
医脉通-临床病例平台
患者男,65岁,有慢性
体格检查:全腹部压痛、反跳痛、肌肉紧张,伴移位性浊音,
实验室检查:轻度
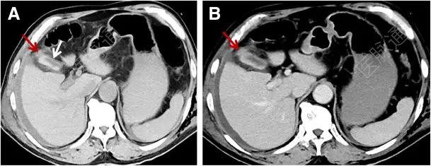
随后行腹部增强CT以进一步评估,CT图像如图A、B所示。
图A、B
患者最可能的诊断结果为?
欢迎到医脉通病例平台发表你的观点,共同讨论病例~
点击【阅读原文】直达病例原帖!
医脉通是专业的在线医生平台,“感知世界医学

(本网站所有内容,凡注明来源为“医脉通”,版权均归医脉通所有,未经授权,任何媒体、网站或个人不得转载,否则将追究法律责任,授权转载时须注明“来源:医脉通”。本网注明来源为其他媒体的内容为转载,转载仅作观点分享,版权归原作者所有,如有侵犯版权,请及时联系我们。)