编者导读:

患者基本信息:女性,56岁
患者病史:患者既往阑尾杯状细胞腺癌病史,曾接受半结肠切除术和化疗,同时合并


为明确病因,医生开展了全面检查。恶性肿瘤相关检查,包括正电子发射断层扫描、CT、

确诊后患者使用

患者经静脉输液、双膦酸盐和皮质类固醇联合治疗,患者血钙水平和肾功能初步改善。由于病情复杂且肾结节病罕见,需持续接受肾脏病学、内分泌学和肿瘤学多学科随访,定期评估疾病进展、治疗反应以及潜在并发症,以便及时调整治疗方案。
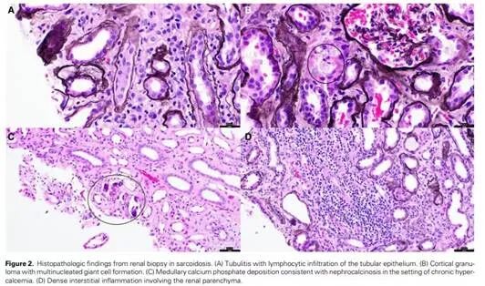
肾结节病在系统性结节病患者中患病率仅0.7%-4.3%,典型的结节病相关高钙血症由肉芽肿内巨噬细胞过量产生1,25 - 二羟基维生素 D 导致,但本例患者该指标正常偏低,十分罕见。推测可能因晚期肾功能障碍损害维生素 D 羟化和清除,或促炎细胞因子促进骨吸收所致。该病例诊断延迟近两年,因患者有癌症病史,初期优先考虑恶性肿瘤,且非典型的实验室指标和阴性影像学结果掩盖了病情。
此前类似病例多有维生素D升高或 ACE 升高、肺部异常等特征,而本例患者缺乏这些表现,进一步增加了诊断难度。诊断延迟还加重了患者的情绪困扰,凸显跨学科合作的重要性。
治疗方面,皮质类固醇虽起效但减量易复发,双膦酸盐则需兼顾肾脏风险,管理难度较大。
总之,对于不明原因的复发性高钙血症,即便维生素 D 和 ACE等指标正常,也需尽早考虑肾结节病的可能,及时开展肾活检等关键检查,避免延误治疗。
1.肾结节病可以表现为孤立性、严重的高钙血症和AKI,即使没有系统性或肺部受累。
2.偏低或正常的1,25-二羟基维生素D水平不能排除结节病相关的高钙血症,并且可能由于肾功能受损或替代性炎症途径而发生。
3.如果不明原因的高钙血症伴肾功能恶化持续存在,且标准检查仍无定论,在彻底的非侵入性评估后,可考虑进行肾活检。
本视频/资讯/文章的内容不能以任何方式取代专业的医疗指导,也不应被视为诊疗建议。医脉通是专业的在线医生平台,“感知世界医学

(本网站所有内容,凡注明来源为“医脉通”,版权均归医脉通所有,未经授权,任何媒体、网站或个人不得转载,否则将追究法律责任,授权转载时须注明“来源:医脉通”。本网注明来源为其他媒体的内容为转载,转载仅作观点分享,版权归原作者所有,如有侵犯版权,请及时联系我们。)