侵袭性真菌病(IFD)是
临床资料
基本资料
女性,52岁,浙江金华人,反复乏力9月余
现病史
2023-06 无明显诱因下出现乏力,无头晕
2023-10-14
2023-10-20 行骨髓穿刺,骨髓常规:粒系减少,各期比例降低,可见中性幼粒细胞核浆发育、不平衡等病态;单核细胞明显增多,原、幼单核细胞 64.5%;全片共见巨核23个,分类25个,其中幼稚巨核细胞6个、颗粒巨核细胞16个、产血小板巨核细胞1个,血小板散在小簇少见,可见单圆巨核细胞、多圆巨核细胞;骨髓流式:急性髓系白血病伴单核细胞分化(M4或M5);骨髓活检:结合流式考虑急性髓系白血病,网织纤维染色:骨髓纤维化(MF)(+);基因突变:DNMT3A错义变异 36.04%,FLT3-TKD错义变异 27.48%,WT1无义变异 28.26%,融合基因:dupMLL(+);
2023-10-24 予IA(去甲氧
2023-11-28 复查骨髓常规:原始单核细胞+幼稚单核细胞=29%
2023-11-30予VAA方案(
2024-01-09 复查骨髓常规完全缓解(CR),可测量残留病(MRD)0.53%
2024-02-23 至外院就诊,复查骨髓常规示CR;MRD(-);骨髓病理:骨髓增生大致正常,粒红巨三系造血细胞增生,MF(-)。肺泡灌洗液NGS发现黄曲霉、人类疱疹病毒5型。因使用艾沙康唑(口服)出现头疼、恶心,改用伏立康唑(口服)200mg bid抗真菌感染治疗,无法耐受(幻觉)。自觉乏力,偶有少量
2024-03-14 为求进一步治疗来我院,门诊拟“急性髓系白血病”收治入院
既往史
慢性
个人史
已婚,育有一女
家族史
父母健康,无家庭病史
入院检查
【体格检查】
体温:36.8℃;心率:86次/分;呼吸:18次/分;血压:119/83mmHg。神清,精神可,轻度贫血貌,全身皮肤、黏膜无黄染,无瘀点瘀斑,未见浅表淋巴结肿大,未见咽红,未见扁桃体大,无胸骨压痛。双肺呼吸音粗,未闻及干湿啰音。心律齐,未及病理性杂音。腹软,无压痛、反跳痛,肝脾肋下未及。双下肢无
【实验室检查】
血常规+C反应蛋白(CRP)、凝血功能、生化、

图1. 部分实验室检查结果
【影像学检查】
腹部B超:
【遗传学检查】
染色体:46,XX[6];基因突变:FLT3-TKD+(0.666%)、MLL-PTD+(26.482%)、DNMT3A+(24.47%)
入院诊断
AML(MLL(KMT2A-PTD)+,FLT3-TKD、DNMT3A、WT1突变);侵袭性肺曲霉病
治疗过程
予

图3.抗真菌治疗过程中胸部CT影像

图4.抗真菌感染治疗过程中肌酐(左图)及血钾(右图)变化
治疗转归
24-06-03复查胸部CT,肺部炎症病灶部分吸收改善。24-06-14复查骨髓常规CR,MRD转阴。渡过粒缺期后,停用L-AmB,序贯使用艾沙康唑(口服)进行抗真菌感染治疗

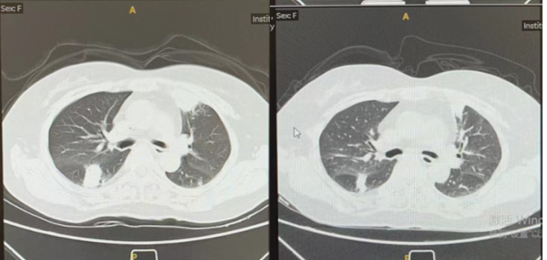
图5.治疗前后胸部CT影像
(左:24-03-14化疗前;右:24-06-03两次化疗后)
资料分析
本资料报道一例AML患者IPA的诊疗过程。资料显示患者外院AML化疗期间发生真菌感染,初次经抗真菌药物治疗后症状缓解,后续化疗期间再次发生乏力、咳嗽、咯血等症状,使用卡泊芬净治疗效果不佳。外院查肺泡灌洗液NGS发现黄曲霉,先后予艾沙康唑(口服)和伏立康唑(口服)治疗无法耐受。入院后查曲霉半乳甘露聚糖抗原指数,结合现病史明确IPA诊断,予L-AmB(静脉)进行抗真菌治疗。L-AmB治疗期间耐受性良好,肌酐、血钾均未发生明显不良反应,肺部炎症病灶改善,获得较为理想的抗真菌治疗效果。
血液病患者合并侵袭性肺曲霉病
的治疗要点
IPA是最常见的肺丝状真菌病4,在接受化疗、造血干细胞移植后等免疫系统受损的人群中尤为常见5。近年来,临床中IPA患者的比例逐年升高,约占院内真菌感染的50%~60%6,临床病死率高达31.1%~46%5,疾病负担沉重。然而,IPA的临床表现并不典型,且真菌培养时间较长,受培养条件限制,阳性率不高,导致确诊过程较为困难6。如果诊断延误,对临床治疗的效果可能产生负面影响,且患者预后效果差6。因此,对于IFD风险较高的血液病患者,若持续粒细胞缺乏伴发热且广谱抗真菌治疗4~7天无效,则应选择覆盖血液病患者IFD常见病原真菌的广谱抗真菌药物,及早开展经验性治疗7,以免延误病情。根据《血液病/恶性肿瘤患者侵袭性真菌病的诊断标准与治疗原则(第七次修订版)》7:血液病患者IFD经验性治疗一般选择覆盖曲霉、念珠菌的广谱抗真菌药物。首选药物包括卡泊芬净、L-AmB。已接受广谱抗真菌药物预防的患者在需要启动IFD经验治疗时,一般推荐换用与预防治疗用药不同的其他类型抗真菌药物,如L-AmB或棘白菌素类。对于临床诊断和确诊IA的患者,应针对IA进行目标治疗,一线推荐药物包括伏立康唑、艾沙康唑、泊沙康唑以及L-AmB。
值得注意,部分血液病治疗药物与三唑类抗真菌药物联用时可能会产生相互作用,从而改变血药浓度或耐药性,导致疗效不理想,甚至引发诸多不良反应。若药物相互作用明显,可考虑更换为其他不易产生相互作用的抗真菌药物,如L-AmB和棘白菌素类8。此外,临床应用伏立康唑、泊沙康唑等药物进行治疗或预防时应考虑常规开展治疗药物监测(TDM);使用两性霉素B类药物进行抗真菌治疗时则无需常规开展TDM7。
总结
IPA是最常见的肺丝状真菌病,发生率和死亡率高,然而早期确诊难度较大。对于可能发生IPA的血液病患者,应及早启动经验治疗,选择广谱覆盖曲霉、念珠菌等常见病原真菌的抗真菌药物,如L-AmB等。同时,需善用NGS、半乳甘露聚糖检测等技术尽早明确病原真菌种属,后续依据指南及患者自身情况,合理选择有效、耐受的抗真菌药物。本资料显示于外院使用卡泊芬净治疗期间明确肺部曲霉感染,换用唑类后发生不良反应难以耐受。得益于入院后及时换用有效覆盖曲霉且耐受良好的L-AmB进行抗真菌感染治疗,病情得到及时控制,后续治疗过程中未发生明显不良反应,肺部炎症病灶改善,治疗效果较为理想。
专家简历

张宇 副主任医师
浙江省中医院 副主任医师、博士、硕士研究生导师
中国民族医药学会血液病分会秘书长
中国中西医结合学会血液病分会青年委员
中华中医药学会血液病分会青年委员
中国康复学会血液病分会青年委员
浙江省医学会血液病分会青年委员
浙江省中西医结合学会血液病分会青委副主委
浙江抗癌协会整合肿瘤专委会委员
浙江省卫生高层次人才“医坛新秀”
主持国家自然科学基金青年项目、省自然科学基金等项目
发表文献10余篇


戳“阅读原文”,查看更多内容
(本网站所有内容,凡注明来源为“医脉通”,版权均归医脉通所有,未经授权,任何媒体、网站或个人不得转载,否则将追究法律责任,授权转载时须注明“来源:医脉通”。本网注明来源为其他媒体的内容为转载,转载仅作观点分享,版权归原作者所有,如有侵犯版权,请及时联系我们。)