弥漫性大B细胞淋巴瘤(DLBCL)是成人
一般情况
患者,男,初诊年龄70岁。
现病史:2023-06-09患者无明显诱因出现腹部疼痛,为全腹痛,伴全身不适,与进食、
既往史:丙型肝炎、
体格检查:颈部可触及肿大浅表淋巴结,神志清,精神可,皮肤黏膜无出血点,双肺呼吸音清,未闻及明显干湿性啰音,心律齐,各瓣膜听诊区未闻及病理性杂音,腹软,全腹压痛,无反跳痛,肝脾肋下未及,双下肢无
凝血功能:D-dimer 1000.00ng/mL↑。
丙肝RNA测定:7660IU/mL↑。
肝功能:Alb 36.1g/L↓,Glb 44.2g/L↑,AST 64U/L↑,GGT 119U/L↑,LDH 450U/L↑。
肾功能:C1q 139mg/L↓,UA 417umol/L↑,CysC 1.18mg/L↑。
电解质、血糖、血脂、血钙、粪便常规:未见明显异常。
全腹
盆腔CT平扫(2023-06-13):左侧髂血管走行区及腹股沟区多发肿大淋巴结,建议进一步检查。

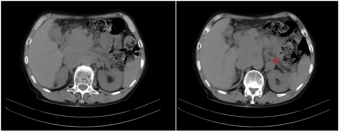
图1 患者
PET-CT(2023-06-19):1.左侧颈部Ⅰ-Ⅳ区、双侧腋窝、腹腔及腹膜后腹主动脉及下腔静脉周围、肠系膜区、右侧膈脚后、左侧髂外血管区、双侧腹股沟区多发增大淋巴结,部分融合成团,代谢增高,SUVmax约41.1,考虑淋巴瘤可能性大,建议获得病理结果;2.双肺慢性炎症或纤维灶;

图2 患者PET-CT表现
骨髓活检:骨髓增生大致正常(细胞容积约40%),
免疫组化结果:CD38(+),CD138(+),Kappa(+),Lambda(-),MUM-1(+),PAX5(-),CD3(-),CD20(-)。
特殊染色结果:普鲁士蓝(-),网状纤维(MF:1级),Masson(胶原纤维分级:0级)。
左颈部淋巴结穿刺活检(2023-06-20):淋巴细胞增生性病变,免疫结果:CD3(-),CD20(+),CD5(-),Pax-5(+),CD21(+),CD23(-),Bcl-2(+++,90%),Bcl-6(++,60%),MUM1(+),CD10(-),CyclinD1(-),c-Myc(+,30%),Ki-67(60%),CD30(-),CD163(部分+),EMA(-),EBER(原位杂交)(-),可见大量表型异常B淋巴细胞,约占淋巴细胞的78.66%,Kappa和Lambda表达异常,SSC偏大,FSC稍增大,考虑为CD5-CD10+B细胞淋巴瘤。结合形态学所见及免疫组化结果,意见为非霍奇金性
诊断
弥漫性大B细胞淋巴瘤,Ann Arbor分期系统(Cotswolds修订版)Ⅲ期,IPI评分5分,高危组,丙型肝炎病毒携带
2023-06-29,予R-CDOP(
2023-08-30因双侧腋窝淋巴结肿大(右侧大者5.7×5.1×3.8cm、4.3×2.5cm,左侧大者1.2×0.9cm、1.3×0.7cm)、腹膜后淋巴结肿大(大者3.5×1.8cm、1.9×1.6cm)再次入院。
考虑到患者高龄、体弱及丙肝等因素,于2023-09-15、2023-10-08、2023-10-28调整方案为减量CDOP方案治疗3个周期。
2023-11疗效评估达部分缓解(PR),患者自觉症状好转,要求停止化疗。于2023-12开始给予
2025-03,开始予匹妥布替尼单药治疗,患者耐受性好,未再发生腹痛。
2025-07复查超声示:颈部、腋窝及腹腔、腹膜后未见明显有意义肿大淋巴结。
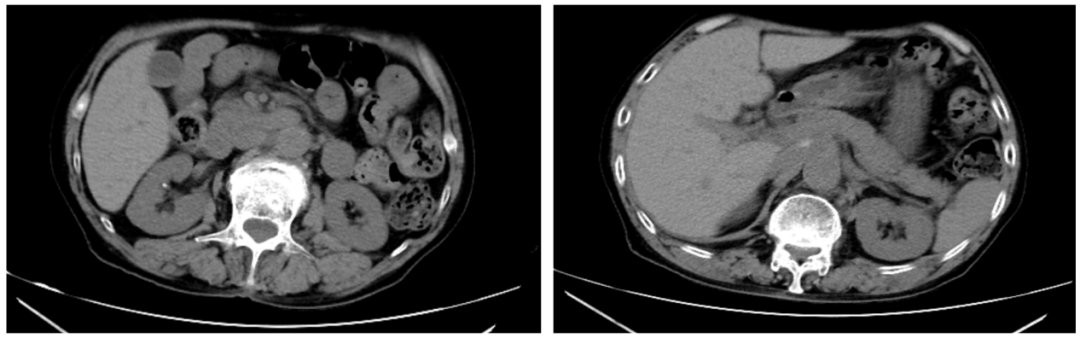
2025-08-30复查腹部及盆腔CT示:腹腔及腹膜后见多发软组织团块影,部分融合,边界不清,部分较前减小;左侧髂血管走行区及腹股沟区见多发稍大淋巴结影,较前变化不大。
2025-11-04,复查超声提示:左侧锁骨上见2-3个肿大淋巴结,大者0.9×0.6cm,结构欠清;左侧腋下见2-3个肿大淋巴结,大者1.0×0.5cm,皮质增厚,髓质偏心,左侧腹股沟区见1.5×0.4cm肿大淋巴结,均皮质稍增厚,髓质尚清。腹膜后未见明显有意义肿大淋巴结。综合CT等相关检查结果,提示疾病得到有效控制。
截至2025-12,匹妥布替尼单药治疗已有9个月,患者未再出现疾病的进展或复发,安全性良好,可耐受,目前仍在持续用药及随访中。

图3 匹妥布替尼治疗后患者腹部CT表现
本例老年高危DLBCL患者历经多线治疗仍反复复发,且对多种化疗药物耐受性差,治疗过程充满挑战。启用匹妥布替尼治疗后,患者未再出现腹痛等症状,影像学提示病灶稳定甚至部分缩小,治疗9个月以来病情持续控制,且未出现明显不良反应,体现出该药良好的疗效与耐受性。从机制上看,匹妥布替尼具有高选择性的布鲁顿酪氨酸激酶(BTK)抑制特性,激酶活性试验显示其在100 nM浓度下仅抑制4种激酶,对BTK的抑制率高达97%4。酶谱分析亦显示,匹妥布替尼对BTK的选择性比98%的其他人类激酶高300倍以上,降低了潜在的脱靶毒性5。此外,在肝功能不全患者中,匹妥布替尼未出现药时曲线下面积(AUC)升高,重度
综上所述,匹妥布替尼凭借其高选择性和良好的安全谱,为多线复发难治、耐受性差的老年DLBCL患者提供了一种有效且可耐受的治疗选择。未来,随着更多临床证据的积累,匹妥布替尼有望进一步拓展其临床价值,为更广泛的淋巴瘤患者群体带来生存改善。
吴少玲 教授
青岛大学附属医院 主任医师,医学博士,研究生导师
美国宾州HMC医学中心访问学者
山东省疼痛医学会淋巴瘤专委会主任委员
山东省转化医学会
山东省医师协会青年委员会副主任委员
山东省抗癌协会血液MPN工作组副组长
山东省细胞生物治疗专委会副主任委员
山东省老年学会康复专委会常务委员
山东省抗癌协会血液病MDS专委会委员
山东省老年医学会血液病专业分会委员
参考文献:
1. 达娃
2. 中华医学会血液学分会淋巴细胞疾病学组. 中华血液学杂志,2024,45(04):322-329.
3. 屈
4. Gomez EB, et al. Blood. 2023 Jul 6;142(1):62-72.
5. 中国临床肿瘤学会(CSCO)淋巴瘤专家委员会. 白血病·淋巴瘤,2025,34(07):385-391.
6. 匹妥布替尼产品说明书(2025年6月25日).
7. Mato AR, et al. Lancet. 2021 Mar 6;397(10277):892-901.

戳“阅读原文”,查看更多内容
(本网站所有内容,凡注明来源为“医脉通”,版权均归医脉通所有,未经授权,任何媒体、网站或个人不得转载,否则将追究法律责任,授权转载时须注明“来源:医脉通”。本网注明来源为其他媒体的内容为转载,转载仅作观点分享,版权归原作者所有,如有侵犯版权,请及时联系我们。)