作者:stari
来源:1影1世界
滋养细胞疾病影像分类诊断
滋养细胞疾病,以异常的滋养细胞增殖为特征。妊娠2周后,绒毛形成,位于绒膜绒毛上有滋养细胞,可发生多种异常。
多发生于育龄期妇女,80%发生于40岁以下,年龄越大、妊娠次数越多,危险性越大。
按世界卫生组织(WHO)分类可分为4种,如下转给导图:

超声是滋养细胞疾病早期诊断的首选方法,也是治疗后监测疗效的便捷手段。
HCG,滋养细胞可分泌HCG,所以HCG是此类疾病诊断、治疗、随访的有效指标。
CT在滋养细胞疾病诊断方面,有一定限度。
MRI,可以明确显示子宫形态、病变特征性征象,为诊断提供依据。
葡萄胎
因妊娠后胎盘绒毛滋养细胞增生、间质
是一种良性病变。
病因不明,可能与营养障碍、缺乏
完全性葡萄胎,胎盘绒毛全部受累,无胎儿及其附属物,宫腔内充满囊泡。
部分性葡萄胎,部分胎盘绒毛发生水泡状变性,宫腔内有存活的或已死的胚胎。
以上两型葡萄胎,特点是病变局限于子宫腔内,不侵入肌层,无转移。
侵袭性葡萄胎,极少数绒毛变性可侵入到肌层,甚至发生远处转移。从组织学上看,属于水泡状胎块,不属于肿瘤。
临床表现
停经后再出血
腹痛
妊娠
血清HCG明显升高,大于正常妊娠。停经8-10周后持续升高,>10^5mlU/ml。
影像诊断
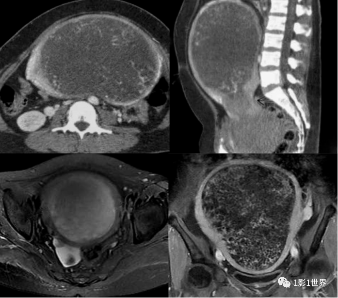
子宫体积增大
宫腔扩大
宫腔内多发小圆形囊状低密度病灶,聚集成团
子宫壁完整,厚薄不均
增大的卵巢常伴发黄素化囊肿
增强扫描:囊状病变分隔强化。
MRI检查
子宫体积增大,宫腔扩大
宫腔内多发T1WI低信号、T2WI高信号、DWI低信号的小囊样病变,有纤细分隔,呈蜂窝状或葡萄状,病变包膜完整。
伴有出血信号
子宫肌层受压变薄,结合带完整
增强扫描:表现为在扩张的子宫内膜腔内含有多个小囊腔样强化的异质组织,动脉期轻度不均匀强化,静脉期及延迟期渐进性网格状强化;宫旁见多发迂曲流空信号影,增强后可呈血管样强化
常合并卵巢黄素囊肿




(本网站所有内容,凡注明来源为“医脉通”,版权均归医脉通所有,未经授权,任何媒体、网站或个人不得转载,否则将追究法律责任,授权转载时须注明“来源:医脉通”。本网注明来源为其他媒体的内容为转载,转载仅作观点分享,版权归原作者所有,如有侵犯版权,请及时联系我们。)