
He Y, Liu H, Liu Y, Han Y, Fan C, Wu Y, et al. Clinical Characteristics and Outcomes of Portal Vein Thrombosis in Patients with Porto-sinusoidal Vascular Disease: A Cohort Study. J Clin Transl Hepatol. 2025;13(10):825-834. doi: 10.14218/JCTH.2025.00093.
该队列共纳入 169 例经肝组织学确诊的PSVD患者(图1)。所有患者均接受增强

图1 患者纳入排除流程图
在基线时,共有 45 例(26.6%)患者合并 PVT。根据Yerdel 分级(图2),其中Ⅰ级 10 例(22.2%)、Ⅱ级 17 例(37.8%)、Ⅲ级 2 例(4.4%)、Ⅳ级 6 例(13.3%)。另有 10 例患者的血栓仅局限于门静脉、脾静脉或肠系膜上静脉分支,故未纳入 Yerdel 分级。

图2 门静脉血栓的Yerdel分级示意图及影像学表现
与未合并 PVT 的患者相比,合并 PVT 的 PSVD 患者中位年龄更高(55 [48-61] vs. 49 [34-59] 岁,p 表1),性别分布差异无统计学意义;合并PVT 患者
表1 合并与未合并门静脉血栓PSVD患者基线人口学、临床及实验室特征比较


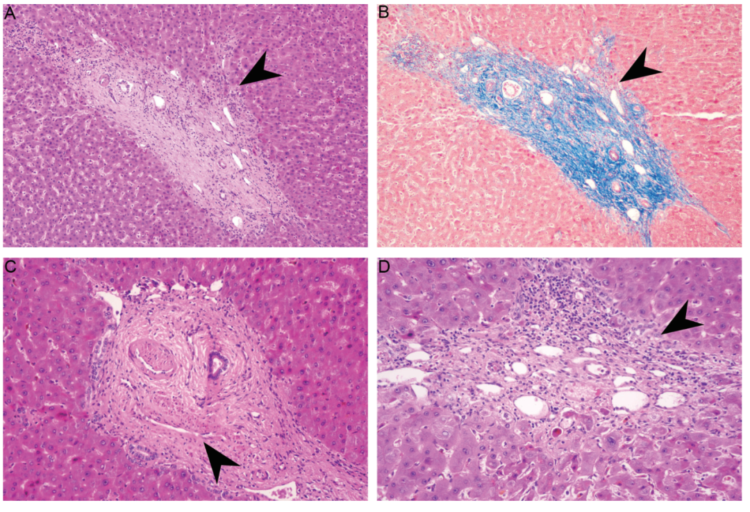
图3 PSVD合并PVT患者的代表性组织学特征(女,56岁)
A:苏木精-伊红(HE)染色显示闭塞性门静脉病变(OPV)(×100,黑色箭头);B:Masson染色显示OPV(×100,黑色箭头);C:HE染色切片在高倍放大下显示OPV(×200,黑色箭头);D:HE染色显示门静脉壁增厚(黑色箭头)。
在中位 40.1(23.4–62.3)个月的随访期间,合并 PVT 与未合并 PVT 患者的无肝移植死亡率分别为 7.9%(3/38)和 1.8%(2/112),差异无统计学意义(log-rank,p = 0.110;图4A)。亚组分析显示,Yerdel Ⅰ级 PVT 患者的死亡率显著高于非 PVT 患者(22.2%,2/9 vs. 1.8%,2/112;log-rank,p = 0.006;图4B)。

图4 PSVD患者合并PVT及Yerdel Ⅰ级PVT的Kaplan-Meier生存曲线
共有 41 例 PSVD 患者在基线后 ≥6 个月接受了第二次增强 CT/MRI 复查。其中,11 例基线合并 PVT 的患者中,3 例接受了抗凝治疗(1 例低分子
基线特征分析提示合并 PVT 的患者表现出更严重的门静脉高压,更常见静脉曲张出血、腹水和高风险静脉曲张,同时,肝合成功能也更差,表现为白蛋白和
此外,合并 PVT 的患者更常伴有血液系统疾病或高凝状态,如骨髓增生性疾病、自身免疫疾病,以及抗凝血酶Ⅲ缺乏等。这些因素可能通过改变血流动力学和血管内环境,促进血栓形成。病理学结果也显示,合并 PVT 的患者更常见门静脉壁增厚和结节性再生性增生,提示这些结构改变可能与血栓形成相关。
在预后方面,本研究病死率为 3.3%,低于既往研究报道。但合并 PVT 的患者表现出更高的死亡风险趋势,虽然未达到统计学显著性。随访中,大多数 PVT 患者血栓持续存在,少数经过抗凝治疗的患者PVT消失或改善。同时,我们观察到部分未合并 PVT 的患者在使用NSBBs后出现新发血栓,值得临床进一步重视NSBB等药物对血栓形成的潜在影响。
投稿:2025年2月28日;修回:2025年7月5日;接受:2025年7月29日;上线:2025年8月27日

主任医师,教授,博士研究生导师,首都医科大学附属北京佑安医院消化中心主任,消化病学系副主任;
北京市高层次创新创业人才计划医药卫生领军人才;新世纪百千万人才工程市级人选;北京市科技新星。现兼任中华医学会肝病分会委员,中国研究型医院学会肝病专业委员会执行主任,中国医师协会消化分会肝病专业副主任;北京医学会消化内镜学分会常委,北京医学会肝病学分副主任委员等;
主要从事肝脏疾病和消化道疾病的临床诊治与研究。担任多项国家及北京市重大科技计划、国际合作项目的课题负责人;获得多项国家级和北京市级科技进步奖;主持或参与国际及国内指南/共识近10部。近5年来,发表相关论文60余篇,其中SCI收录30余篇,总IF近120分。

梁雪莹
首都医科大学附属北京佑安医院肝病消化中心主治医师。主要专业领域是门静脉高压并发症相关诊治。近5年来,发表相关SCI论文1篇,中文综述1篇。

何杨兰
首都医科大学附属北京佑安医院肝病消化中心住院医师。主要专业领域是门静脉高压并发症相关诊治。发表相关SCI论文10余篇。
来源:华誉学术
医脉通是专业的在线医生平台,“感知世界医学
本平台旨在为医疗卫生专业人士传递更多医学信息。本平台发布的内容,不能以任何方式取代专业的医疗指导,也不应被视为诊疗建议。如该等信息被用于了解医学信息以外的目的,本平台不承担相关责任。本平台对发布的内容,并不代表同意其描述和观点。若涉及版权问题,烦请权利人与我们联系,我们将尽快处理。

(本网站所有内容,凡注明来源为“医脉通”,版权均归医脉通所有,未经授权,任何媒体、网站或个人不得转载,否则将追究法律责任,授权转载时须注明“来源:医脉通”。本网注明来源为其他媒体的内容为转载,转载仅作观点分享,版权归原作者所有,如有侵犯版权,请及时联系我们。)