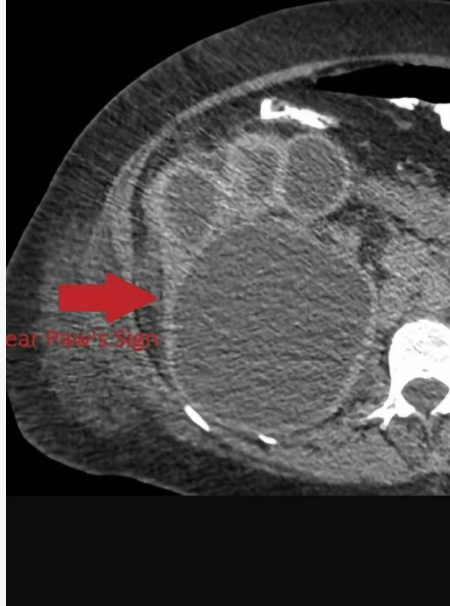
"熊掌征"(bear paw sign)是指在断面影像上肾盂粘连收缩,而肾盏扩张,肾皮质变薄,扩张的肾盏形似熊脚掌的征象,它是黄色肉芽肿性肾盂肾炎的一个重要特征性征象。
![]() | ![]() |
黄色肉芽肿性肾盂肾炎是一种慢性肉芽肿过程,被认为是亚急性/慢性感染导致慢性但不完全免疫反应的结果。最常见的是大肠埃希菌和奇异变形杆菌感染。其特征是肾实质损害、肉芽肿性脓肿及肾间质大量含脂肪的巨噬细胞聚积。含脂肪的巨噬细胞堆积。肾脏最终被大量反应性组织取代,伴有不同程度的肾积水,其环绕鹿角形
"熊掌征"表现为以肾盂肾盏为中心肾实质内多发囊性占位,其中部分囊为结石梗阻所致的肾积水,部分为黄色肉芽肿的脓腔;通常肾盏扩张为主,肾盂扩张常常不显,增强后,病变实性部分均匀强化,坏死区无强化,低密度区边缘环形强化。患肾体积增大或局限性隆起。常常伴有集合系统结石;肾皮质变薄;肾窦脂肪组织减少,多为慢性炎性反应性纤维组织增生所替代;肾周筋膜增厚、肾周间隙渗出积液,严重时可形成脓肿累及腰大肌。腹部X线平片典型的表现是受累的肾脏增大并有鹿角状结石,同侧腰大肌边缘模糊。超声显示肾脏轮廓变形,正常结构消失,中央可探及结石声影。
"熊掌征"主要见于黄色肉芽肿性肾盂肾炎(XGP)。本病在任何年龄均可发病,但以50~70岁多见;女性患者明显多于男性。一般仅有单侧肾脏受累,罕有双侧病变;绝大多数患者肾区疼痛及反复发作的
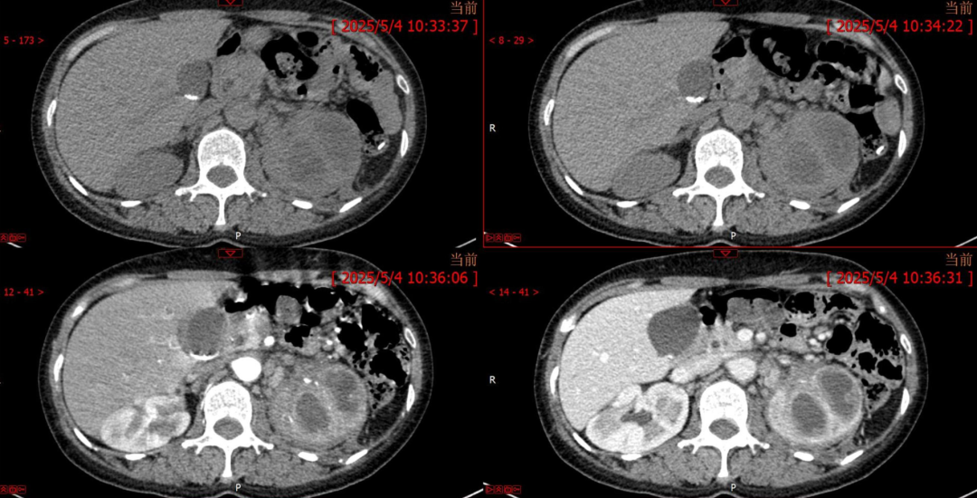
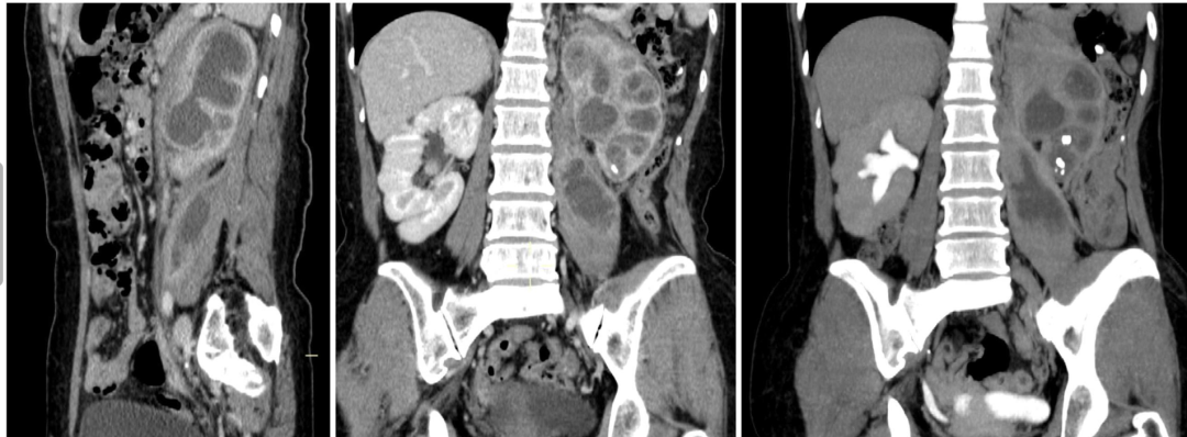
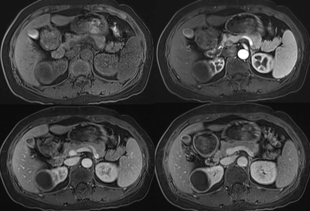
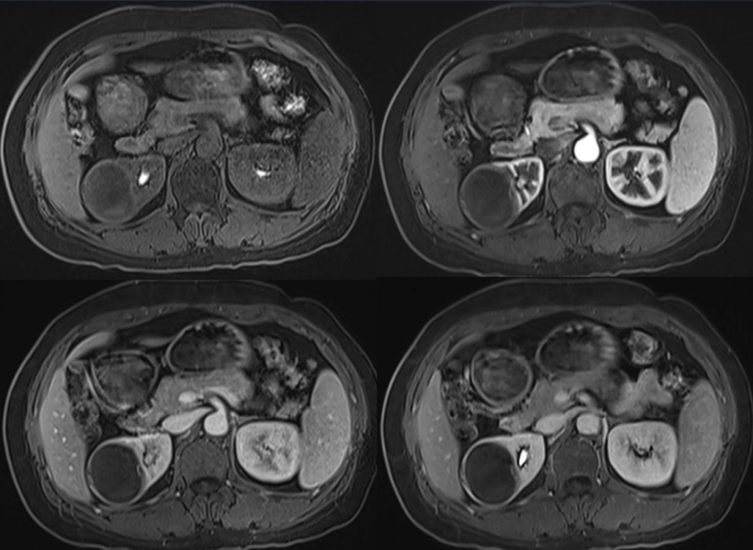
病例1女性,60岁主诉:反复左


病理结果

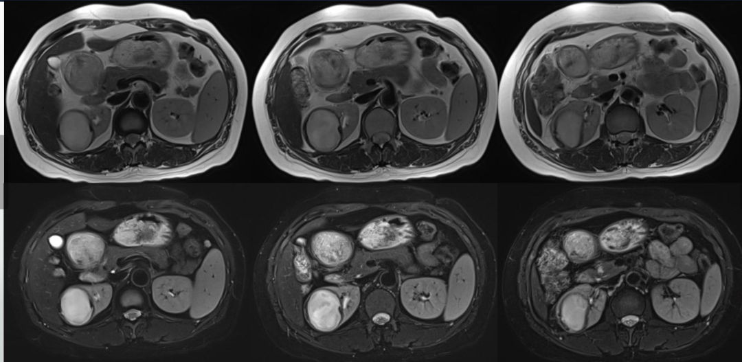
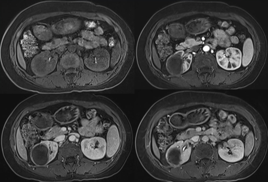
病例2女,41岁,主 诉:体检发现右侧肾占位1天余。现 病 史:缘患者于1天因血压升高来我院就诊,体检发现右侧肾占位,
既 往 史:平素健康状况:良好,患者既往有高血压病史2年余,最高








影像表现为:右肾囊性肿块,肾周无软组织及渗出影,增强囊壁轻度强化,囊内弥散受限明显,不强化,周围有出血

常见的鉴别诊断
1.
2.肾脓肿:起病急,发热及泌尿系感染症状明显,无结石或钙化。早期炎症期:表现肾实质内略低密度肿块,增强检查可有轻度不规则强化。脓肿成熟期:表现为类圆形均一低密度病变,增强检查病变周边(脓肿壁)呈环状明显强化,中心脓腔低密度无强化,脓肿内可见液气平面和气泡。感染蔓延期:肾周脂肪密度增高;并有脓肿时,表现肾周和肾旁脂肪间隙消失,代之以混杂密度肿块,增强检查表现为规则或不规则单发或多发环状强化。
黄色肉芽肿性肾盂肾炎 | ||
不同程度扩张,边界模糊不清 | ||
脓液,脂质,肉芽肿无对比剂 | ||
本视频/资讯/文章的内容不能以任何方式取代专业的医疗指导,也不应被视为诊疗建议。医脉通是专业的在线医生平台,“感知世界医学

(本网站所有内容,凡注明来源为“医脉通”,版权均归医脉通所有,未经授权,任何媒体、网站或个人不得转载,否则将追究法律责任,授权转载时须注明“来源:医脉通”。本网注明来源为其他媒体的内容为转载,转载仅作观点分享,版权归原作者所有,如有侵犯版权,请及时联系我们。)