基本信息:74岁女性,主诉“游走性关节肌肉疼痛数周” 就诊。近数周出现急性移行性关节肌肉疼痛,其症状呈游走性改变。起病初期为左腕不适,继之左腹股沟疼痛;一周后突发右侧肱二头肌剧痛致活动障碍,肩关节影响排除
既往史:
手术史:胆囊切除术、子宫内膜消融术、甲状腺手术及既往骨折修复术。
体格检查
患者肩关节外展角度仅达70°(正常范围:主动150°-被动180°);左腕关节压痛伴肿胀,右上肢及右手弥漫性肿胀,左腕及左手肿胀且轻触即痛。
实验室检查及影像学检查
实验室检查:抗环瓜氨酸肽(抗CCP)IgG抗体弱阳性;C反应蛋白(CRP)及嗜酸性粒细胞,单核细胞轻度升高;
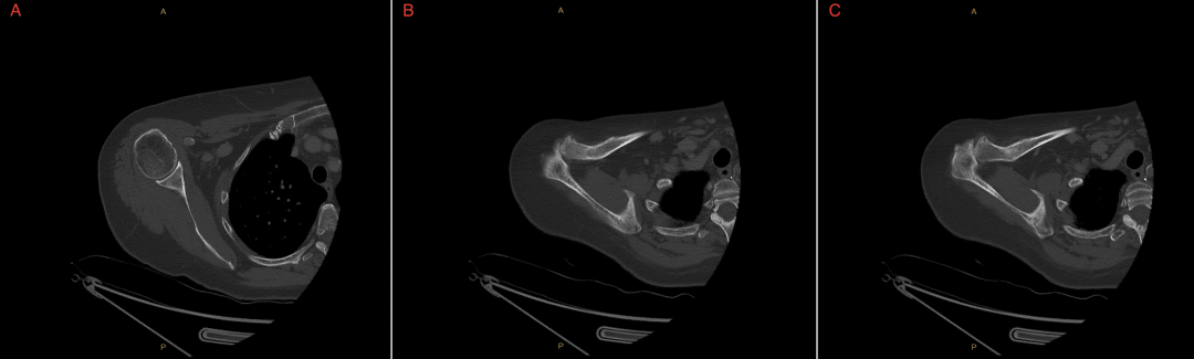
影像学检查:右侧肱骨、前臂增强CT(图1-图3)及左手X线摄片(图4)未见急性结构性或血管性病变;左手广泛存在退行性改变。

图1 肱骨轴位CT骨窗与Ⅳ对比骨窗右侧肱骨轴位CT图像(Ⅳ造影)

图2 右肱骨冠状位CT骨窗成像与Ⅳ对比右肱骨冠状位CT骨窗成像(Ⅳ造影)

图3 右肱骨冠状位CT软组织窗图像(Ⅳ造影)

图4 左手多视图 X 线片,显示广泛慢性退行性改变

治疗及随访情况

RA的诊断常面临复杂性挑战,尤其当症状以非典型、移行性的模式出现时,需与
本病例中,尽管患者RF检测结果为阴性,但结合其抗CCP抗体弱阳性、大小关节多部位受累及CRP轻度升高的表现,依据《2010年美国风湿病学会/欧洲抗风湿病联盟(ACR/EULAR)类风湿关节炎分类标准》,仍可明确RA的诊断。进一步提示,面对复杂关节症状时,必须进行全面评估,其中抗CCP抗体是鉴别RA与其他风湿病的关键血清学标志物。
该患者对
此外,患者高龄、肥胖及已存在的OA病史可能掩盖炎症性病变的表现,临床中两种疾病常合并存在,容易导致漏诊或延误。因此,面对不典型关节症状时,临床医生应保持警惕,综合临床表现、血清学与影像学结果进行全面评估,避免因单一指标阴性或存在退行性病变病史而忽视RA的可能性。
参考文献:
Sadeghi N, Haberman B, McDermott J, Matthews N. A Case Report of Rheumatoid Arthritis With a Migratory Pattern. Cureus. 2025 Jun 24;17(6):e86677. doi: 10.7759/cureus.86677. PMID: 40709149; PMCID: PMC12289107.
(本网站所有内容,凡注明来源为“医脉通”,版权均归医脉通所有,未经授权,任何媒体、网站或个人不得转载,否则将追究法律责任,授权转载时须注明“来源:医脉通”。本网注明来源为其他媒体的内容为转载,转载仅作观点分享,版权归原作者所有,如有侵犯版权,请及时联系我们。)