
医脉通-临床病例平台
患者男性,48岁,因“左侧肢体乏力伴言语不清2月余”收入院。入院前3个月突发左侧肢体抽搐,随后意识丧失,呼之不应,紧急就医后诊断为脑干(右侧脑桥及中脑)出血。并予相应治疗,遗留肢体无力、
既往史、个人史及家族史:左侧颈内动脉斑块并狭窄病史2月余。
入院查体:生命体征平稳,反应迟钝,记忆力、计算力、定向力及注意力下降。双侧眼球外展活动受限,存在构音不清、声音嘶哑、饮水呛咳及咽反射迟钝。左侧上肢肌力2级,左侧下肢肌力3级,右侧肢体肌力4级。左侧巴宾斯基征阳性。无法独坐、站立及行走。
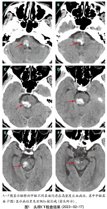
影像学检查:头颅CT(本次入院前3个月)示脑干出血(约5 mL),并疑似破入第四脑室(图1)。复查头颅CT(本次入院前2个月)示脑干出血较前吸收,右侧齿状核可见斑片状低密度影(图2)。


病情变化
本次入院后1个月,患者出现饮水呛咳加重,患者家属诉患者出现四肢阵发性

随访情况
发病1年余,未见四肢阵发性震颤,其饮水呛咳、肢体无力症状较前稍有改善。头颅MRI检查见图4。

1. 请给出您的诊断和诊疗建议。
2.请总结这个疾病的临床表现和必查项目。
也欢迎您对患者的预后及后续复查方向进行讨论!
