

导读

本期介绍一位80岁的难治性痛风患者,痛风病史长达10余年,伴有多发性痛风石形成,同时合并
病例回顾:高龄且合并多种慢性病,在
男性,80岁。
【患者主诉】
反复四肢关节肿痛10+年,加重2周。
【现病史】
入院10+年前,患者无明显诱因出现左第1跖趾关节、双踝肿痛,伴局部皮温增高、皮肤发红,伴活动受限,无畏寒、发热,无眼干、口干,无口腔溃疡,无牙齿片状脱落,无脱发,无
入院4+年前,患者无明显诱因出现右手麻木、疼痛加重,伴活动障碍;2021年4月1日于当地医院住院,诊断右腕正中神经损伤;2021年4月16日因关节肿痛于我科住院治疗,诊断
【既往史】
平素身体状况一般,高血压病史、
【体格检查】
患者体温:36.6℃,
神清,

图1.患者体格检查
【实验室检查】
患者尿酸水平、C反应蛋白 (CRP)水平及红细胞沉降率 (ESR)、

图2.患者入院时实验室检查结果
【影像学检查】
胸部CT:1、双肺小叶间隔轻度增厚,以双肺下叶明显,待排间质性
心脏超声:主动脉瓣退变、右冠瓣缘脱垂伴轻-中度反流;升主动脉及主动脉窦部扩张;左心增大;二、三尖瓣轻度反流;肺动脉增宽,
泌尿系彩超:右肾缩小。前列腺实质内钙化灶。左肾未见明显异常。
腹部彩超:
浅表彩超(腕关节):右腕伸肌腱、屈肌腱肌腱内及腱鞘强回声团(痛风石?)双腕点状强回声(尿酸盐沉积?)(图3)。

图3. 膝关节浅表彩超
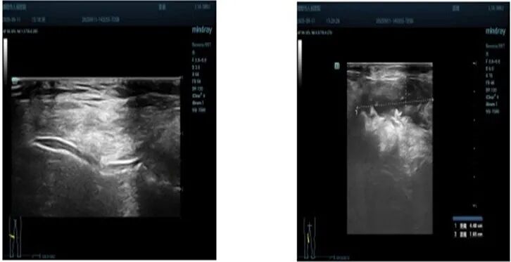
浅表彩超(膝关节):双膝股四头肌肌腱水肿,内可见强回声团。双膝髌上囊可见少量积液及少量滑膜增生并可见多个强回声团。双膝髁间软骨可见双轨征。双膝腘窝查见囊性暗区,壁厚,内不清晰,内可见强回声沉积。右侧大小约5.0X1.6cm,左侧大小约4.5×1.7cm(图4)。

图4. 膝关节浅表彩超
【初步诊断】
痛风性关节炎
痛风石
肾功能不全、肾性贫血
高血压、冠状动脉粥样硬化性心脏病,支架植入术后
肺部感染?
病例解析:如何为合并“肾功能不全”、“
本例80岁男性患者治疗面临显著矛盾:一方面,其痛风急性发作伴多发痛风石,炎症指标(CRP 107mg/L,ESR 120mm/h)显著升高,亟需强效抗炎;另一方面,患者合并重度肾功能不全(eGFR 35.60ml/min)、冠心病及高血压,使得传统抗炎药物的应用受到限制。非甾体抗炎药(NSAIDs) 可能进一步损害肾功能、增加心血管事件风险,并显著升高消化道出血风险;
在此治疗困境下,靶向炎症关键通路成为破局方向。痛风的核心炎症介质是白细胞介素-1β(IL-1β)。《中国高尿酸血症与痛风诊疗指南(2024更新版)》[2]以及《2020美国风湿病学会痛风管理指南》[3]均建议,对于其他抗炎疗法治疗无效、耐受性差或有禁忌证的痛风发作患者,有条件的推荐使用IL-1抑制剂。伏欣奇拜单抗作为一种全人源的IL-1β抑制剂,可从精准靶向IL-1β,快速、强效镇痛,长期抗炎,显著减少痛风患者复发风险[4-8]。
【入院后治疗方案】
头孢曲松抗感染治疗;保肾、利尿;调脂、纠正贫血、控制血压;对症止痛。
使用头孢曲松抗感染治疗后,患者仍出现反复发热、关节肿痛加重;给予地塞米松5mg im治疗,患者出现消化道出血症状。
给予患者艾司奥美拉唑钠8mg/h持续泵入;硫糖铝混悬凝胶1g bid以控制消化道出血症状。
因患者院外长期使用地塞米松,存在肾上腺皮质功能不全,地塞米松难以骤停,在加强保胃的同时,地塞米松减量至2.5mg im,但患者痛风性关节炎症状难以控制。
2025年8月20日首次给予伏欣奇拜单抗200mg ih。
【患者临床转归】
加用伏欣奇拜单抗后,患者关节肿痛逐渐减轻,未再发热,激素顺利减量至泼尼松5mg qd。
继续给予降尿酸治疗,患者未再出现痛风复发。
使用伏欣奇拜单抗治疗前后,患者相关炎症及肾功能指标变化如下(图5):

图5.患者调整治疗方案前后炎症及肾功能相关指标变化
专家点评:高龄、多重共病难治性痛风急性期管理的破局之道
作为一名风湿免疫科医师,阅读此病例后,深感其典型性与挑战性并存。患者为80岁男性,痛风病史长达10余年,伴有多发性痛风石,且合并高血压、冠心病(支架植入术后)、肾功能不全及肾性贫血,构成了临床上极为棘手的“高危共病痛风”群体。其诊疗过程,精准地揭示了传统抗炎药物在此类患者中的局限性,并为我们展示了靶向治疗在破局中的关键价值。
1.传统治疗困境的集中体现
本例患者的治疗矛盾极为突出。一方面,其痛风急性发作,炎症指标显著升高(CRP 107mg/L,ESR 120mm/h),亟需强效抗炎干预。另一方面,其复杂的共病状态使得几乎所有常规选择都面临风险:非甾体抗炎药(NSAIDs)可能加重肾功能损伤、增加心血管事件及消化道出血风险;秋水仙碱在肾功能不全时中毒风险剧增;而糖皮质激素虽在初始使用,但诱发消化道出血后被迫减量,且长期应用对血压、血糖及水钠平衡的负面影响,与患者既有的心肾疾病管理目标直接冲突。这种“需强效抗炎”与“无安全药物可用”的困境,在老年共病患者中并不罕见,常导致治疗迁延、激素依赖,甚至器官功能进行性恶化。
2.靶向IL-1β治疗的精准破局
本病例的成功转折点在于引入了白细胞介素-1β(IL-1β)抑制剂——伏欣奇拜单抗。这一决策具有坚实的病理生理学与循证医学基础。痛风急性发作的本质是尿酸钠晶体触发的NALP3炎症小体活化,导致IL-1β大量释放,引发瀑布式炎症反应。因此,直接阻断IL-1β是从上游抑制炎症的关键。国内外权威指南均建议,对于常规治疗无效、存在禁忌或耐受性差的患者,可考虑使用IL-1抑制剂。本例中,在传统治疗路径受阻后,给予伏欣奇拜单抗200mg皮下注射,实现了治疗的精准转向。
3.治疗转归与指标解读:安全性与有效性的双重验证
从临床转归看,疗效显著。加用伏欣奇拜单抗后,患者关节肿痛逐渐减轻,未再发热,为糖皮质激素的顺利减量(从地塞米松减至泼尼松5mg qd)创造了条件。更值得关注的是关键实验室指标的动态变化,它们客观印证了治疗的安全性与有效性:1、炎症控制: C反应蛋白(CRP)从治疗前的107 mg/L,在短期内虽有波动,但最终降至3.5 mg/L;红细胞沉降率(ESR)则从120 mm/h持续下降至2 mm/h。这种快速且显著的炎症消退,是靶向治疗起效的直接证据。2、肾功能影响:治疗过程中,患者的肾功能未受负面影响,反而呈现改善趋势。肌酐水平从214.8 μmol/L逐步下降至125.3-126.7 μmol/L的稳定平台。凸显了伏欣奇拜单抗不经过肾脏代谢、对肾功能无直接损害的药理学优势,对于合并肾功能不全的患者至关重要。3、远期管理:在炎症得到有效控制后,患者得以继续并耐受降尿酸治疗,且未再出现痛风复发。这打破了“急性期炎症控制不佳-无法启动/坚持降尿酸治疗-痛风反复发作”的恶性循环,为长期疾病管理奠定了基础。
本病例为风湿免疫科医师处理复杂共病痛风患者提供了极具价值的范本。它深刻说明,面对高龄、心肾功能不全、出血风险等多重限制时,基于疾病核心机制(IL-1β通路)的靶向治疗,能够实现“鱼与熊掌兼得”——即强效抗炎与良好安全性的平衡。超声影像显示的多发肌腱内强回声团(痛风石?)及关节内尿酸盐沉积,也提示此类患者往往存在严重的慢性晶体负荷,急性期炎症的彻底控制是后续一切治疗(包括降尿酸、甚至手术清创)的前提。未来,随着对痛风炎症通路认识的深化及更多靶向药物的可及,个体化、精准化的急性期治疗方案将更加丰富。对于类似本例的高危患者,早期评估并适时启用IL-1β抑制剂,或许能更主动地避免激素依赖、减少并发症、保护靶器官功能,从而真正改善患者的长期预后与生活质量。此案例不仅是一次成功的治疗,更是一次治疗理念的更新:从“被动应对禁忌”转向“主动选择最优解”。

病例分享专家
何俊锋 主治医师
德阳市人民医院
德阳市医学会风湿免疫专委会委员
德阳市风湿免疫质控中心秘书
四川省中西结合学会风湿免疫专业第四届委员会委员
德阳市卫健委第四届学术技术带头人后备人选

病例点评大咖
冯林 主任医师
德阳市人民医院
德阳市人民医院风湿免疫科主任
四川省医学会风湿病专委会常务委员
四川省免疫学会风湿病分会委员
四川省医师协会风湿免疫科分会常务委员
四川省干细胞协会自体免疫与风湿病分会常务委员
四川省医学科技创新研究会风湿免疫病学协同创新分会常务委员
四川省中西医结合学会风湿免疫专业委员会常务委员
四川省生物信息学学会风湿免疫病生物信息学分会第一届常委
四川省国际医学交流促进会终末期肺病多学科全程诊疗专业委员会常委成都高新医学会第一届西部间质性肺疾病专业委员会委员及免疫学组副组长、四川省预防接种鉴定专家
德阳市风湿病质量控制中心主任
德阳市医学会风湿专业分会主任委员
德阳市首届学科技术带头人
参考文献

医脉通是专业的在线医生平台,“感知世界医学脉搏,助力中国临床决策”是平台的使命。医脉通旗下拥有「临床指南」「用药参考」「医学文献王」「医知源」「e研通」「e脉播」等系列产品,全面满足医学工作者临床决策、获取新知及提升科研效率等方面的需求。

(本网站所有内容,凡注明来源为“医脉通”,版权均归医脉通所有,未经授权,任何媒体、网站或个人不得转载,否则将追究法律责任,授权转载时须注明“来源:医脉通”。本网注明来源为其他媒体的内容为转载,转载仅作观点分享,版权归原作者所有,如有侵犯版权,请及时联系我们。)