脂肪瘤是成人中较为常见的软组织肿瘤,但在儿童间叶组织肿瘤中占比不足10%。成人脂肪瘤通常生长缓慢且无痛。本文报道了一例青少年颈部巨大脂肪瘤病例,展示了儿童巨大脂肪瘤的快速生长及症状表现。推荐采用手术切除作为治疗方案。
一例青少年女孩因左侧颈部肿块增大就诊。
患者无其他健康问题,但曾于7年前接受过大腿脂肪瘤切除术,以及对手部血管瘤进行过活检。其家族史显著,有多名家庭成员患有乳腺癌。
约2个月前,患者曾就诊于家庭医生处,体格检查(包括全面的颈部淋巴结检查)未发现异常。1个月后,患者出现干咳症状,随后持续出现胸骨后隐痛。2周后,其运动教练发现患者左侧颈部肿胀,遂送至急诊科就诊,经诊断为上呼吸道感染并给予抗生素治疗,但症状未见好转。1周后,患者突发剧烈咳嗽痉挛伴呼吸困难、头晕及剧烈胸痛,遂前往急诊科就诊。
检查结果:
胸部X光片:未见异常;
颈部超声:左侧颈部探及巨大软组织肿块;
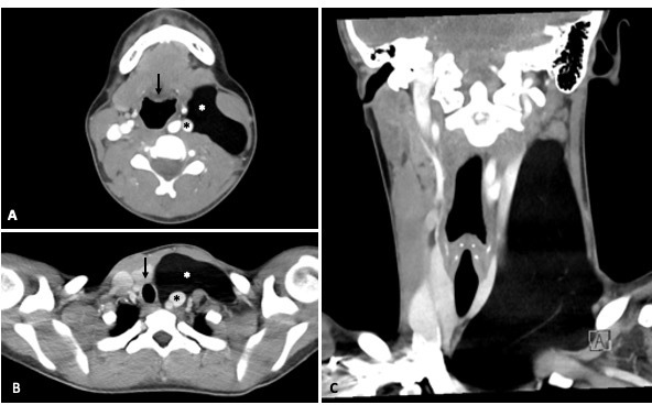
颈部及胸部CT扫描:左侧颈前三角区见一巨大脂肪密度肿块(3×6×15 cm),位于左颌下腺后方,胸锁乳突肌后内侧。该肿块从C3椎体延伸至上纵隔,导致咽部、喉部及气管向右侧移位。同时推移左侧颈内静脉和颈总动脉(未见明确血管受压征象),并对左侧甲状腺叶产生占位效应(图1)。

图1 脂肪瘤颈部CT扫描示意图。(A)轴位CT扫描显示脂肪瘤(白色星号)推移咽部(箭头)、左颈动脉及颈内静脉(黑色星号)。脂肪瘤位于胸锁乳突肌后内侧。(B)更低层面轴位显示脂肪瘤(白色星号)推移气管(箭头)、左颈动脉及颈内静脉(黑色星号)。(C)冠状位CT扫描显示脂肪瘤从C3椎体向上/向下延伸至上纵隔,同时再次观察到气管及血管向右侧移位。
患者随后被转诊至儿科外科医生处行进一步评估。
治疗:
鉴于肿块生长迅速、症状明显且邻近重要解剖结构,建议紧急切除。虽然考虑进行活检以获取病理信息,但考虑到可能延误对该肿块的最终治疗方案,且对儿童患者实施活检需麻醉,因此未予实施。
肿块经胸锁乳突肌前缘的斜切口切除。切开颈阔肌并向侧方牵开胸锁乳突肌后,肿块暴露良好(图2)。

图2 术中摘除原位脂肪瘤,头部在左,紫线标记胸骨切迹
仔细辨识并保护左侧迷走神经、颈总动脉及颈袢。沿包膜完整游离肿块,与周围结构无致密粘连。肿块完整摘除(包膜完整)并送病理检查。切口逐层缝合,未放置引流管。患者术后恢复顺利,无并发症,于术后第1天出院。
结果与随访:
术后3周随访,患者恢复良好,症状已消退,最终病理检查结果与良性脂肪瘤一致。
脂肪瘤在成人较为常见,但在儿童中仅占间叶组织肿瘤<10%。头颈部脂肪瘤在儿童中罕见,巨大脂肪瘤(>10cm或>1kg)更为罕见。与成人脂肪瘤缓慢、无症状生长不同,儿童巨大颈部脂肪瘤可表现为快速增大(本例在约1月内从体检未发现到巨大肿块)并导致明显症状(本例如咳嗽、胸痛、呼吸困难)。可通过多种影像学方法诊断巨大脂肪瘤,包括超声、CT和MRI,此外还可进行活检以帮助区分良性脂肪瘤和更具侵袭性的脂肪肉瘤或脂肪母细胞瘤。
成人头颈部巨大脂肪瘤通常通过手术切除治疗。在其他几例儿童巨大脂肪瘤的报道中,手术切除也是主要治疗方法。
参考文献:
1. Sardo AM, Wieck MM. Symptomatic giant lipoma of the neck in an adolescent. BMJ Case Rep. 2024 Dec 11;17(12):e263438. doi: 10.1136/bcr-2024-263438.
医脉通是专业的在线医生平台,“感知世界医学脉搏,助力中国临床决策”是平台的使命。医脉通旗下拥有「临床指南」「用药参考」「医学文献王」「医知源」「e研通」「e脉播」等系列产品,全面满足医学工作者临床决策、获取新知及提升科研效率等方面的需求。
本平台旨在为医疗卫生专业人士传递更多医学信息。本平台发布的内容,不能以任何方式取代专业的医疗指导,也不应被视为诊疗建议。如该等信息被用于了解医学信息以外的目的,本平台不承担相关责任。本平台对发布的内容,并不代表同意其描述和观点。若涉及版权问题,烦请权利人与我们联系,我们将尽快处理。

(本网站所有内容,凡注明来源为“医脉通”,版权均归医脉通所有,未经授权,任何媒体、网站或个人不得转载,否则将追究法律责任,授权转载时须注明“来源:医脉通”。本网注明来源为其他媒体的内容为转载,转载仅作观点分享,版权归原作者所有,如有侵犯版权,请及时联系我们。)