患者为60岁男性,因“右上腹
体格检查
入院时,患者生命体征稳定,可见黄疸包括巩膜黄染、舌下黄染及皮肤弥漫性黄染,右上腹有压痛,其他无明显异常。
辅助检查
腹部超声检查显示:肝脏大小处于正常上限伴轻度脂肪浸润;胆囊大小正常,内见少量胆泥;胆总管(CBD)轻度扩张,直径8.5mm,CBD壁轻度增厚及回声增强(图 1)。

图1 腹部超声显示轻度肝脂肪浸润。胆囊大小正常,有0.8×0.4 cm少量胆泥(图B)
表1 住院期间和随访期间的生化指标

因肝损伤病因未明且怀疑存在胆道相关因素,患者于入院第 2 天行内镜

图2 MRI显示胆囊壁增厚、胆囊周围积液,胆总管正常
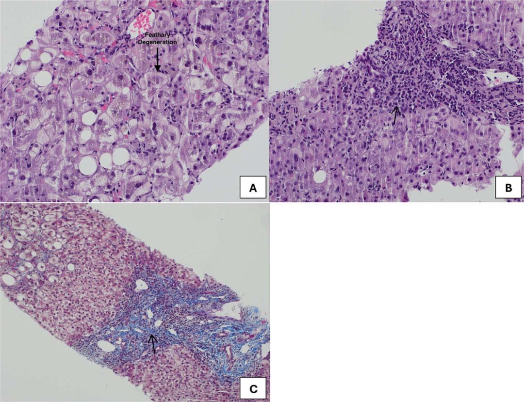
由于患者未见改善而诊断不明确,行超声引导下经皮肝穿刺活检。病理结果显示:肝组织核心存在明显的肝细胞实质及胆小管胆汁淤积,肝细胞呈气球样变及羽毛状变性;门管区因混合性炎症细胞、嗜酸性粒细胞及少量中性粒细胞浸润而扩大,伴轻度胆小管损伤;Masson三色特殊染色显示门管区、门脉周围及桥接纤维化。PSA/PSAID特殊染色未见α-1抗

图3(A)肝活检显示肝细胞气球样变及羽毛状变性(黑色箭头);(B)门管区因混合性炎症细胞(黑色箭头)、嗜酸性粒细胞及少量中性粒细胞浸润而扩大,伴轻度胆小管损伤;(C)Masson特殊染色显示门管区、门脉周围及桥接纤维化(黑色箭头)
结合患者4年持续大量饮用苹果醋的病史,高度怀疑为醋诱导的肝损伤。患者于第5天出院并每日两次
苹果醋是一种清澈、酸味液体,主要由水和3%–5%醋酸组成,因其已知的健康益处而被广泛使用,例如降低
DILI在临床中具有挑战性,主要为排除性诊断。DILI正成为全球急性
乙酸诱导肝损伤的机制尚未完全明确,但一种假说认为可能是由于肝动脉和
管理DILI的重要步骤是立即停用可疑药物,多数情况下患者在停药后数天至数周内可自发缓解。在某些情况下无法预测临床和生化改善的病程,即使停药肝功能也可能无法恢复正常时,这类患者需要更多其他干预和随访。
参考文献
1. Andonie CR, AbuGhannam SI, Ruzayqat SMA. Apple Cider Vinegar-Induced Hepatotoxicity: A Rare Case Report. Oxf Med Case Reports. 2025 Jul 14;2025(7):omaf097.
2. 中国医药生物技术协会药物性肝损伤防治技术专业委员会, 中华医学会肝病学分会药物性肝病学组.中国药物性肝损伤诊治指南(2023年版)[J]. 中华肝脏病杂志, 2023, 31(4): 355-384.
本平台旨在为医疗卫生专业人士传递更多医学信息。本平台发布的内容,不能以任何方式取代专业的医疗指导,也不应被视为诊疗建议。如该等信息被用于了解医学信息以外的目的,本平台不承担相关责任。本平台对发布的内容,并不代表同意其描述和观点。若涉及版权问题,烦请权利人与我们联系,我们将尽快处理。

(本网站所有内容,凡注明来源为“医脉通”,版权均归医脉通所有,未经授权,任何媒体、网站或个人不得转载,否则将追究法律责任,授权转载时须注明“来源:医脉通”。本网注明来源为其他媒体的内容为转载,转载仅作观点分享,版权归原作者所有,如有侵犯版权,请及时联系我们。)