患儿,女,2岁,因腹痛2周、全身多发皮肤结节1周就诊。
体格检查显示患儿烦躁,双下肢、大腿、腹部及背部散在多个0.5-1 cm大小的触痛性红斑结节,无溃疡或渗出(图1)。

图1 (A)腿部可见红斑结节性
基础检查显示中性粒细胞性白细胞增多、C反应蛋白升高及

图2 (A)CT扫描显示急性坏死性胰腺炎,实质被大片坏死组织取代(黄色箭头)。(B)CT扫描显示腹部两侧显著的皮下脂肪坏死(黄色箭头)
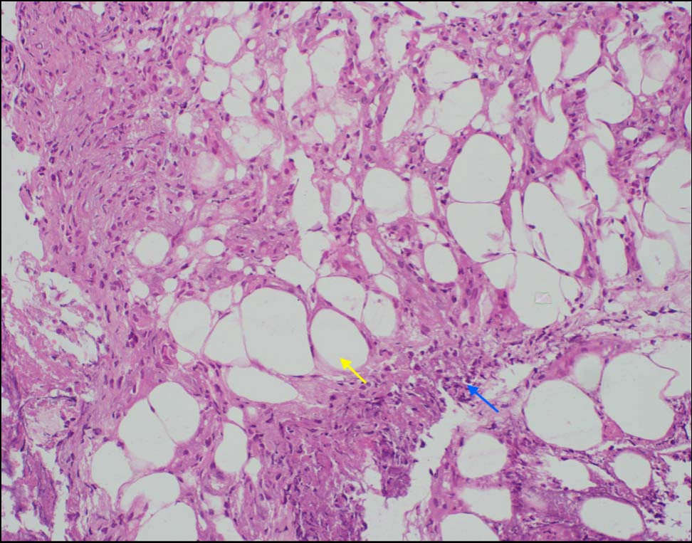
皮肤活检显示中心脂肪坏死,周围可见中性粒细胞及细胞变性产物,符合间隔性脂膜炎表现,无
患儿最初予静脉补液及镇痛治疗,随后开始
胰腺性脂膜炎是指由潜在胰腺疾病引起的皮下脂肪组织炎症。
与本病相关的常见实验室异常包括C反应蛋白和脂肪酶升高,本例患儿均存在。组织病理学检查结合胰腺受累的背景证据可确诊胰腺性脂膜炎。Ball等提出胰腺性脂膜炎可能以间隔性脂膜炎起病,后期才发展为小叶受累。主要特征为小叶性脂膜炎,即以脂肪小叶为中心的炎症区域。另一特征为存在“鬼影细胞”,即脂肪细胞失去细胞核,转变为内含细颗粒物质的蓝灰色胞浆,呈厚壁样外观。本例患儿主要为间隔性脂膜炎(图3),伴小叶性脂膜炎灶。

图3 组织病理学显示脂肪细胞(黄色箭头),主要表现为间隔性脂膜炎,其特征为脂肪细胞周围的纤维间隔内有炎性浸润物沉积(蓝色箭头)
胰腺性脂膜炎的治疗通常为支持性治疗,应以控制基础胰腺疾病为主。随着
综上,儿童胰腺性脂膜炎虽罕见,但需重视该疾病的认识,以避免误诊或延误诊断。基础胰腺炎的治疗通常可使该疾病得到缓解。
参考文献:
1. Aravind A, Ishran B, Poddar U, et al. Pediatric Pancreatic Panniculitis: An Uncommon Manifestation of Acute Pancreatitis. ACG Case Rep J. 2025 May 2;12(5):e01696. doi: 10.14309/crj.0000000000001696.
医脉通是专业的在线医生平台,“感知世界医学
本平台旨在为医疗卫生专业人士传递更多医学信息。本平台发布的内容,不能以任何方式取代专业的医疗指导,也不应被视为诊疗建议。如该等信息被用于了解医学信息以外的目的,本平台不承担相关责任。本平台对发布的内容,并不代表同意其描述和观点。若涉及版权问题,烦请权利人与我们联系,我们将尽快处理。

(本网站所有内容,凡注明来源为“医脉通”,版权均归医脉通所有,未经授权,任何媒体、网站或个人不得转载,否则将追究法律责任,授权转载时须注明“来源:医脉通”。本网注明来源为其他媒体的内容为转载,转载仅作观点分享,版权归原作者所有,如有侵犯版权,请及时联系我们。)