患者,男性,43岁,自15岁起就患有
该患者自15岁确诊高血压起至42岁期间未接受治疗,2023年与主治医生建立诊疗关系后,开始服用利西那普和
鉴别诊断包括
患者行初步检查,包括当日实验室血液分析及诊室
患者进一步接受动态心电图检查,该便携式心电图设备佩戴时长为2天。监测结果主要显示为窦性心律,平均心率100次/分。1个月后患者复诊,主诉心悸症状已缓解。然而,为评估潜在结构性心脏病,主治医生安排患者行正式经胸超声心动图(TTE)检查,该检查于1个月后完成。TTE显示存在胸主动脉瘤,主动脉根部扩张至6.5cm,升主动脉扩张至6.2cm,并提示可能存在夹层。同时观察到严重主动脉瓣反流。患者随后被转诊至心脏科进行进一步检查,当时查体于胸骨左下缘闻及2/6级舒张期杂音。查体未见颈静脉怒张、颈动脉杂音、局灶性神经系统体征或
在告知经胸超声心动图结果后,患者拒绝接受紧急主动脉CT血管造影以明确夹层范围并制定进一步治疗和手术干预方案。最终,该患者未遵循医嘱,自行离院。虽临床已紧急开具胸腹盆CT血管造影检查,但实际延迟约1个月后才在门诊完成。检查结果显示为Stanford A型主动脉夹层,主动脉最大直径达7cm,夹层起自瓦氏窦,终止于主动脉峡部,并累及右头臂干动脉。患者被立即送往急诊科进行紧急血压控制及主动脉夹层急诊手术。但在接受治疗前,该患者再次违背医嘱离院。后因下肢脓肿需行清创术及抗感染治疗,该患者的手术修复被进一步推迟。距超声心动图初次诊断主动脉夹层近8周后,患者最终接受了保留瓣膜的主动脉根部置换术、半弓置换术、主动脉瘤修复术及主动脉夹层修复术。

图 1.胸部、腹部和骨盆 CT 血管造影:轴位视图
CT血管造影显示升主动脉夹层动脉瘤,Stanford A型,可见内膜片(特征性征象);瓦氏窦受累,主动脉直径达 7 cm;

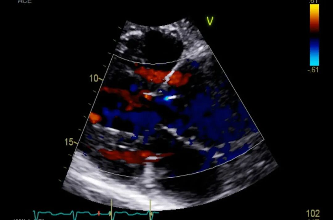
图2 TTE胸骨旁长轴视图彩色多普勒
TTE显示重度主动脉瓣反流。主动脉瓣叶显示不清。主动脉根部严重扩张,直径达 6.5 cm。升主动脉严重扩张,直径为 6.2 cm。

图3 TTE胸骨旁长轴切面
TTE显示升主动脉内夹层内膜片,位于主动脉瓣叶上方。同时可见升主动脉扩张。

图 4.胸部、腹部和骨盆CT血管造影:冠状视图
CT 血管造影显示主动脉瘤扩张,直径6.2 cm。
患者主动脉瓣反流完全消失。6个月后随访超声心动图显示无反流、无动脉瘤、无夹层。
急性Stanford A型主动脉夹层的典型表现是撕裂性胸痛和/或背痛。非典型表现可包括乏力、
A型主动脉夹层的无症状表现较为罕见,并且诊断存在挑战。由于识别率较低,此类患者难以通过手术成功治疗,并且延误最佳治疗时机会显著增加死亡风险。对于本例患者,查体时发现
目前存在未经手术处理且未出现并发症的无症状夹层个案报告。Hattab等人报告的病例中,患者因拒绝手术而对无症状A型主动脉夹层仅行保守治疗,5个月随访期间病情稳定。Song等人的病例中,患者拒绝接受夹层手术,3年后随访是行
慢性A型主动脉夹层定义为症状出现及确诊时间超过1个月者,其早期死亡率(6.1%)低于急性主动脉夹层(11.6%)。本例患者行TTE意外检出巨大主动脉瘤,但拒绝即刻进一步诊断检查,故CT血管造影及手术修补延迟至约1个月后完成。在此期间患者始终无症状。鉴于夹层持续时间较长,本例应属慢性病变。慢性高血压患者合并无症状Stanford A型主动脉夹层的类似病例中,亦被观察到存在主动脉瘤。Kumar等人的病例中,一例慢性高血压患者被检出胸主动脉瘤合并夹层,但仅表现为轻微胸部不适,最终接受了手术修补。Tandan等人的病例中,患者完全无症状,意外发现6.5cm胸主动脉瘤合并夹层,同样接受了动脉瘤及夹层的手术修补。推测此类患者及本例患者之所以保持无症状且无并发症,可能与主动脉瘤及夹层的缓慢扩张有关——该病理过程导致真腔与假腔压力梯度趋近平衡。
本例为罕见的Stanford A型主动脉夹层不典型表现。患者在诊断及治疗全程均保持无症状状态。虽确定性外科修补术延迟实施,最终通过手术修补成功解除夹层病变。
(本网站所有内容,凡注明来源为“医脉通”,版权均归医脉通所有,未经授权,任何媒体、网站或个人不得转载,否则将追究法律责任,授权转载时须注明“来源:医脉通”。本网注明来源为其他媒体的内容为转载,转载仅作观点分享,版权归原作者所有,如有侵犯版权,请及时联系我们。)