从孩子到父亲,持续53年的奇痒如何破局?——罕见遗传性皮肤病的诊疗之路
发布时间:2026-03-07   



编者按


痒疹样大疱性表皮松解症(EBP)是营养不良型大疱性表皮松解症(DEB)的一种罕见亚型,以慢性、剧烈瘙痒和特征性皮肤损害为主要表现。本文报道一对父子病例,通过临床、病理及基因检测明确诊断为EBP,并应用度普利尤单抗治疗获得显著疗效。


一、病例简介

(一)主诉

1.父亲(58岁,越南裔男性):自幼(5岁起)四肢出现瘙痒性皮疹,持续53年。

2.儿子(10岁):四肢出现类似瘙痒性皮疹(具体起病时间未明确提及)。


(二)既往史


无特殊既往病史记录,无明确药物过敏史,否认其他自身免疫性疾病、慢性感染等病史。


(三)家族史


父子二人同患类似皮肤疾病,存在明确家族遗传倾向。


(四)体格检查

1.父亲:四肢可见弥漫性粉红色苔藓样变、痒疹样丘疹及斑块,呈线性分布,伴随皮肤萎缩、瘢痕形成及甲营养不良(图1)。



图片

1 父亲四肢线状分布的苔藓样痒疹样皮损,伴皮肤萎缩、瘢痕及甲营养不良


2.儿子:临床表现与父亲相似,四肢可见类似皮肤损害(图2)。



图片

2 儿子四肢类似的临床表现,证实疾病的家族遗传性

(五)辅助检查

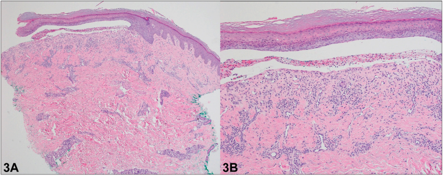
1.组织病理学检查:父子二人的皮肤打孔活检均显示表皮下大疱及瘢痕形成,伴少量嗜酸性粒细胞浸润(图3)。


图片

3 皮肤活检示表下水疱及瘢痕形成(HE染色)


2.直接免疫荧光(DIF)检查:父子二人均为阴性。


3.基因检测:父子二人均检出Ⅶ型胶原蛋白编码基因COL7A1杂合致病性变异(c.5264 G>A)。



二、诊断


结合患者家族史、典型临床表现、组织病理学特征、DIF结果及基因检测结果,初步诊断为痒疹样大疱性表皮松解症(Epidermolysis bullosa pruriginosa,EBP)。

三、治疗与预后

(一)治疗方案


父子二人均启动度普利尤单抗(dupilumab)治疗。



(二)治疗效果


治疗后患者临床症状显著改善,瘙痒感迅速缓解,且疗效持续12个月以上(图 4),未提及明显不良反应。



图片

4 度普利尤单抗治疗12个月后,皮损显著改善,瘙痒持续缓解



(三)相关治疗机制问题(互动选择题

近期获美国食品药品监督管理局(FDA)批准用于治疗DEB的药物,其作用机制是什么?


A. 抑制白细胞介素(IL)-12和IL-23


B. 抑制IgE


C. 抑制IL-13和IL-4


D. 抑制磷酸二酯酶4


E. 修饰型1型单纯疱疹病毒(HSV-1)载体



图片
图片


滑动查看答案及解析




四、讨论

EBP是DEB的罕见亚型,属于遗传性大疱性表皮松解症的范畴,其发病机制与 COL7A1基因突变密切相关,该突变导致Ⅶ型胶原蛋白功能异常,进而影响基底膜锚定原纤维的稳定性,引发皮肤脆性增加、水疱形成及慢性瘙痒等症状。由于疾病的慢性迁延性及剧烈瘙痒,患者生活质量常受严重影响,目前临床治疗选择有限。

度普利尤单抗作为IL-4/IL-13信号通路的抑制剂,已在多种炎症性皮肤病中展现出良好的止痒及抗炎效果。本病例中,父子二人经度普利尤单抗治疗后,瘙痒症状迅速缓解,皮肤损害显著改善,且疗效持续12个月以上,进一步证实了度普利尤单抗在EBP治疗中的潜在价值,其作用可能与阻断IL-4Ra介导的感觉神经元致敏、抑制炎症反应相关。

此外,本病例通过基因检测明确了COL7A1杂合致病性变异,为疾病的诊断提供了关键依据,也提示家族性EBP患者进行基因检测的重要性,可为遗传咨询及后续治疗提供参考。同时,针对DEB的特异性治疗药物(如beremagene geperpavec)的获批,为这类遗传性皮肤病的治疗带来了新的方向,但度普利尤单抗在EBP中的应用仍为临床提供了一种有效的治疗选择,尤其适用于以瘙痒为主要困扰的患者。


参考文献:Hosking AM, Saeed L, Smith J. Pruritic eruption on the extremities: Report of 2 generations treated with dupilumab. JAAD Case Rep. 2025;65:211-214. Published 2025 Sep 24. doi:10.1016/j.jdcr.2025.08.039






医脉通是专业的在线医生平台,“感知世界医学脉搏,助力中国临床决策”是平台的使命。医脉通旗下拥有「临床指南」「用药参考」「医学文献王」「医知源」「e研通」「e脉播」等系列产品,全面满足医学工作者临床决策、获取新知及提升科研效率等方面的需求。


本平台旨在为医疗卫生专业人士传递更多医学信息。本平台发布的内容,不能以任何方式取代专业的医疗指导,也不应被视为诊疗建议。如该等信息被用于了解医学信息以外的目的,本平台不承担相关责任。本平台对发布的内容,并不代表同意其描述和观点。若涉及版权问题,烦请权利人与我们联系,我们将尽快处理。

(本网站所有内容,凡注明来源为"医脉通",版权均归医脉通所有,未经授权,任何媒体、网站或个人不得转载,否则将追究法律责任,授权转载时须注明"来源:医脉通"。本网注明来源为其他媒体的内容为转载,转载仅作观点分享,版权归原作者所有,如有侵犯版权,请及时联系我们。)
0
收藏
添加表情
全部评论
我要投稿
发表评论
扫码分享

微信扫码分享

回到顶部