一、肥大性下橄榄核变性
HOD是临床罕见的继发性、退行性神经系统疾病,多继发于脑干、小脑或格林-莫里特三角(GMT)损伤,典型表现为腭肌阵挛、
二、病例速览
1.入院情况
患者为48岁男性,因“左侧肢体乏力伴言语不清2月余”收入

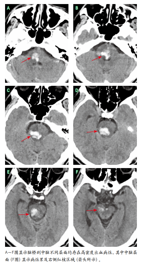
图1 头颅
Figure 1 Results of brain CT examination
患者既往有
入科查体可见左侧肢体肌力2~3级,右侧肢体肌力4级,左侧巴宾斯基征阳性,构音不清、饮水呛咳。
2.病情演变和诊疗经过
患者在康复治疗期间(脑干出血后4个月),出现饮水呛咳加重,四肢阵发性震颤,每日数次,每次1 min内自行缓解。完善头颅MRI检查(图2)提示双侧下橄榄核在T2WI及FLAIR序列呈高信号、体积增大,结合脑干出血病史及查体发现的腭肌阵挛,确诊为继发性HOD。

图2 头颅MRI检查结果
Figure 2 Results of brain MRI examination
治疗上予

图3 头颅MRI检查结果
Figure 3 Results of brain MRI examination
三、诊疗要点
1.诊断核心依据
典型诱因:有脑干、小脑或GMT相关区域损伤史(如
特征性影像学表现:原发病灶出现3~4周后,头颅MRI T2WI及FLAIR序列示下橄榄核区高信号伴体积增大,该表现可持续3~4年。
临床表现:典型表现为腭肌阵挛、共济失调、声音嘶哑等,本例以四肢阵发性震颤(Holmes震颤)为突出表现,需注意鉴别。
震颤特点:Holmes震颤兼具静止性、意向性和姿势性,频率低于4.5 Hz,多在原发病后1~24个月出现。
2.治疗与鉴别诊断要点
四、临床启示
对于脑干、小
HOD的早期识别与对症干预有助于改善患者症状及生活质量。本例患者经苯海索治疗后震颤完全缓解,提示该药物对部分HOD相关震颤有效,但需更多临床研究验证其普适性。未来需进一步探索神经保护剂、神经调节技术等在HOD治疗中的应用价值。
引用本文:
(本网站所有内容,凡注明来源为“医脉通”,版权均归医脉通所有,未经授权,任何媒体、网站或个人不得转载,否则将追究法律责任,授权转载时须注明“来源:医脉通”。本网注明来源为其他媒体的内容为转载,转载仅作观点分享,版权归原作者所有,如有侵犯版权,请及时联系我们。)