患者男性,60岁,因剧烈
生命体征:血压126/91 mmHg,心率104次/分钟,未吸氧状态下血氧饱和度为 98%。体格检查发现,右上腹有一处无压痛、不可复位且可触及的隆起。行计算机断层扫描,如图1和图2所示。

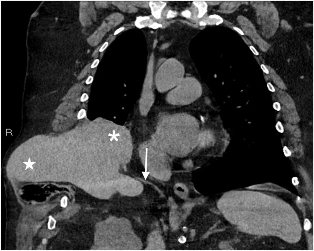
图1:胸部对比增强计算机断层扫描(冠状位)显示肝脏(星号标示)经胸壁和膈肌疝入胸膜腔(*号标示)。右侧半膈用白色箭头标出。

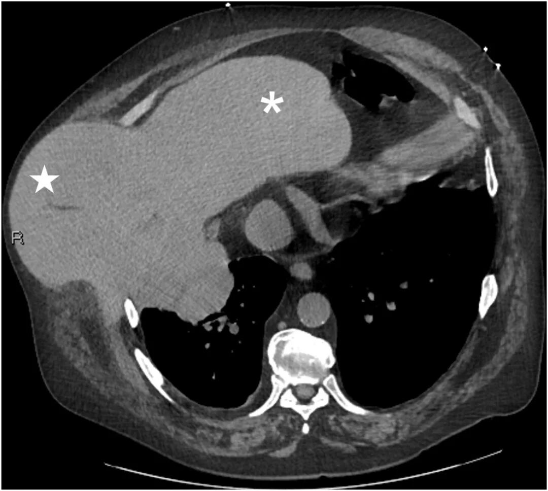
图2:胸部对比增强计算机断层扫描(轴位)显示肝脏(星号标示)经胸壁和膈肌疝入胸膜腔(*号标示)。
诊断:腹壁肝疝。
讨论:
肝疝是一种因腹壁缺损或薄弱而导致的罕见病症。其病因是胸腹压力急剧升高,例如由重体力劳动和咳嗽引起。据报道,肝疝可发生于腹部
患者通常表现为局部疼痛、恶心和
轻度病例可采用观察和支持性治疗。对于难以耐受的疼痛、嵌顿或有并发症风险者,则需行手术治疗。若存在显著的腹壁缺损,外科矫正手术可能涉及网片加固术。
(本网站所有内容,凡注明来源为“医脉通”,版权均归医脉通所有,未经授权,任何媒体、网站或个人不得转载,否则将追究法律责任,授权转载时须注明“来源:医脉通”。本网注明来源为其他媒体的内容为转载,转载仅作观点分享,版权归原作者所有,如有侵犯版权,请及时联系我们。)