滑膜软骨瘤病(SC)是一种以滑膜或关节囊内软骨结节形成为特征的疾病,临床中需区分原发性与继发性两类,前者多无系统性炎症表现,病理以化生软骨形成为主;后者常继发于其他关节疾病,其发生与基础疾病引发的关节内慢性炎症、组织损伤相关。类风湿关节炎(RA)是常见的自身免疫性关节病,典型表现为多关节受累、晨僵及自身抗体(如类风湿因子RF、抗环瓜氨酸肽抗体抗-CCP)阳性,常伴随炎症标志物(血沉ESR、C反应蛋白CRP)升高,长期可致关节骨侵蚀、功能障碍。
既往研究显示,RA继发SC的病例报道较少,且患者发病年龄多集中于49.38±12.21岁,RA病程平均达9.96±4.89年,临床认知中多认为SC在RA患者中好发于病程长的中老年群体,年轻患者早期RA合并SC的情况尚未见报道。此外,SC的发病机制尚未完全明确,有研究指出机械应力(如创伤)可能是其发生的促进因素之一,而RA患者本身存在关节内炎症与结构异常,创伤是否会进一步增加RA继发SC的风险,仍需更多病例验证。
一、患者基础信息
28岁女性患者,因右膝关节疼痛进行性加重2个月就诊,伴关节肿胀及活动受限。
1年前,该患者被诊断为非典型RA,初始表现为单纯右膝关节受累,同时实验室检查显示高滴度类风湿因子(RF)、抗环瓜氨酸肽(抗-CCP)抗体阳性,血沉(ESR)升高。此后,患者不规则服用甲氨蝶呤(MTX),每周12.5mg。值得注意的是,因胃肠道不耐受,患者停用甲氨蝶呤4个月,随后疾病出现明显加重。就诊前1个月,患者重新启动甲氨蝶呤治疗,剂量增至每周15mg,但临床疗效仍不理想。患者无发热、体重下降、乏力、食欲减退等全身症状。
二、临床检查结果
(一)体格检查
(二)实验室常规检查
炎症标志物显著升高,其中血沉为54mm/h,C反应蛋白(CRP)为28.9mg/L;此外,还检测到高滴度类风湿因子(1701 IU/mL)及抗环瓜氨酸肽抗体(202 RU/mL)。基于28个关节的疾病活动评分(DAS28-CRP)为4.74分,提示疾病处于中度活动期。
(三)影像学检查
1. X线检查(右膝关节)
存在关节旁骨质疏松、多发骨侵蚀,且关节内可见游离体(图1A、B),提示关节结构破坏及异常组织形成。
2. 磁共振成像(MRI,右膝关节)
明显关节积液、显著滑膜增生,股骨远端及胫骨近端存在多发软骨下骨髓水肿(图1C、E)。
髌上囊、髌下囊及膝关节后方可见多发圆形或椭圆形结节,多数结节在各序列上信号强度与骨组织一致,提示骨化(图1D、F)。

图1 术前的影像学资料
右膝关节影像学评估显示典型特征:前后位(A)和侧位(B)X线片均可见关节旁骨质疏松、多发骨侵蚀及关节内游离体(箭头所示)。后续磁共振成像(MRI)检查中,脂肪抑制T2加权序列(C、E)和T1加权序列(D、F)均显示关节内存在多发游离体(箭头所示)。
(四)手术与病理检查
1. 关节镜手术
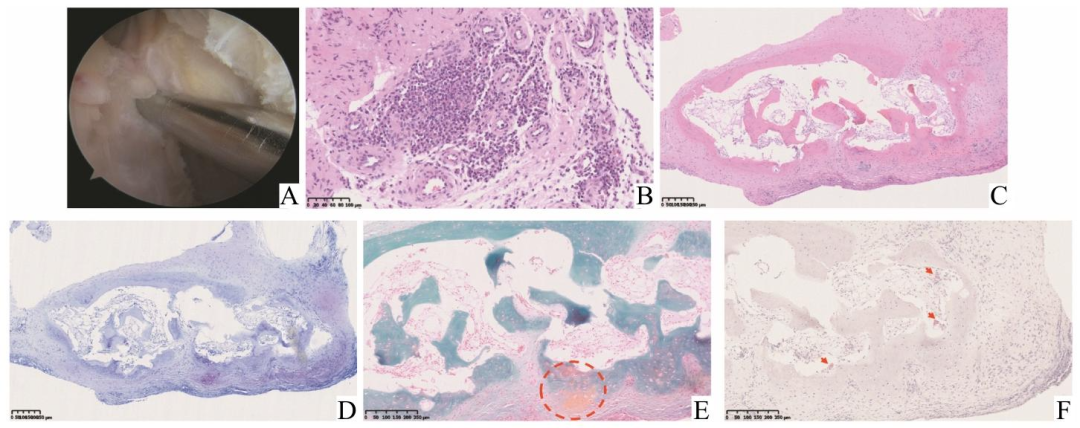
患者接受了关节镜下滑膜切除术。术中关节镜检查显示,右膝关节腔内广泛滑膜增生,且存在滑膜包裹性结节(图2A)。
2. 病理检查(切除组织)
滑膜组织:可见明显纤维素样渗出及炎症细胞浸润(图2B,HE染色)。
结节组织:
HE染色、甲苯胺蓝染色显示骨化的骨细胞及骨小梁(图2C、D)。
番红O-固绿染色可见未骨化的软骨细胞(图2E)。

(A)关节镜下所见,可见软骨瘤病的特征性病灶。采用多种染色技术进行组织病理学评估:苏木精-伊红染色(H&E染色)(B、C)、甲苯胺蓝染色(D)、番红O-固绿染色(E)及TRAP染色)(F)。显微镜检查显示边界清晰的未矿化软骨结节,其中圆形区域为未骨化软骨细胞簇。值得注意的是,在软骨结节中观察到TRAP阳性的多核破骨细胞(箭头所示)。
三、诊断
确诊结果:非典型RA继发滑膜软骨瘤病。
非典型RA诊断:1年病史,初始单纯右膝关节受累,高滴度RF、抗-CCP阳性,ESR、CRP升高,DAS28-CRP提示疾病活动,符合RA诊断标准且表现“非典型”(仅单关节受累,无全身症状)。
滑膜软骨瘤病(继发于RA)诊断:
影像学:X线见关节内游离体,MRI示滑膜增生、关节内骨化结节;
病理:滑膜炎症、结节内骨细胞/骨小梁、未骨化软骨细胞及TRAP阳性破骨细胞;
鉴别要点:排除原发性滑膜软骨瘤病(无全身炎症、无自身抗体阳性,无法解释患者RA相关表现),结合家族史、RA病史及术后指标变化,确诊为“继发于RA的滑膜软骨瘤病”。
四、治疗方案与随访

图3 术后1年的影像学资料
关键诊断难点
本例诊断的核心挑战在于区分滑膜软骨瘤病(SC)的类型。仅依靠组织病理学表现无法明确鉴别,需结合多维度证据综合判断:
影像学特征:患者存在关节旁骨质疏松、多发骨侵蚀及骨髓水肿,符合类风湿关节炎(RA)相关关节病变特点,为“继发性”提供依据;
实验室指标动态变化:滑膜切除术前术后,患者自身抗体(RF、抗-CCP)水平及炎症标志物(ESR、CRP)的变化,与RA病情活动度相关,支持SC继发于RA;
家族史:患者母亲患干燥综合征、祖母患RA,存在自身免疫病家族易感性,进一步提示SC与自身免疫背景相关。
而原发性SC的病理生理特征为单纯化生软骨形成,无系统性炎症,无法解释本例患者的血清自身免疫异常、关节外表现及进行性关节破坏,故最终倾向诊断为“非典型RA继发SC”。
打破既往认知
年龄与病程突破:截至目前,尚无年龄低于30岁的RA继发SC病例报道。既往研究显示,此类患者平均发病年龄为49.38±12.21岁,RA平均病程为9.96±4.89年;而本例患者仅28岁,RA病程仅1年,表明RA合并SC并非仅见于长病程中老年患者,年轻患者疾病早期也可能发生。
临床警示作用:提示临床医生,当RA患者(尤其年轻患者)疾病早期出现大关节反复肿胀、疼痛时,需警惕继发性SC的可能,避免因年龄或病程局限漏诊。
发病机制相关发现与探讨
机械应力的潜在作用:SC确切发病机制尚未完全明确,有研究指出创伤引起的机械应力可能为诱发因素。本例患者关节炎发作前曾有右膝关节跌倒外伤史,提示机械应力在RA继发SC中的作用值得进一步研究。
病理新发现挑战传统观点:病理检查发现SC结节内存在破骨细胞,提示结节存在类似正常骨组织的动态重塑过程。该发现不仅为继发性SC发病机制研究提供了基础,还对“SC为自限性疾病”的传统观点提出挑战。
总结与诊疗建议
即使在疾病早期,年轻RA患者也可能发生继发性SC,表现为大关节反复肿胀、疼痛,且RA与SC的共存可能比以往认知更普遍。临床需通过综合评估患者临床表现、影像学特征及病理学表现,实现继发性SC的准确诊断与个体化治疗,以优化疗效、改善患者诊疗结局。

医脉通是专业的在线医生平台,“感知世界医学脉搏,助力中国临床决策”是平台的使命。医脉通旗下拥有「临床指南」「用药参考」「医学文献王」「医知源」「e研通」「e脉播」等系列产品,全面满足医学工作者临床决策、获取新知及提升科研效率等方面的需求。

(本网站所有内容,凡注明来源为“医脉通”,版权均归医脉通所有,未经授权,任何媒体、网站或个人不得转载,否则将追究法律责任,授权转载时须注明“来源:医脉通”。本网注明来源为其他媒体的内容为转载,转载仅作观点分享,版权归原作者所有,如有侵犯版权,请及时联系我们。)