血栓栓塞性疾病的发生多与明确高凝状态、血管损伤、血流淤滞等危险因素相关,临床中规范抗凝后仍反复发作者,需警惕非经典病因所致的血管病变。Hughes-Stovin综合征(HSS)作为一种极罕见的特发性
病例介绍
一、患者基本信息
患者为36岁男性,既往有下腔静脉血栓形成及复发性肺栓塞病史,因
患者首次诊断下腔静脉血栓为2022年12月,当时表现出类似的发热等症状,予
二、入院检查
体格检查
体温39.6℃(高热),心率108次/分,血压120/68mmHg,呼吸频率16次/分;神志清楚,无明显痛苦面容,仅表现为
无
辅助检查
胸部增强CT:可见新发、多发的肺动静脉扩张伴动脉瘤样改变,且存在原位血栓形成,伴肺动脉分支周围散在软组织增厚(2023.11.03)。

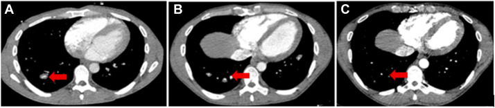
图 1 A:治疗前可见肺动脉分支周围散在血管旁软组织增厚,伴多发微小动脉瘤形成,高度提示血管炎改变。 B:使用
炎症标志物显著升高:C反应蛋白(CRP)150mg/dL,红细胞沉降率(ESR)144mm/h;
高凝状态相关检查(IgG/IgM
自身免疫血清学检查(抗核抗体、抗中性粒细胞胞浆抗体)均阴性;
肾活检:提示轻度肾小球微血管病、急性肾小管损伤,无血管炎证据;
骨髓活检:骨髓增生活跃,三系造血正常,无异形性及原始细胞增殖;
流式细胞术:未检测到异常原始细胞群。
三、最终诊断
Hughes-Stovin综合征(HSS)
核心诊断特征:
病例讨论
Hughes-Stovin综合征是一种极罕见的血管炎疾病,以复发性静脉血栓栓塞、持续性全身炎症、反复发热及肺动静脉动脉瘤形成为核心表现,可进展为复发性肺栓塞甚至危及生命的大咯血,少数病例可出现支气管及体动脉动脉瘤。
该疾病与
疾病典型临床病程分为三期:血栓性静脉炎→肺动脉瘤形成(伴/不伴血栓)→动脉瘤破裂致大咯血,初期血栓性静脉炎常被误诊为特发性肺栓塞/深静脉血栓。
治疗原则
临床病程
初始诱导治疗
患者予大剂量糖皮质激素静脉冲击,后续门诊逐步减量,联合每月环磷酰胺静脉输注诱导治疗,同时予治疗剂量依诺肝素抗凝(考虑患者反复肺血栓事件,且无高风险动脉瘤特征)。
治疗后数周内,患者体温快速恢复正常,炎症标志物降至正常,咯血症状完全缓解;治疗6个月后胸部CT复查,肺动脉瘤的大小及数量均较前改善,仅下叶仍见小动脉瘤,血管周围炎症较前缓解(2024.09.29)。
难治性病情处理
初始治疗9个月后,患者虽规律行免疫抑制治疗,仍再次出现发热、盗汗,且新发右下肢血栓,考虑为难治性Hughes-Stovin综合征,入院后予英夫利昔单抗静脉输注治疗,治疗后患者症状快速改善。
英夫利昔单抗治疗6个月后胸部CT复查:肺动脉血管周围增厚及动脉瘤样改变完全消退(2025.04.28);后续予英夫利昔单抗维持剂量输注联合全剂量抗凝治疗9个月,患者未再出现症状复发及新的咯血事件。
炎症标志物变化趋势
患者确诊后初始使用糖皮质激素+环磷酰胺,CRP、ESR呈快速下降趋势;疾病复发时,炎症标志物再次升高;换用英夫利昔单抗后,CRP、ESR逐步降至正常并维持,与临床症状改善一致。
➤对于年轻患者,若出现无明确高凝状态的反复血栓栓塞、全身炎症症状及肺动脉瘤,需将Hughes-Stovin综合征纳入鉴别诊断。
➤疾病经典的“血栓性静脉炎-肺动脉瘤-动脉瘤破裂大咯血”三期病程,可为诊断和治疗决策提供重要临床思路。
➤环磷酰胺仍是Hughes-Stovin综合征诱导治疗的基石,肿瘤坏死因子抑制剂为难治性病例的重要治疗选择。
➤抗凝治疗的使用需严格平衡血栓与出血风险,多学科协作管理有助于优化患者预后。
➤早期免疫抑制治疗是降低疾病致死率、避免严重并发症的核心措施。
参考文献:Mitchell S, Rojas OG, Mathavan A, Mathavan A, Ataya A. A 36-Year-Old Man With Hemoptysis and Fevers. Chest. 2026;169(2):e51-e54. doi:10.1016/j.chest.2025.09.016

(本网站所有内容,凡注明来源为“医脉通”,版权均归医脉通所有,未经授权,任何媒体、网站或个人不得转载,否则将追究法律责任,授权转载时须注明“来源:医脉通”。本网注明来源为其他媒体的内容为转载,转载仅作观点分享,版权归原作者所有,如有侵犯版权,请及时联系我们。)