前列腺癌是一类起病隐匿且进展缓慢的恶性肿瘤,患者的生存预后与诊断时的疾病分期密切相关。我国前列腺癌患者初诊分期较晚,临床局限性病例仅占30%左右,总体预后较差[1]。近年来,以恩扎卢胺为代表的雄激素受体通路抑制剂(ARPI)的出现,有效延缓了转移性激素敏感性前列腺癌(mHSPC)患者进展至去势抵抗性阶段的时间,延长了总生存期(OS),已成为mHSPC的标准治疗方案。本期我们特别邀请海南省人民医院王飞教授分享一例mHSPC伴多发骨转移患者,经恩扎卢胺联合治疗实现6个月短期显效、超1年长期持续获益的诊治过程,并邀请海南省人民医院王阳教授进行点评,为mHSPC临床实践提供参考。
患者男,84岁。
主诉
排尿困难1年余,血尿2天。
现病史
1年前出现排尿费力,进行性加重,1月前出现无法自行排尿,尿急、尿痛症状,于多家医院留置尿管治疗,2天前出现血尿症状,为全程血尿。
既往史
有高血压病史多年,长期服用苯磺酸氨氯地平、美托洛尔缓释片。有冠心病病史多年,长期服用氯吡格雷抗血小板、阿托伐他汀稳定斑块。糖尿病多年,甘精胰岛素注射液联合卡格列净降糖治疗。
查体
前列腺指检查:前列腺II度增生,质地硬,中央沟变浅。
辅助检查
实验室检查:总前列腺特异性抗原(TPSA)为34.14 ng/mL。
超声:双肾囊肿。前列腺肥大并钙化斑。前列腺囊肿。膀胱轻度充盈,腔内探查不清。
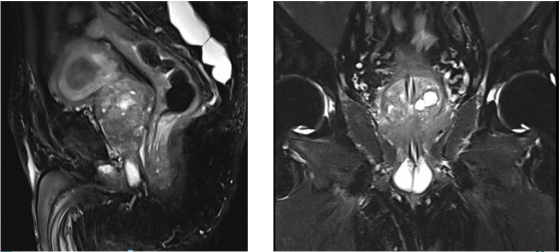
MRI:中央带、移行带、外周带异常信号,突破包膜、累及尿道;PI-RADS评分5分。


图1 2024年11月23日MRI检查
全身骨显像:第7、8、11胸椎及第3腰椎骨质代谢异常,建议进一步检查除外肿瘤骨转移可能。

图2 2024年12月3日ECT检查
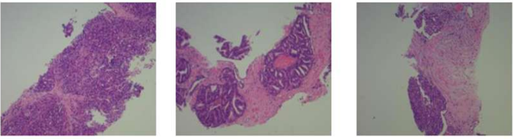
前列腺穿刺活检:前列腺腺泡型腺癌,Gleason4+4=8分,分组4/5,癌占穿刺组织的50%,未见神经侵犯。

图3 2024年11月29日前列腺穿刺病理
2024年12月19日,给予恩扎卢胺联合地加瑞克内分泌方案。
2025年6月7日,TPSA为0.009ng/mL。
2025年6月12日,PET-CT PSMA显像未见肿瘤转移征象。前列腺大小约4.6x3.8x4.3cm,其内见致密影。前列腺未见异常放射性摄取增高。膀胱正常显影。盆腔、双侧腹股沟区未见肿大淋巴结。直肠未见异常。低管见类圆形低密度影,大小约3.3x2.7cm,未见放射性摄取增高。
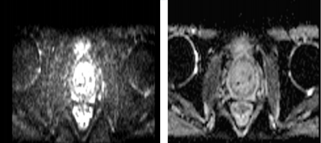
2025年6月14日,前列腺MRI示:与前片(2024年11月23日)对比前列腺体积缩小,形态欠规则,信号不均匀,治疗后改变。前列腺移行带多发结节状长T2信号影,较前减少,缩小,T2WI评分PI-RADS 2,考虑增生结节。双侧精囊腺炎,较前相仿。原膀胱导尿管留置,现已取出。膀胱炎可能,较前改善。盆腔少量积液,较前基本吸收。骶管囊肿,较前相仿。


图4 2025年6月14日MRI检查
2025年12月11日,TPSA<0.008ng/mL。前列腺MRI示:与前片(2025年6月12日)对比前列腺形态欠规则,信号不均匀,大致同前,可符合治疗后改变,请结合临床。双侧精囊腺炎,较前相仿。膀胱炎可能,大致同前。盆腔小淋巴结可见,大致同前。骶管囊肿,较前相仿。
伴有骨痛或病理性骨折、tPSA≥10 ng/mL、Gleason评分≥8分等高危因素的患者,骨转移风险更高。前列腺癌骨转移可导致骨相关事件(SREs),包括病理性骨折、脊髓压迫、骨外科手术、骨放射治疗等,这会显著降低生活质量并加重医疗负担[2]。
该病例为84岁高龄男性患者,确诊为高危mHSPC(Gleason 8 分),伴4处骨转移,合并多年高血压、冠心病、糖尿病病史。这就要求临床制定治疗方案时,在追求抗肿瘤疗效的同时,必须高度兼顾用药安全性,避免因药物毒性累积或不良反应影响基础疾病控制。
ARCHES研究5年随访数据充分证实了恩扎卢胺卓越的全人群临床价值,与安慰剂联合雄激素剥夺治疗(ADT)相比,恩扎卢胺联合ADT使患者5年总生存期(OS)率由53%提升至66%,提升13%。在安全性方面,恩扎卢胺的安全性呈现“长期趋平稳”特征,治疗期间不良事件(TEAE)的发生率和严重程度随用药时间延长逐渐降低,且不同亚组安全性表现与全人群一致[4,5],为患者耐受长期治疗、最大化生存获益奠定了坚实基础。
因需兼顾疗效与安全性,本例患者选择地加瑞克联合恩扎卢胺内分泌治疗方案。治疗仅半年,TPSA即降至0.009ng/mL,前列腺体积缩小,肿瘤活性病灶及转移征象消失;治疗约1年,患者TPSA从34.14ng/mL降至<0.008ng/mL,前列腺体积持续缩小,肿瘤活性病灶及转移征象消失,全程无严重不良反应,疗效持续且显著。
王飞 教授
海南省人民医院
医学博士,主任医师,博士生导师
海南省人民医院泌尿外科 副主任
德国海德堡大学访问学者
海南省人民医院外科教研室 常务副主任
海南省“515人才工程”第二层次人选
2020年入选海南省“南海名家”
2020年入选海南省“领军人才”
海南省书法家协会会员
中华医学会泌尿外科分会基础学组委员
中华医学会男科学分会全国青年委员
海南省医学会泌尿外科学分会常务委员
海南省抗癌协会泌尿机器人外科常务委员
主持国家自然基金3项、海南省国际合作基金1项
主持省自然创新团队基金、海南省重点科研项目各1项
2022年海南医学科技奖 二等奖(第一完成人)
专业方向:泌尿系肿瘤腔镜及机器人微创手术、晚期泌尿系肿瘤多学科综合治疗
专家点评
骨是前列腺癌最常见的转移部位,骨转移占所有前列腺癌转移部位的88.7%,且前列腺癌也是最易发生骨转移的恶性肿瘤之一。此外,前列腺癌患者群体中,合并高血压、冠心病、糖尿病等多种基础疾病的情况较为常见,器官功能也可能存在个体差异 [3]。因此在mHSPC骨转移患者的治疗中,如何平衡疗效最大化与安全性保障是临床面临的重要难点。
恩扎卢胺是一种雄激素受体通路抑制剂(ARPI),其出现为打破这一困局,提供了关键解决方案。从亚组疗效来看,不同肿瘤负荷患者均能从该方案中显著获益,对于高瘤负荷患者,恩扎卢胺联合ADT方案使患者中位OS延长3年(83.1个月 vs. 47.6个月),死亡风险降低了30%(HR=0.70);尽管低瘤负荷患者尚未到达中位OS,但亦表现出死亡风险降低29%的获益趋势(HR=0.71)。除肿瘤负荷分层外,该方案对于不同年龄、不同基线PSA和不同转移模式亚组患者均表现一致性获益趋势[4,5]。
回到本病例,患者确诊时已出现排尿困难、血尿等症状,且合并多年高血压、冠心病、糖尿病等基础疾病,前列腺癌已突破包膜、累及尿道并伴随多处骨转移,Gleason评分为8分,属于高危mHSPC,治疗难度极大。采用地加瑞克联合恩扎卢胺的内分泌治疗方案后,患者取得了显著疗效:治疗6个月时,PSA水平显著降低,前列腺体积明显缩小,MRI复查显示病灶信号改善、增生结节减少,PET-CT检查未发现肿瘤活性病灶及转移征象;治疗1年时,TPSA进一步降至正常范围,前列腺体积持续缩小,MRI提示符合治疗后改变,未见疾病进展迹象,且同时未出现严重不良反应影响基础疾病控制。该病例充分体现了恩扎卢胺为基础的方案在高危mHSPC骨转移患者中“疗效确切、长期可控”的优势,实现了疾病持续控制与生活质量保障的双重目标。
王阳 教授
海南省人民医院
主任医师,科室负责人,硕导,医学博士
中国医师协会泌尿外科医师分会全国委员
中国医师协会泌尿外科分会前列腺癌学组委员
海南省医学会泌尿外科分会主任委员
海南省抗癌协会机器人分会副主任委员
海南省中西医结合学会泌尿外科专业委员会常委
海南省医学会器官移植分会委员
专业方向:泌尿系肿瘤、肾移植、泌尿系修复
MAT-CN-XTD-2025-00184
Preparation Date:2025-12-24
仅供医疗专业人士阅读
声明:本病例系临床专家基于实际诊治经验的分享内容,所涉治疗方案及相关观点仅代表分享专家个人见解,不代表其他任何相关方立场。该病例仅供医疗同行进行学术交流与探讨使用,不构成任何形式的诊疗建议,临床实践中请务必结合患者具体病情及循证医学证据综合决策。
(本网站所有内容,凡注明来源为“医脉通”,版权均归医脉通所有,未经授权,任何媒体、网站或个人不得转载,否则将追究法律责任,授权转载时须注明“来源:医脉通”。本网注明来源为其他媒体的内容为转载,转载仅作观点分享,版权归原作者所有,如有侵犯版权,请及时联系我们。)