反应等进行调整。
共识意见23:BCS应作为PH的鉴别诊断(4B);诊断BCS患者应积极排查血栓性疾病,包括检测抗磷脂抗体、凝血因子,必要时进行骨髓穿刺、基因检测等(2B)。
共识意见24:彩超是BCS的一线影像学检查方法(2A),增强CT或MRI扫描可用于明确BCS的诊断、评估血栓范围、制订介入治疗计划、排除恶性肿瘤以及评估肝脏结节和肝脏形态学改变(2A)。DSA是诊断BCS的金标准和进行介入治疗的依据(1A)。
共识意见25:BCS患者的治疗需要结合具体情况进行选择。抗凝是基础治疗手段,除非存在禁忌证或出现抗凝治疗并发症(3B),但一般需要联合介入(或外科)治疗方法。球囊成形术或支架植入术是BCS一线治疗方法(5A)。BCS合并显著PH,若存在完全广泛性肝静脉闭塞、肝静脉无法再通、开通无效或尽管解剖再通成功但病情仍进展等建议行TIPS(4A),如果合并下腔静脉阻塞的症状,可联合下腔静脉球囊成形术或支架植入术(3A)。经上述治疗无效,OLT是重要治疗手段(2B)。
CH常见于多种心脏疾病,如各种原因引起的缺血性心肌病、缩窄性心包炎、慢性心力衰竭、严重的肺动脉高压等。
临床上依据患者心脏病史,结合患者肝病特征,一般诊断并不困难,但是部分心脏病史不明显或未明确的患者,当首发症状为肝病就诊时,诊断较为困难,这时候需要结合实验室检查、影像学、血管测压或病理学检查(见病理部分)才能明确诊断。
CH患者会出现肝功能和凝血指标的异常,乳酸脱氢酶可达正常值上限的10~20倍。有的伴凝血酶原时间延长和血清白蛋白降低。心源性腹水的蛋白质含量通常超过25 g/L,而血清腹水白蛋白梯度>11 g/L。血清和腹水中脑利尿钠肽水平升高(>364 pg/mL)有助于不明原因腹水与心源性腹水的鉴别。肝纤维化指标及LSM可升高。
超声检查可发现肝脏肿大、回声增强以及脾大、腹水等表现。慢性肝淤血CT增强扫描时,在门静脉早期,肝脏呈不均匀强化,肝周强化程度较低,延迟期有时可呈均匀强化。另外,CT还可观察到心脏、肝静脉和下腔静脉异常,如心腔扩大、心包钙化、心包积液、肝静脉及下腔静脉增粗,血流缓慢等。对于CH患者来说,肝静脉和下腔静脉造影显示增粗、血流缓慢。肝血管测压对其诊断或鉴别诊断具有帮助。一般心房、肝静脉和下腔静脉压力同时升高,FHVP和WHPV均升高,而HVPG在正常范围内,但一旦发展为心源性肝硬化,HVPG可出现升高。
一般推荐多学科共同管理CH。治疗原则旨在缓解症状、改善心脏功能、控制并发症和预防疾病进展,最终提高患者的生活质量。
心脏原发病的治疗:将肝功能检测纳入心衰、心房颤动患者的监测。积极治疗基础心脏疾病,可使用血管紧张素转化酶抑制剂、β受体阻滞剂和其他药物改善心脏功能、减轻心脏负荷和控制血压。对于缩窄性心包炎、心脏瓣膜病的患者,可行外科手术治疗。对于严重和难治病例,可考虑使用植入式心脏辅助设备或心脏移植等。
PH并发症的治疗:利尿剂等药物在减少液体潴留和缓解淤血症状方面发挥重要作用。针对合并腹水的患者,可使用利尿剂、腹腔穿刺术放腹水或输注白蛋白来控制腹水,缓解症状。对合并胆红素升高的患者,除了治疗原发病以外,可给予保肝、退黄、支持治疗,以改善肝功能。CH导致的PH静脉曲张破裂消化道出血,条件允许情况下可考虑内镜下治疗或经皮肝穿刺(经颈静脉肝穿刺)途径行曲张静脉栓塞术。在肝损伤确实不可逆的情况下,OLT可能是一种选择,对于心功能衰竭伴有严重心源性或非心源性肝硬化的患者,可考虑行心脏、肝脏联合移植。CH的预后主要取决于其基础心脏疾病的严重程度。
共识意见26:CH常见于多种心脏疾病,包括缺血心肌病、缩窄性心包炎、慢性心力衰竭、严重的肺动脉高压等,长时间肝淤血,可引起肝细胞坏死、肝纤维化及肝硬化,因此在不明原因肝病诊治中注意排除心源性因素(2B)。
共识意见27:对CH患者应注重积极治疗基础心脏疾病,增强心脏功能,及时控制并发症,改善肝功能(3A)。
5展望
肝脏血管性疾病种类繁多、病理机制复杂,精准诊断与个体化治疗一直是基础研究与临床实践的重点。影像学检查是肝脏血管性疾病诊治最重要的技术手段,随着人工智能、大数据、影像融合技术的迅猛发展,未来必将呈现出更加立体化、三维化、动态可视化的影像,精细呈现肝脏血管解剖结构,为疾病的诊治提供关键技术。然而,肝脏血管性疾病的诊疗不仅需要依靠影像技术,还应深入结合病理学分析、肝功能评估、LSM与血流动力学等多元化手段,统筹介入治疗、内科药物治疗以及外科手术干预等多种治疗方式。因此,积极推动多学科交叉联动、构建以患者为中心的多学科协作诊疗团队,针对肝脏血管性疾病的病因、解剖、症状、体征等个体情况,制定精准诊断、合理治疗和长期随访管理策略,将成为肝脏血管性疾病领域发展的必由之路与未来趋势。
执笔者:朱冰(中国人民解放军总医院第五医学中心)、董景辉(中国人民解放军总医院第五医学中心)、张文广(郑州大学第一附属医院)
专家组成员(按姓氏笔画排序):丁洋(中国医科大学附属盛京医院)、丁惠国(首都医科大学附属北京佑安医院)、于乐成(中国人民解放军东部战区总医院)、马世武(中国人民解放军第九二〇医院)、王庆(湖南省人民医院)、王冰(首都医科大学附属北京地坛医院)、赵新颜(首都医科大学附属北京友谊医院)、王健(北京大学第一医院)、王涛(烟台毓璜顶医院)、冯卉(中国人民解放军总医院第五医学中心)、纪冬(中国人民解放军总医院第五医学中心)、吕飒(中国人民解放军总医院第五医学中心)、刘江涛(中国人民解放军总医院海南医院)、刘晖(首都医科大学附属北京佑安医院)、祁兴顺(中国人民解放军北部战区总医院)、李异玲(中国医科大学第一附属医院)、李志伟(深圳市第三人民医院)、李肖(中国医学科学院肿瘤医院)、李嘉(天津市第二人民医院)、陆荫英(中国人民解放军总医院第五医学中心)、苏海滨(中国人民解放军总医院第五医学中心)、何福亮(首都医科大学附属北京友谊医院)、杨业发(海军军医大学第三附属医院)、吴浩(四川大学华西医院)、邹怀宾(首都医科大学附属北京佑安医院)、邹英华(北京大学第一医院)、张月宁(首都医科大学附属北京佑安医院)、张明(首都医科大学附属北京地坛医院)、张珂(首都医科大学附属北京地坛医院)、张春清(山东医科大学附属医院)、陈艳(中国人民解放军总医院第五医学中心)、孟明明(首都医科大学附属北京世纪坛医院)、罗仕华(江西省人民医院)、罗剑钧(复旦大学附属中山医院)、罗亚文(遵义医科大学附属医院)、罗薛峰(四川大学华西医院)、帖君(空军军医大学西京医院)、庞鹏飞(中山大学附属第五医院)、周斌(中山大学附属第五医院)、荣义辉(北京大学国际医院)、段峰(中国人民解放军总医院第一医学中心)、姚健楠(首都医科大学附属北京朝阳医院)、赵洪伟(北京同仁医院)、赵剑波(南方医科大学南方医院)、诸葛宇征(南京大学医学院附属鼓楼医院)、高飞(中山大学附属肿瘤医院)、高沿航(吉林大学白求恩第一医院)、郭武华(福建医科大学孟超肝胆医院)、郭瑞威(中国人民解放军第九二二医院)、韩新巍(郑州大学第一附属医院)、韩莹(首都医科大学附属北京佑安医院)、韩聪(中国人民解放军总医院第五医学中心)、游绍莉(中国人民解放军总医院第五医学中心)、廖勇(清华大学附属北京清华长庚医院)、熊清芳(南京市第二医院)、蔡剑鸣(中国人民解放军总医院第五医学中心)、薛挥(西安交通大学第一附属医院)、潘杰(中国医学科学院北京协和医院)
(本网站所有内容,凡注明来源为“医脉通”,版权均归医脉通所有,未经授权,任何媒体、网站或个人不得转载,否则将追究法律责任,授权转载时须注明“来源:医脉通”。本网注明来源为其他媒体的内容为转载,转载仅作观点分享,版权归原作者所有,如有侵犯版权,请及时联系我们。)