患者,男性,28岁,既往无特殊病史,因入院前3小时出现

图1入院时十二导联心电图
12导联心电图显示高度

图2 入院时心电图显示窦性心动过速,伴宽QRS波群。第一个QRS波群表现出交界性逸搏心律(黄色星号),随后出现高度房室传导阻滞(房室传导比例3:1)。红色箭头示P波,其频率为130次/分,而QRS波频率为42次/分。蓝色箭头突出显示 δ 波,橙色线段为P-P间期(460ms)。
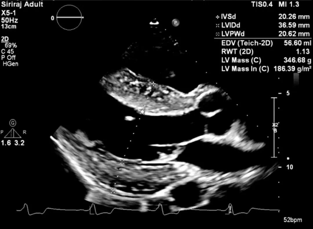
经胸

图3 经胸超声心动图(胸骨旁长轴视图)显示向心性左室肥厚,无显著心室内压差。
PRKAG2综合征以心室预激(68%病例,常酷似WPW综合征)和房室传导阻滞(44%患者)为特征。其中约43%患者因传导阻滞进展需植入起搏器。53%的患者出现左室肥厚,38%患者会经历室上性快速性
本例患者的预激表现由分支室旁路所致,该旁路通常与
基因检测证实PRKAG2基因致病性变异(c.905G>C),与诊断结果一致。该变异可解释肥厚型心肌病表型,也可说明高级别房室传导阻滞的成因。需注意,PRKAG2相关心肌肥厚是由糖原贮积所致,这使其区别于肌小节蛋白编码基因相关的肥厚型心肌病。
PRKAG2综合征的治疗重点在于预防心律失常并发症和处理传导异常。鉴于PRKAG2综合征存在完全心脏传导阻滞及猝死风险,本例患者选择植入双腔植入式心脏转复除颤器进行长期管理。术后心脏
PRKAG2综合征的
此病例凸显了PRKAG2综合征管理的复杂性,尤其是合并传导异常与肥厚型心肌病表型的情况下。分支室通路的存在进一步增加了管理难度,提示全面评估和个性化管理对预防心源性猝死等不良结局至关重要。
信源:Rujirachun P, Taveeamornrat S, Winijkul A. A Young Man With Syncope: What Is the Diagnosis? Circulation. 2025 Mar 18;151(11):804-806. doi: 10.1161/CIRCULATIONAHA.124.072433. Epub 2025 Mar 17. PMID: 40096291.
编辑&审校:siqili
排版:siqili
医脉通是专业的在线医生平台,“感知世界医学
本平台旨在为医疗卫生专业人士传递更多医学信息。本平台发布的内容,不能以任何方式取代专业的医疗指导,也不应被视为诊疗建议。如该等信息被用于了解医学信息以外的目的,本平台不承担相关责任。本平台对发布的内容,并不代表同意其描述和观点。若涉及版权问题,烦请权利人与我们联系,我们将尽快处理。

(本网站所有内容,凡注明来源为“医脉通”,版权均归医脉通所有,未经授权,任何媒体、网站或个人不得转载,否则将追究法律责任,授权转载时须注明“来源:医脉通”。本网注明来源为其他媒体的内容为转载,转载仅作观点分享,版权归原作者所有,如有侵犯版权,请及时联系我们。)