
患者男性,26 岁。主因入院前约 1 小时出现
患者的个人、家庭、医疗和手术史无异常。否认近期有外伤或剧烈运动史,自述就诊前三天仅出现渐进性疲劳,直至最后出现晕厥,且与外伤无关。
体格检查未见明显异常。实验室检查结果显示白细胞计数 14.9×10⁹/L,中性粒细胞占比 6.3%,淋巴细胞占比 52.5%,血小板 135×10⁹/L,C反应蛋白 15.4 mg/L。
入院大约1小时后,患者出现突发性血流动力学恶化,伴有
床旁快速创伤超声重点评估(FAST)超声检查提示,脾周间隙及道格拉斯窝可见游离液体,同时合并包膜下血肿及脾肿大。患者出现失血性
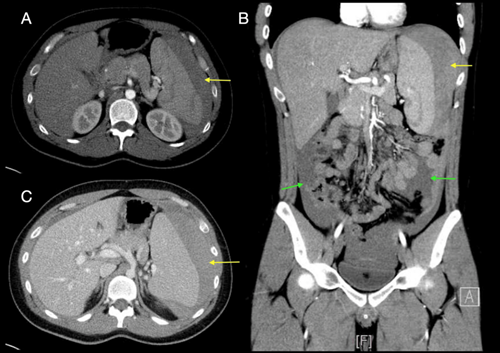
腹部 CT 增强扫描(图1)显示腹腔积血,脾肿大(直径16cm),脾损伤分级为V级(AAST 标准),以脾脏碎裂为特征。

(图1
考虑到患者淋巴细胞增多、脾肿大和脾破裂共存,即使在没有外伤或
结合患者血流动力学不稳和影像学表现,行脾脏切除手术,切除样本送组织
病理组织学检查结果符合急性 EB 病毒相关性反应性淋巴组织增生及血管淤血,支持诊断为急性 EB 病毒感染继发非创伤性脾破裂。

由 EB 病毒感染引起的传染性单核细胞增多症(IM)通常是一种自限性疾病,在几周到几个月内消退,没有长期后遗症。感染者常有外周血淋巴细胞增多,包括异型淋巴细胞的比例增加,以及淋巴结肿大、
本例患者为 EB 病毒感染引起的非外伤性脾破裂 (ASRs),即使在没有 IM 前体症状的情况下也可能发生,并可能导致临床迅速恶化,如果不及时诊断,可能会造成潜在的致命性危险。
自发性脾破裂多发生于病理性脾脏,如传染性疾病、血液系统疾病、肿瘤、脾脏占位性病变等,这些疾病导致脾破裂的共同病理基础时单核巨噬细胞系统被激活,使得脾脏肿大和脆性增加。而脾破裂是一种罕见且可能危及生命的 IM 的并发症,约70%的患者为男性,通常在30 岁以下,一半以上为自发性,无具体损伤病史。
ASR 的鉴别诊断具有挑战性,在出现晕厥和突发性血流动力学不稳定的患者中,应考虑 ASR。超声检查通常是一线成像方式,而对比增强计算机断层扫描(CT)仍然是诊断的金标准,可提供 AAST 分级,指导血流动力学稳定与不稳定患者的管理决策。
IM 中ASR 的处理与外伤性脾破裂相似。目前的 WSES 指南推荐对血流动力学不稳定的患者、高度脾损伤患者、持续出血患者或因资源有限而无法栓塞的患者行脾切除术。本例患者表现为高级别(AAST分级为 V 级)脾损伤,需要紧急手术治疗。
综上,ASR 是一种罕见但可能致命的 EB 病毒感染并发症。虽然大多数病例表现为 IM 的典型症状,但在极少数情况下,自发性脾破裂可能是 EB 病毒感染的唯一初始表现,如本病例所示。这强调了即使在没有典型症状的情况下,对出现不明原因腹腔出血或休克的年轻成人保持高度怀疑 EB 病毒相关 ASR 的重要性。
参考资料:
1.Coppola A, Apostolou M, , et al. (March 26, 2026) Atraumatic Splenic Rupture as the Sole Manifestation of Infectious Mononucleosis: A Case Report and Literature Review. Cureus 18(3): e105885.
2.王雯舒,杨桂彬.EB病毒感染所致自发性脾破裂1例报道并文献复习[J].胃肠病学和肝病学杂志,2022,31(01):82-84.
(本网站所有内容,凡注明来源为“医脉通”,版权均归医脉通所有,未经授权,任何媒体、网站或个人不得转载,否则将追究法律责任,授权转载时须注明“来源:医脉通”。本网注明来源为其他媒体的内容为转载,转载仅作观点分享,版权归原作者所有,如有侵犯版权,请及时联系我们。)