

1资料与方法
回顾性选取2005年8月—2023年6月在中日友好医院病理科确诊为CHF的患者共31例,排除临床资料完全缺失者5例(仅有病理组织学资料,临床症状、实验室检验及影像学资料完全缺失),最终纳入26例。
汇总所有患者的一般情况(性别、年龄、临床症状)、实验室检查(
超声引导下粗针穿刺获取肝组织,标本长度≥1.0 cm,镜下至少包括6个汇管区,进行常规石蜡包埋、切片,并分别进行HE染色、免疫组化染色(至少包括CK7、CK19、CD34)及网织+Masson染色。

2结果
26例患者中男12例,女14例,最小年龄4岁,最大年龄61岁,平均年龄29岁。根据年龄段进行分组:儿童组(≤10岁)4例、少年组(11~18岁)4例、青壮年组(19~40岁)11例、中老年组(>40岁)7例。
不同年龄分组患者的实验室检查指标见表1,儿童组ALT水平较其他3组明显升高,其余实验室检测指标在不同年龄分组间未见明显差异。

在26例患者中,门静脉高压型19例(73.08%),胆管炎型2例(7.69%),混合型4例(15.38%),隐匿型1例(3.85%)。除了4例临床症状不详外,其余22例中有近半数以门静脉高压所致的上消化道出血相关症状首诊(10/22,45.45%)。不同年龄段患者临床症状总结见表2。

4例患者中3例以上消化道出血为首发症状就诊,1例以黄疸为首发症状,4例患者中3例出现肝功能异常。其中1例4岁的女性患儿因
2例患者出现上消化道出血的症状, 3例影像学证实有食管胃底静脉曲张,1例出现黄疸。
11例中有10例患者汇报了自己的临床症状,其中5例出现上消化道出血,4例出现黄疸,4例出现腹痛、腹胀,2例出现发热。11例患者中有3例伴发Caroli病。
4例患者明确汇报其就诊的临床症状,主要包括肝功能异常及肝脾肿大,1例出现胆道感染合并菌血症,均无明确的上消化道出血症状。本组1例50岁的老年患者为隐匿型CHF,该患者并无消化道及黄疸等症状,因体检发现ALP、GGT升高及肝脏多发结节,进一步行肝穿刺,诊断为CHF。
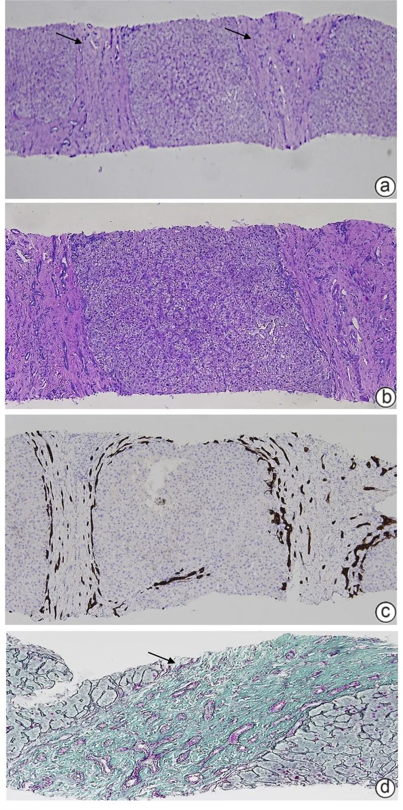
26例患者均经肝组织病理学检查确诊为CHF,其共同的病理学改变为:肝实质被宽阔、致密的纤维间隔不规则分隔,部分呈结节状,纤维间隔与肝实质界面齐,间隔内见多数形态不一的小胆管,可见小动脉,未见相应口径的门静脉;肝实质内肝板排列大致正常,可见中央静脉(图1)。

注: 男性,23岁。a(HE染色,×40)、b(HE染色,×100):肝实质为宽阔的纤维间隔不规则分隔(黑色箭头示纤维间隔),间隔为纤维性,其内可见增生的、多数形状不规则的小胆管,少数呈分支状,有的轻度扩张含浓缩胆汁,间隔内可见小动脉,未见相应口径的门静脉;间隔与肝实质界清,部分交界带见细胆管反应性增生。c(CK7免疫组化染色,×100):显示交界带内增生的细胆管。d(网织+Masson染色,×100):显示宽阔的纤维间隔(黑色箭头示纤维间隔)。
图1 CHF的病理学改变
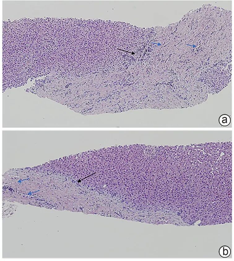
在2例伴有发热的患者中,镜下可见纤维间隔及肝实质内的炎细胞浸润。6例同时伴有Caroli病的患者,镜下均可见小胆管内的胆汁淤积,并见管腔囊性扩张的小胆管(图2)。对比不同年龄组患者肝穿刺组织学的镜下差异,儿童组的纤维间隔更加致密,且纤维间隔内不仅缺乏相应口径的门静脉,薄壁小血管的数量亦显著减少,甚至消失,意味着对门静脉高压代偿的侧支循环减少(图3);在其他年龄组中纤维间隔内薄壁小血管的数量相对儿童组较多,有的还可见口径缩窄的门静脉。

注: 男性,24岁,伴Caroli病。a(HE染色,×100):肝实质为多条宽阔纤维带所分隔(黑色箭头示纤维间隔区域),纤维带内有的可见多数大小不一的幼稚小胆管,少数管腔内含胆汁(蓝色箭头示胆管内淤积的胆汁);有的含扩张的胆管,衬附单层立方上皮或矮柱状上皮,周围未见明显炎症。肝实质内肝板排列尚整,部分肝细胞内含脂褐素,偶见小坏死灶。b(网织+Masson染色,×100):显示宽阔的纤维间隔区域(黑色箭头示纤维间隔区域)。
图2 CHF合并Caroli病的病理学改变

注: 女性,4岁。a、b(HE染色,×100):肝穿刺组织内见宽阔而边界整齐的纤维间隔(黑色箭头示纤维间隔)。间隔内纤维玻变、胶原致密,炎症轻,门静脉消失,仅有个别裂隙样的薄壁小血管(蓝色箭头表示薄壁小血管)。
图3 儿童CHF患者的病理学改变

3讨论
CHF是由编码纤维囊蛋白的多囊性肾病Ⅰ基因突变引起的常染色体隐性遗传病,该病发病机制是胆管细胞原生纤毛表达蛋白功能障碍,从而导致胚胎胆管板发育异常,进一步造成小叶间胆管发育不全以及进行性的胆管周围纤维化,最终会导致门静脉高压及胆管炎症甚至脓毒症。在胚胎发育的第8周,胆管板于肝门区形成,胆管上皮与门静脉区间质组织正常的相互作用是诱导小胆管重塑的关键,当小胆管重塑障碍或完全终止,就会导致肝内小叶间胆管板发育异常,因此形成形态各异、发育不良的胆管结构。多囊性肾病Ⅰ基因编码纤维囊蛋白/多导管蛋白,该蛋白定位于纤毛基底和着丝粒,以及细胞与细胞的连接处,主要分布于肾脏集合管、肝及胰腺上皮中,而该基因突变会破坏平面细胞极性、刺激胆管细胞增殖、激活胆管周围的炎性细胞和肌成纤维细胞,故当大胆管发育异常(管径>50 μm),还可能伴有Caroli病及常染色体隐性遗传性多囊性肾疾病。然而,临床中发现肾脏和肝脏疾病的临床特征及进展可以是相互独立发生的,这表明可能存在其他未知表型基因的干预。本研究中1例患者进行了基因检测,发现了位于第20号染色体JAG1的基因突变,该基因为细胞膜表面蛋白,能够与Notch1受体结合,影响Notch的讯息传递,以调控细胞的分化,进而影响包括肝脏、心脏、肾脏、骨骼以及眼睛等器官的发育,在肝脏会引起胆管的发育不良并导致胆汁淤积。
此外,也有文献报道除了肝脏及肾脏疾病,CHF患者还可伴发肺气肿、肺动脉高压、先天性心脏病等其他系统疾病。有学者对CHF的发病机制提出了新的解释,认为是磷酸甘露糖异构酶的活性降低,导致以转铁蛋白为代表的多种血清蛋白和细胞间信号传递物质的糖基化异常,这一过程可能影响了胆管上皮和间质相互作用的关键细胞因子,从而造成肝内小叶间胆管的发育异常。在临床研究中也发现,对这些患儿补充甘露糖后,其临床症状、血清生化指标可以得到缓解,这一现象也支持该学说。
CHF可以发生在各个年龄阶段,从儿童早期至60岁不等,体征和症状在不同患者中存在很大差异,但在大多数患者中,CHF会在青少年时期发病。在本研究中,各年龄阶段均有发病,大多数患者在中青年发病,且各个年龄段就诊的首发症状略有不同。0~10岁的儿童往往以门静脉高压合并上消化道出血为首发症状就诊,在少年组及青壮年组中患者首诊的原因各异,包括门静脉高压、胆道感染、腹胀腹痛等;而中老年组中大部分患者症状轻微甚至没有明显的症状,多因体检发现肝功能异常或肝脾肿大而行肝穿刺,最终通过组织学确诊,其中仅1例中老年患者因胆道感染导致菌血症而就诊。
本研究26例患者的CHF临床分型,主要为门静脉高压型,且门静脉高压导致的上消化道出血、腹胀、腹痛等症状为大多数患者就诊的主要原因。在4例10岁前发病的儿童中,有3例突出表现为食管胃底静脉曲张合并呕血、脾大、脾亢,其中2例出现明显的转氨酶及胆管酶水平升高。青壮年组则门静脉高压型、胆管炎型以及混合型均可见。中老年组大部分没有明显的症状,均因各种原因发现肝功能异常或肝脾肿大而行肝穿刺检查,但其中1例出现明显的胆管炎表现。提示年龄越小,出现上消化道出血等严重并发症的概率越高,这与文献报道中儿童可早期出现相应的症状,而成人表现相对较轻相一致。
CHF的病理表现是汇管区宽阔的纤维间隔分隔大致正常的肝实质,并伴有胆管板的多发畸形,与其他嗜肝病毒感染和酒精性肝损害导致的肝炎及肝硬化引起的纤维化不同,CHF一般不伴随明显的肝细胞坏死及再生,不形成假小叶结构。在不同年龄分层中,肝穿刺组织学表现类似,但稍有区别。本研究发现,儿童组的患者镜下纤维间隔更为致密、缺乏相应口径的门静脉,并且代偿性的薄壁血管显著减少甚至消失,提示年龄越小起病,越容易出现门静脉高压,这与该组患者的临床表现相吻合。其他各组与儿童组相比,镜下纤维间隔更加宽大,纤维更为稀疏,其内代偿性的薄壁血管相对易见。对于儿童组组织病理学与其他年龄组的差异,笔者试图从门静脉高压形成的复杂病理生理过程中分析原因。门静脉高压源于各种原因导致的肝内血管阻力增加,血管内皮细胞在各种损伤作用下出现损伤和脱落,内皮细胞表达黏附分子并释放趋化因子等,促使单核细胞与内皮细胞结合,并穿透内皮细胞侵入内膜下层,促使血管平滑肌细胞向内膜下迁移及增生,合成细胞外基质沉积于血管壁以形成新生内膜,导致血管改建,因此,炎症因子的作用在门静脉高压的形成中发挥着重要作用,而在儿童CHF患者中,汇管区炎症较轻,由此,笔者提出猜想:是否因为儿童汇管区普遍炎症较轻,因此无法募集足够的炎症因子促进小血管增生;另一方面更加致密的纤维间隔可能也会影响血管的代偿性再生,最终导致薄壁血管的显著减少甚至消失。但受此病罕见、儿童组样本量过小的影响,目前还没有发现汇管区炎症程度与血管数量的相关性,后续将会扩大样本量,尤其是收集儿童CHF患者的相关病例,进行年龄、纤维间隔及汇管区血管改变的相关研究。
CHF目前尚无有效的治疗方法,病理损伤过程难以逆转,肝移植是治愈该病的唯一方法,目前的治疗主要是针对门静脉高压等相应并发症的对症支持治疗。CHF自1961年发现以来逐渐被认识,在临床中较为少见,截至目前文献报道仅几百例,这也导致本研究的病例总数较少,因此在年龄分层中的临床及病理特点分析有一定的局限性。对于不同年龄患者出现不明原因的门静脉高压或肝功能异常时,需考虑是否存在该病的可能,结合肝穿刺病理组织学可以明确诊断,若同时出现肾脏囊肿、胰腺囊肿等其他脏器的合并疾病,可同时进行基因检测以全面完善疾病诊断。
综上,CHF是一种临床罕见的常染色体隐性遗传病,在儿童时期常表现为上消化道出血等门静脉高压的症状,随年龄增加,患者的症状多样但缺乏特异性,中老年发病者常常无明显症状,因此该病在中青年以后发病容易被漏诊、误诊,导致疾病进展出现难以逆转的并发症。因此,提高对该病的认识,对临床可疑的患者进行肝穿刺,必要时进行基因检测,早发现、早诊断,定期随访,可以及时预防门静脉高压等相关并发症,这对改善患者预后尤为重要。

https://www.lcgdbzz.org/cn/article/doi/10.12449/JCH251118

刘诗璇, 张玉姣, 郑英, 等. 26例先天性肝纤维化患者的临床及病理特点分析[J]. 临床肝胆病杂志, 2025, 41(11): 2317-2322
来源:临床肝胆病杂志
本平台旨在为医疗卫生专业人士传递更多医学信息。本平台发布的内容,不能以任何方式取代专业的医疗指导,也不应被视为诊疗建议。如该等信息被用于了解医学信息以外的目的,本平台不承担相关责任。本平台对发布的内容,并不代表同意其描述和观点。若涉及版权问题,烦请权利人与我们联系,我们将尽快处理。

(本网站所有内容,凡注明来源为“医脉通”,版权均归医脉通所有,未经授权,任何媒体、网站或个人不得转载,否则将追究法律责任,授权转载时须注明“来源:医脉通”。本网注明来源为其他媒体的内容为转载,转载仅作观点分享,版权归原作者所有,如有侵犯版权,请及时联系我们。)