作者:徐林医生
在临床工作中,经常会碰到很多病人,有反复的右上腹隐痛或右肩背酸痛,在进食油腻食物后疼痛加重,而肝胆专科就诊行B超未见
无结石性胆囊炎最早由Duncan1844年报道,是不合并胆囊结石的胆囊炎,根据起病急缓分为急性和慢性。急性无结石性胆囊炎的发病迅速,易发展成胆囊坏疽穿孔积脓,较为典型。而慢性无结石性胆囊炎才是在日常门诊工作中经常见到的。
慢性无结石性胆囊炎(chronic acaculus cholecystistis)的病因为胆囊排空障碍,而胆囊排空障碍的原因主要有以下2个方面:
1.胆囊管过长、扭曲、狭窄、粘连、纤维化等会造成部分梗阻,导致胆囊排空障碍。此时,高浓度胆汁酸盐滞留于胆囊中,对胆囊壁慢性刺激,引起胆囊黏膜损害、炎症改变及增加细菌感染风险。
关于
2.胆胰合流异常或Oddis括约肌功能失调,也可导致胆囊排空障碍。此时,胰液可能向胆道和胆囊返流,被胆汁激活的
胆囊排空障碍会带来胆囊长期的慢性炎症或急、慢性炎症反复发作,这时可引起胆囊黏膜增生或息肉样变,胆囊壁和胆囊管纤维组织增生、胆囊腔缩小、萎缩、胆囊管狭窄,加速胆囊慢性炎症的病理演进和加重临床症状。

慢性无结石性胆囊炎(CAC)临床表现往往不典型,多为右上腹隐痛,间歇性发作,进食不规律后加重,与慢性结石性胆囊炎相似,并无特征性。
1.有较长时间的右上腹慢性疼痛,间断反复发作,进食油腻食物后加重或
2.经
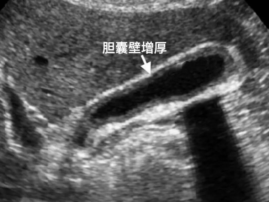
3.慢性胆囊炎影像改变:B超显示胆囊壁厚、粗糙或胆囊收缩功能差、胆汁排空不畅等;

对症状较轻或并不十分确切的CAC,可先采用对症、利胆和改善消化功能的非手术治疗;经内科治疗无效,症状反复发作、疼痛影响进食、生活、工作者,可考虑外科手术治疗。外科手术治疗效果取决准确的诊断和是否伴有右上腹部其它脏器有慢性疾病。
来源:徐言肝胆
本视频/资讯/文章的内容不能以任何方式取代专业的医疗指导,也不应被视为诊疗建议。医脉通是专业的在线医生平台,“感知世界医学

(本网站所有内容,凡注明来源为“医脉通”,版权均归医脉通所有,未经授权,任何媒体、网站或个人不得转载,否则将追究法律责任,授权转载时须注明“来源:医脉通”。本网注明来源为其他媒体的内容为转载,转载仅作观点分享,版权归原作者所有,如有侵犯版权,请及时联系我们。)