目前,巨大冠状
来源:心在线
病情简介
患者男性,65岁,在寺庙朝觐期间突然倒地。围观者立即开始心肺复苏,急救医疗人员迅速到达,心电图记录到
患者到达就近医院后,心电图(ECG)提示广泛导联ST段压低,同时aVR导联ST段抬高,提示左主干或多支冠状动脉病变可能。由于该院无法行急诊PCI,且心电图符合ST段抬高型
既往病史
患者有长期
鉴别诊断
鉴别诊断包括:
进一步治疗
在病情初步稳定并完成初期复苏治疗后,患者转运至三级心脏中心进一步评估与管理。到达时患者仍处于气管插管与镇静状态,并需
辅助检查
初始实验室检查提示:
影像学检查时间线如下:
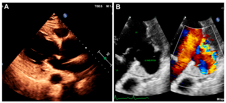
第1天:经胸
第2天:冠状动脉CTA显示右冠状动脉(RCA)巨大动脉瘤,最大直径42 mm,累及RCA中段至远段,瘤壁钙化,未见冠脉开口处梗阻。瘤样扩张的RCA发出瘘性交通,直接引流入左心室下壁基底部腔内。动脉瘤腔内未见附壁血栓。另可见真性左室下壁基底部室壁瘤,大小约3.2×2.1 cm,室壁连续性完整,所有心肌层均受累并呈透壁性变薄。未见假性室壁瘤表现。同时可见升主动脉扩张(直径49 mm)(图2)。
第3天:冠脉造影证实左主干及左冠状动脉系统正常。右冠状动脉显著瘤样扩张,对比剂流动缓慢,并可见瘘道显影及对比剂进入左心室腔。未见明显冠状动脉狭窄。

图1:经胸超声心动图

图2:冠状动脉CTA
心脏及大血管CTA三维重建显示:较大的左心室下壁基底部室壁瘤、显著扩张的右冠状动脉瘤及其向左心室的瘘性引流,并合并升主动脉扩张。
建议进一步行心脏磁共振以评估心肌存活性并明确动脉瘤与瘘的解剖关系,但患者拒绝检查并提前自行出院。
最终诊断
真性左心室室壁瘤的诊断依据CTA所示:室壁为全层心肌受累,心外膜连续性保留,且不存在窄颈结构,符合梗死后真性室壁瘤的形态学特征。
治疗经过
患者最初在抗心律失常治疗与升压药支持下逐步稳定,随后拔除气管插管。尽管进行内科优化治疗,患者仍出现非持续性室性心动过速发作,需再次入住CCU。经多学科评估后,建议植入ICD作为二级预防,但患者最终拒绝。
随后进行了由心脏外科、介入心脏病学、影像专科及电生理团队共同参与的多学科讨论。鉴于瘘管解剖复杂,团队认为经皮封堵预期疗效欠佳,具体原因包括:动脉瘤样扩张的RCA与左室下壁基底部之间为宽颈连接;动脉瘤段广泛扩张并伴钙化;且缺乏可供封堵器械释放的明确入口点。
团队提出的外科方案为:在体外循环下行动脉瘤切除+瘘口封闭,并可能同时进行主动脉修复。围术期风险包括出血、室性心律失常及可能发生的低心排出量综合征。
患者具备充分决策能力,在详细告知风险、获益与替代方案后,拒绝外科及器械相关治疗。团队尊重其自主决定,转为内科治疗方案,具体包括:
口服胺碘酮以抑制室性早搏/室性异位节律
抗凝治疗选择阿哌沙班而非华法林,以降低动脉瘤段相关血栓栓塞风险;在INR波动较大且近期存在出血风险的背景下,其安全性更佳
结局与随访
住院期间患者血流动力学保持稳定,未再出现持续性室性心律失常复发。多学科团队评估并再次充分沟通后,患者仍拒绝外科修补以及二级预防ICD植入。出院时已启动结构化的内科治疗与监测随访计划。
出院用药包括:
胺碘酮200 mg,每日1次
阿哌沙班5 mg,每日2次
随访监测计划如下:
影像随访:每6个月复查CTA以监测动脉瘤大小及瘘管稳定性;每6个月复查TTE以评估左室功能及室壁瘤运动情况
抗凝相关监测:每年复查肾功能与肝功能,以重新评估阿哌沙班的适用性
病例点评
缺血样心电图+心搏骤停,亦需考虑结构性异常
本例患者的首份心电图表现为广泛ST段压低伴aVR导联抬高,确实高度提示左主干/多支病变风险,但最终证实左冠系统无明显狭窄,真正的病因是巨大RCA动脉瘤及其向左心室的瘘性交通,并合并真性左室室壁瘤这一潜在致心律失常因素。
临床启示在于:当心搏骤停与缺血样心电图并存,却与后续冠脉造影结果不完全匹配时,应将诊断框架从管腔狭窄扩展至异常分流、室壁瘤等结构性病因进行鉴别。
RCA-左心室瘘:危险又容易被低估
冠状动脉瘘大多引流至压力较低的右心系统或肺动脉,终止于左心室者非常少见(约占3%)。这类冠状动脉-左心室瘘在血流动力学上不一定呈现典型左向右分流的表现,但可能通过冠脉窃血、局部血流紊乱、动脉瘤形成/扩张以及潜在血栓风险,叠加既往心肌梗死或室壁瘤瘢痕,最终以恶性室性心律失常甚至心搏骤停出现。
本例患者发生院外心搏骤停,正是这种“分流异常+结构畸形+心肌瘢痕”共同作用的后果。
CTA的价值:完成分型与手术可行性判断
本例的CTA提供了三个直接影响决策的核心信息:
第一,RCA动脉瘤直径42 mm,且瘤壁钙化、范围累及中远段;
第二,瘘道为直接进入左心室腔的宽颈交通,缺乏清晰入口;
第三,明确病变为真性左心室室壁瘤。
这些影像学要点直接解释了为何经皮封堵预期疗效较差,也为外科方案提供了解剖依据。临床上遇到类似复杂冠脉异常,CTA往往是完成分型与手术可行性判断的关键。
保守治疗的关键不是药物,而是结构化随访
巨大冠状动脉瘤总体罕见,既往综述显示其患病率约为0.02%-0.2%,且易合并血栓、破裂、心衰、瘘道形成或
本例多学科团队在患者有充分决策能力且坚决拒绝有创干预的前提下,转向内科治疗+结构化监测。
对临床团队而言,这种将随访进行结构化的做法,往往决定了保守路径能否获得最大收益。
来源:Giant Right Coronary Artery Aneurysm With Left Ventricular Fistula: A Rare Coronary Anomaly. JACC Case Rep. 2025 Dec 30:106584. doi: 10.1016/j.jaccas.2025.106584.
审校&排版:GXM
医脉通是专业的在线医生平台,“感知世界医学
本平台旨在为医疗卫生专业人士传递更多医学信息。本平台发布的内容,不能以任何方式取代专业的医疗指导,也不应被视为诊疗建议。如该等信息被用于了解医学信息以外的目的,本平台不承担相关责任。本平台对发布的内容,并不代表同意其描述和观点。若涉及版权问题,烦请权利人与我们联系,我们将尽快处理。

(本网站所有内容,凡注明来源为“医脉通”,版权均归医脉通所有,未经授权,任何媒体、网站或个人不得转载,否则将追究法律责任,授权转载时须注明“来源:医脉通”。本网注明来源为其他媒体的内容为转载,转载仅作观点分享,版权归原作者所有,如有侵犯版权,请及时联系我们。)