侵袭性真菌病(IFD)好发于血液恶性肿瘤等患者,念珠菌和曲霉是
临床资料
基本资料
男性,47岁。2024年3月28日因乏力、
既往史
无特殊
入院检查
【体格检查】
重度
【实验室检查】
【遗传学检查】
白血病融合基因筛查检测:MLL-AF4(+);荧光原位杂交(FISH):可见MLL基因断裂荧光信号;淋系肿瘤相关基因突变检测:I类变异未检出,II类变异TP53基因拷贝数缺失,KMT2A基因拷贝数缺失,chr12p拷贝数缺失;骨髓
入院诊断
B-ALL(复杂核型,MLL-AF4融合基因阳性,高危组)
治疗过程
化疗及预防性抗感染治疗:2024-03-31予

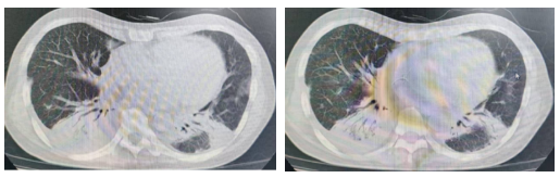
图1. 2024-05-13 胸部HRCT影像

图2. 2024-06-20 胸部HRCT影像
治疗转归及随访:体温逐渐降低至恢复正常,CRP逐渐降低
2024-07-10复查胸部CT:双肺多发结节、类结节,双肺散在炎症及纤维化灶,炎症较前增多,双肺下叶及左肺舌段部分实变,内可见支气管空气征,双肺弥漫性支气管树芽征改变(图3),继续L-AmB 150mg/天(静脉)抗真菌治疗,抗细菌感染采用降阶梯治疗方案

图3. 2024-07-10 胸部HRCT影像
2024-07-12查CRP 12.9mg/L。2024-07-13出院,予
2024-07-24复查胸部CT:双肺炎症较前减少,双下叶实变改善,支气管空气征较前改善,双肺弥漫性支气管树芽征较前明显改善(图4)

图4.2024-07-24胸部HRCT影像
2024-08予单倍体相合移植预处理,预处理方案为改良
2024-08-23至08-24输注第三方脐血造血干细胞及其女儿外周血造血干细胞采集物。移植粒缺期合并口腔黏膜炎、口腔感染,给予
资料分析
本临床资料报道一例B-ALL合并预防后突破性IFD。资料显示化疗期间接受伏立康唑(口服)进行近三个月的预防性抗真菌治疗后,出现反复畏寒、发热、腹痛、腹泻、干咳症状,考虑发生预防后突破性IFD,感染部位包括肺部及肠道。使用伏立康唑(静脉)进行抗真菌治疗效果不理想,随即换用L-AmB 150mg/天(静脉)进行抗真菌治疗,经足剂量给药治疗后,体温恢复正常、CRP降低、肺部病灶逐渐好转,疗效较为理想。
血液恶性肿瘤患者预防后突破性IFD的
疾病现状与诊疗要点
疾病现状
预防后突破性IFD(bIFD)是指在抗真菌药物暴露期间发生的所有IFD1。约有1%~40%的患者发生bIFD,曲霉、念珠菌、毛霉是常见致病真菌2。临床中,不同抗真菌药物预防后bIFD的发生率及真菌病原体分布存在一定差异,其中
诊疗要点
启动时机:准确把握血液恶性肿瘤患者IFD治疗的时机尤为关键3。临床建议当接受抗真菌预防的高危患者出现IFD相关症状和体征,且广谱抗生素治疗无效,应考虑bIFD2。早期启动抗真菌治疗极为重要2。延迟治疗可能增加IFD患者的死亡率3。
药物选择2:bIFD患者的流行病学特点是决定后期药物选择的重要依据,既往抗真菌预防方案显著影响患者突破感染的菌种构成及真菌耐药性。怀疑发生bIFD的危重患者应尽快启动经验性抗真菌治疗,根据预防用药种类选择经验治疗药物。若既往接受唑类或棘白菌素类药物预防,建议选择L-AmB±其他药物治疗。已启动经验性抗bIFD治疗的危重患者,在获得更多诊断证据后,应结合经验性治疗疗效评估如何调整治疗方案。非重症患者获得bIFD诊断依据后,应结合患者预防用药情况、临床表现及真菌检测结果,分析突破感染原因及可能致病菌,选择广谱、强效的抗真菌治疗方案。
总结
近年来,随着唑类药物预防的广泛应用,部分真菌对唑类耐药问题逐渐凸显。对于发生预防后bIFD的患者,应根据预防用药情况选择药物,尽早启动经验性抗真菌治疗。本资料中,由于伏立康唑(口服)进行预防性抗真菌治疗过程中出现反复畏寒、发热、腹痛、腹泻、干咳等症状以及炎症表现,考虑发生预防后bIFD,伏立康唑(静脉)疗效欠佳,改用L-AmB(静脉)后获得较为理想的疗效。这提示对于预防后bIFD,应基于预防方案选择适当药物,可考虑尽早启动足剂量L-AmB治疗,以获得良好疗效。
专家简历

吴东红 副主任医师
广东医科大学附属医院血液科 副主任医师
从事临床医疗及教学工作至今
对白血病、溶血性贫血、再生障碍性贫血、多发性骨髓瘤、淋巴瘤、血小板减少性紫癜的诊治经验丰富,对血液系统疑难病例诊治有独到见解
承担市级科研项目1项,在国家级、省级杂志发表论文10余篇
专家简历

梁亮 副主任医师
广东医科大学附属医院血液内科 副主任医师 硕士研究生导师
广东省医学会血液病学分会移植学组委员
广东省女医师学会血液病学专业委员会委员
广东省医学会血液病学分会出凝血疾病组成员
承担参与省市厅级科研项目5项,发表SCI收录及国内核心期刊论文多篇
(本网站所有内容,凡注明来源为“医脉通”,版权均归医脉通所有,未经授权,任何媒体、网站或个人不得转载,否则将追究法律责任,授权转载时须注明“来源:医脉通”。本网注明来源为其他媒体的内容为转载,转载仅作观点分享,版权归原作者所有,如有侵犯版权,请及时联系我们。)