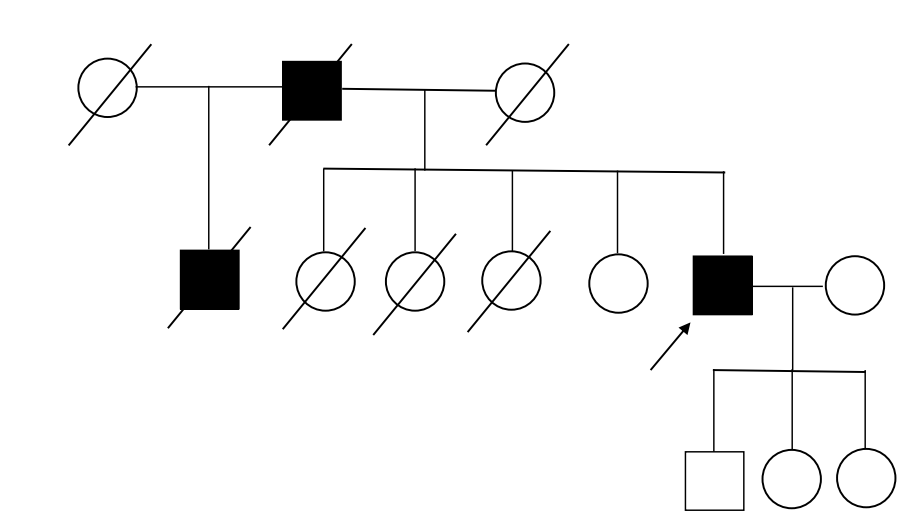
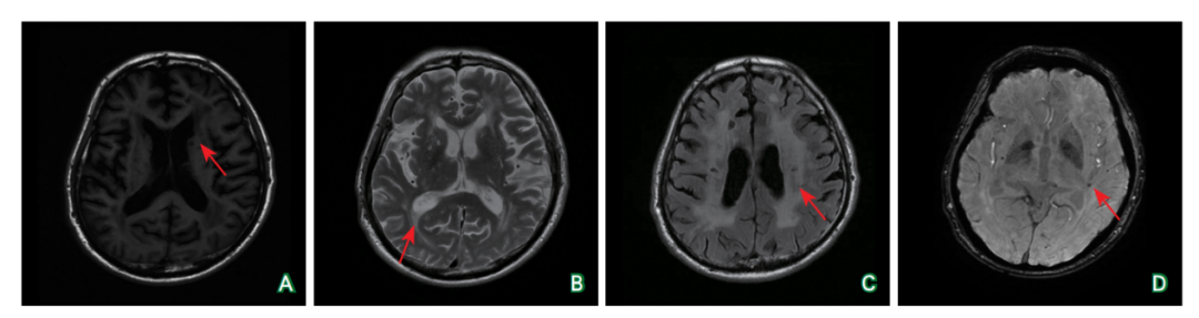
医脉通-临床病例平台 患者男性,67岁。主因“头晕1天,视物不清20小时”于2022年4月25日入院。患者入院前1天无明显诱因出现头晕,伴左侧视物不清、恶心,无 既往史: 入院查体:左上臂血压126/71 mmHg(1mmHg=0.133kPa)、右上臂血压132/70 mmHg,心率54次/分,律齐。神清语利;定向力、记忆力正常,计算力、判断力减退;颈软,Kernig征阴性;双侧瞳孔等大等圆,对光反射灵敏,眼球各方向活动正常,眼震未见异常,左侧视野同向偏盲;双侧额纹、鼻唇沟对称,伸舌居中;四肢肌张力正常,肌力Ⅴ级,共济稳准;感觉系统未见异常;四肢肌腱反射对称(++),双侧Babinski征(+),双侧掌颌反射(+)。NIHSS评分2分。 实验室检查(2022-04-26):空腹血糖7.3 mmol/L↑、 影像学检查:头颈部CTA(2022-04-26)示双侧颈总动脉、颈内动脉、颈外动脉、锁骨下动脉及无名动脉显示清晰,未见有意义狭窄或局限性扩张;双侧椎动脉均衡供血,走行自然,显示清晰,未见狭窄及局限性扩张;双侧大脑前动脉、大脑中动脉、大脑后动脉及基底动脉走行分布正常,未见明显狭窄;大脑前交通动脉可见显示,后交通动脉未见开放(图1B)。回顾既往影像检查,头颅MRI和SWI(2022-04-03)示双侧额叶皮质下、顶叶皮质下、颞叶皮质下、枕叶皮质下、半卵圆中心、侧脑室旁白质以及基底节区见多发点片状等/稍长T1信号、稍长T2信号,FLAIR为高信号;双侧额叶、顶叶、颞叶、基底节区、丘脑可见SWI低信号(图4)。MMSE评分25分,MoCA评分16分。 诊疗经过:入院后给予20 %甘露醇125 mL静脉输注,1次/8小时;0.9 %氯化钠溶液500 mL+15%氯化钾10 mL静脉输注,1次/日;继续服用二甲双胍,500毫克/次,3次/日;停用阿司匹林和阿托伐他汀。5月16日查体:左侧视野同向偏盲,双侧Babinski征(+),双侧掌颌反射(+)。NIHSS评分2分。复查头颅CT(2022-05-16)示右侧枕叶团片状稍高密度影,较4月25日头颅CT密度明显减低,周围环绕脑组织低密度改变(图1C)。遂出院,门诊随诊。 A:头颅CT(2022-04-25)示右侧枕叶多发团片状高密度影,周围环绕脑组织水肿(箭头所示);B:头颈部CTA(2022-04-26)示颅内外动脉未见明显狭窄及局限性扩张;C:头颅CT(2022-05-16)示右侧枕叶团片状稍高密度影,周围环绕脑组织低密度改变,较4月25日明显好转(箭头所示)。 图1 头颅CT平扫及头颈部CTA扫描结果 黑色箭头所示为先证者(患者);患者父亲、1个同父异母的哥哥有偏头痛病史并均已去世。 图2 患者的偏头痛家系 基因检测提示c.1774C>T杂合突变(红色圆圈所示) 图3 NOTCH3基因检测 A:T1WI序列双侧皮质下、侧脑室旁白质及基底节区可见多发点片状稍长T1信号(箭头所示);B:T2WI序列上述部位可见多发点片状稍长T2信号(箭头所示);C:FLAIR序列脑室旁、皮质下白质可见点片状高信号(箭头所示);D:SWI序列双侧额叶、顶叶、颞叶、基底节区、丘脑可见低信号(箭头所示)。 图4 头颅MRI平扫结果(2022-04-03) 患者最终诊断是什么?其常见临床表现有哪些?其并发脑出血的危险因素都有哪些? (查看原文参与互动讨论)
病例介绍





(本网站所有内容,凡注明来源为“医脉通”,版权均归医脉通所有,未经授权,任何媒体、网站或个人不得转载,否则将追究法律责任,授权转载时须注明“来源:医脉通”。本网注明来源为其他媒体的内容为转载,转载仅作观点分享,版权归原作者所有,如有侵犯版权,请及时联系我们。)