近年来,随着人们生活条件的改善与对健康体检的重视增加,正电子发射计算机断层成像(PET-CT)的应用范围越来越广。由于肿瘤

图1
(图1)肿瘤细胞相对于正常细胞:葡萄糖转运体高,己糖激酶高,葡萄糖-6-磷酸酶低。FDG是一种葡萄糖类似物,通过细胞膜上的葡萄糖转运体(Glut)促进转运,被代谢活跃的细胞吸收。在细胞质中,FDG经过磷酸化形成FDG-6-磷酸盐,与葡萄糖不同,它不能进行进一步的代谢,并被困在细胞内。
然而,我们注意到,根据《
那么肝癌患者是否适合行PET-

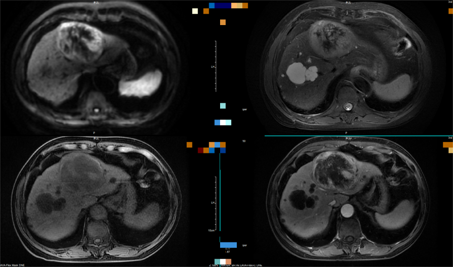
(图3)PET-CT提示:左肝低密度灶,18F-FDG摄取不明显(中央坏死区摄取低于正常肝组织)。

(图4)肝脏增强MRI提示:左肝巨块型病灶,弥散受限,T2WI混杂高信号,增强“快进快出”,诊断为肝癌。
PET-CT为什么不适合常规肝癌筛查、诊断?


肝癌一定不能行PET-CT检查么?

我们先看看指南怎么说。《原发性肝癌诊疗指南(2024版)》提出,PET-CT的优势在于:
①对肿瘤进行分期,通过1次检查能够全面评价有无淋巴结转移及远处器官的转移(证据等级 1,推荐 A);
②再分期,因PET/CT功能影像不受解剖结构的影响,可以准确显示解剖结构发生变化后或者解剖结构复杂部位的复发转移灶(证据等级 2,推荐 B);
③对于抑制肿瘤活性的靶向药物的疗效评价更加敏感、准确(证据等级 2,推荐 A);
④指导
⑤评价肿瘤的恶性程度和预后(证据等级 2,推荐 B)。

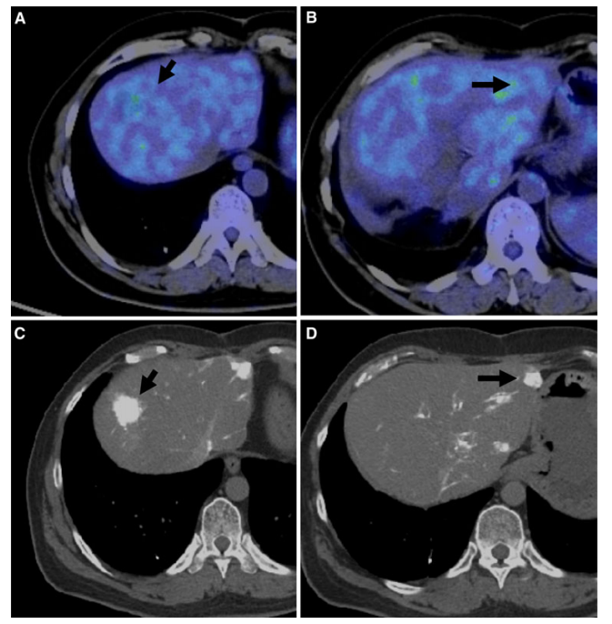
(图6)1例肝脏增强CT发现右肝高强化结节(A),腹膜高强化结节(D)。PET-CT评估发现,两枚结节FDG浓聚明显。该患者合并丙肝,AFP 897ng/ml,最终诊断为HCC合并腹膜转移。
肝癌应该选择什么样的影像学手段?

(1)借助肝脏超声显像联合血清AFP进行肝癌的早期筛查,建议高危人群至少每隔 6 个月进行 1 次筛查。
(2)动态增强CT、MRI扫描、Gd-EOB-DTPA动态增强MRI检查以及超声造影是肝脏超声显像和/或血清AFP筛查异常者明确诊断的首选影像学检查方法。
(3)肝癌影像学诊断依据主要根据“快进快出”的强化方式。
(4)肝脏动态增强MRI检查是肝癌临床诊断、分期和疗效评价的优选影像手段。
(5)PET-CT扫描有助于对肝癌进行分期及疗效评价。此外,采用碳-11标记的乙酸盐(11C-acetate)或胆碱(11C-choline)等对比剂PET显像可以提高对高分化肝癌诊断的灵敏度,与18F-FDG PET/CT显像具有互补作用。
(6)血清AFP是诊断肝癌和疗效监测常用且重要的指标。对血清AFP阴性人群,可以借助DCP、基于7个microRNA组合的检测试剂盒、AFP-L3进行早期诊断。
(7)具有典型肝癌影像学特征的肝占位性病变,符合肝癌临床诊断标准的患者,通常不需要以诊断为目的的肝病灶穿刺活检。

(本网站所有内容,凡注明来源为“医脉通”,版权均归医脉通所有,未经授权,任何媒体、网站或个人不得转载,否则将追究法律责任,授权转载时须注明“来源:医脉通”。本网注明来源为其他媒体的内容为转载,转载仅作观点分享,版权归原作者所有,如有侵犯版权,请及时联系我们。)