慢阻肺心血管风险评估新突破:CVRS联合CACS精准分层MACE风险
2026-04-02



慢性阻塞性肺疾病(COPD)患者发生主要不良心血管事件(MACE)的风险显著升高。慢性阻塞性肺疾病全球倡议(GOLD)推荐对COPD患者进行心血管疾病(CVD)评估。然而,GOLD并未给出具体的筛查手段使得许多COPD患者错失早期诊断干预的机会

临床用不同心血管风险评分(CVRS)预估未来MACE风险,但研究显示该评分在COPD患者中预测效果佳,且需根据患者特征、年龄个体化调整。相比之下,胸部低剂量CT(LDCT)可便捷、准确评估冠状动脉钙化,且具备经验证的视觉评分系统。后续研究证实,冠状动脉钙化评分(CACS)越高则COPD患者发生MACE风险增加,且CACS在检测严重冠状动脉疾病上具备更高的敏感性和特异性

研究者假设,将CVRS与CACS联合应用,能够更精准地评估稳定期COPD患者发生心血管事件的风险。为验证该假设,研究团队基于大型BODE队列开展了一项多中心研究,对患者进行了超8年的长期随访,相关研究结果发表于Chest杂志上。

图片

研究设计与方法

纳入基线完成胸部CT检查的患者,于门诊前瞻性入组,每年随访。COPD诊断符合GOLD指南:存在相应症状、吸烟史≥10包年、吸入400μg沙丁胺醇后FEV1/FVC<0.7。

入组标准:基线稳定≥8周、接受指南推荐的最优药物治疗。排除标准:合并其他重要呼吸系统疾病或恶性肿瘤、使用免疫抑制剂、无法完成LDCT检查。

所有患者均接受胸部CT检查,并记录临床、肺功能及实验室数据。分别计算CACS与CVRS(包括系统性冠状动脉风险评估2版SCORE2、老年版SCORE2‑OP、糖尿病版SCORE2-Diabetes、动脉疾病继发性表现SMART风险评分)。

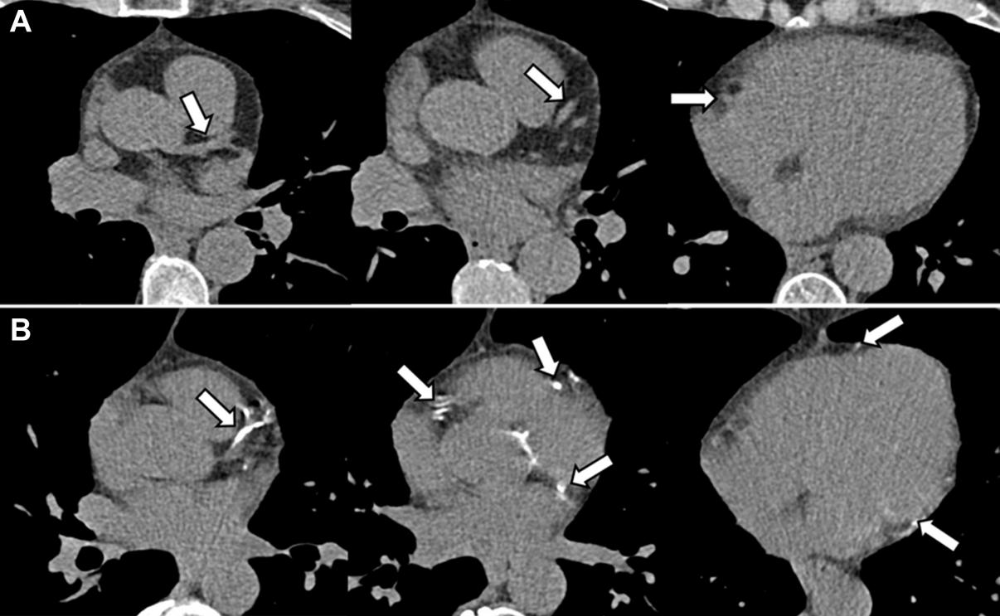
冠状动脉钙化是冠状动脉疾病的标志,研究采用序贯法CACS进行评估。4支冠状动脉的钙化评分范围为0~12分。

图片
图1:展示了CACS的计算方法,以及低风险和高风险CACS患者的示例

由于CACS为>3时MACE发生率更高,故将CACS分为两类:低(0-3)和中度至重度(4-12)。以心血管风险评分≥10%或冠状动脉钙化积分>3为界值,将患者分为4组:

  • Ⅰ组:CVRS<10%且CACS≤3
  • Ⅱ组:CVRS≥10%且CACS≤3
  • Ⅲ组:CVRS<10%且CACS>3
  • Ⅳ组:CVRS≥10%且CACS>3


中位随访时长98个月。采用回归分析与Kaplan‑Meier曲线比较各组风险,通过受试者工作特征(ROC)曲线评估CACS、CVRS及二者联合对MACE的预测准确性。

结果

患者基线特征


研究最终纳入549名患者,多为中年男性、轻度超重,近半数当前吸烟;以GOLD1~2级为主,BODE指数与查尔森合并症指数偏低,6分钟步行距离基本正常;糖尿病患病率低,高血压患病率高,CACS>3与CVRS≥10%比例较高。中位随访8年,24%发生MACE,28%死亡。基线低CVRS(<10%)患者341例,其中58例(17%)发生MACE,74例(22%)基线CACS>3。

不同GOLD分级的风险评分


图片
图2:各GOLD肺功能分期患者中CVRS≥10%或CACS>3的比例条形图

CVRS在各个肺功能组别中保持相对稳定,而CACS则随着气流阻塞严重程度的加重而升高。值得注意的是,GOLD1期和2期患者中MACE的发生比例较高,然而,无论是CVRS还是CACS,均未能充分反映这一较高的风险情况,该部分患者的MACE风险存在明显低估。

不同风险分组的MACE发生率


4组患者临床与生理特征存在差异。Ⅳ组(双指标异常,101例)年龄更大、女性更少、当前吸烟比例更高,肺功能更差,BODE指数、查尔森合并症指数更高,6分钟步行距离更短,糖尿病与高血压患病率更高,风险显著高于Ⅰ组(双指标正常,270例)。Ⅱ组(103例)与Ⅲ组(75例)多数指标介于Ⅰ、Ⅳ组之间,MACE与死亡率低于Ⅳ组、高于Ⅰ组。

KaplanMeier曲线显示(图3),随访98个月时Ⅳ组MACE风险达50%,为Ⅰ组(12%)的4倍以上;Ⅱ组与Ⅲ组MACE风险相近,组间差异有统计学意义(P≤0.01)。

图片
图3:显示了各风险组MACE发生率的Kaplan-Meier曲线

时间依赖ROC分析显示,CVRS与CACS单独预测效能相近(AUC差值0.034;P=0.283);二者联合AUC显著高于单独指标(较CACS:P=0.026;较CVRS:P=0.015)。

Cox回归显示,以Ⅰ组为参照,Ⅳ组MACE风险最高(HR=7.7;95%CI 4.9~11.9;P<0.001),Ⅱ、Ⅲ组风险亦显著升高但低于Ⅳ组。

讨论

此项多中心、长期随访研究证实,单独使用CVRS在COPD患者中预测准确性不足,容易低估心血管事件风险;而CACS作为无创影像学指标,可直观反映冠脉病变,CVRS联合CACS可显著提升COPD患者的临床风险识别能力。

心血管事件一级预防依赖多变量风险预测工具,欧洲最常用SCORE系统,纳入年龄、性别等传统危险因素,按年龄、糖尿病、既往事件选用不同版本,进行风险分层并估算10年MACE发生风险研究同样根据地区、年龄、糖尿病、既往MACESCORE进行调整发现:预测10年MACE风险≥10%,但实际8年发生率达24%,提示COPD为高危人群,传统评分存在低估风险。

研究证实,两种成熟无创工具联合评估慢阻肺心血管风险,在风险分层中具有互补作用。该方法可融入常规临床实践(尤其慢阻肺肺癌筛查LDCT普及后),用于识别需进一步有创检查或强化一级预防的高危患者。

参考文献:de-Torres J P, Casanova C, Zagaceta J, et al. Cardiovascular Events in COPD: Complementary Role of Cardiac Risk and Coronary Artery Calcium Scores[J]. Chest, 2025.





医脉通是专业的在线医生平台,“感知世界医学脉搏,助力中国临床决策”是平台的使命。医脉通旗下拥有「临床指南」「用药参考」「医学文献王」「医知源」「e研通」「e脉播」等系列产品,全面满足医学工作者临床决策、获取新知及提升科研效率等方面的需求。



本平台旨在为医疗卫生专业人士传递更多医学信息。本平台发布的内容,不能以任何方式取代专业的医疗指导,也不应被视为诊疗建议。如该等信息被用于了解医学信息以外的目的,本平台不承担相关责任。本平台对发布的内容,并不代表同意其描述和观点。若涉及版权问题,烦请权利人与我们联系,我们将尽快处理。

(本网站所有内容,凡注明来源为“医脉通”,版权均归医脉通所有,未经授权,任何媒体、网站或个人不得转载,否则将追究法律责任,授权转载时须注明“来源:医脉通”。本网注明来源为其他媒体的内容为转载,转载仅作观点分享,版权归原作者所有,如有侵犯版权,请及时联系我们。)

0
收藏 分享