嗜酸粒细胞肺炎是一种以肺部嗜酸粒细胞异常浸润和外周血嗜酸粒细胞增多为特征的异质性疾病。其临床表现与影像学改变常缺乏特异性,如
本病病因繁杂,涵盖特发性、寄生虫感染、药物反应及系统性疾病相关等多种类型,其治疗策略与预后截然不同。尽管支气管肺泡灌洗液细胞学分析等技术的应用提升了诊断率,但不典型病例的识别仍是临床面临的挑战。
本文旨在通过分析一例以
作者:徐来
本文为作者授权医脉通发布,未经授权请勿转载。
病史摘要
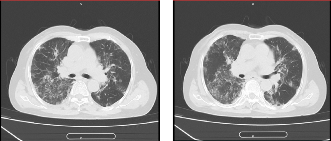
女性患者,73岁,自述于半年前因受凉后出现咳嗽,咳白色粘痰,无明显头晕、
既往史:体健。
查体:T:36.5℃ P:97次/分 R:25次/分 BP:104/69mmHg,VTE评分2分患者神志清,对答切题,体型中等,瞳孔等大等圆,对光反射灵敏。全身浅表淋巴结未触及肿大。双肺呼吸音粗,可及散在湿性啰音,无胸膜摩擦音。心率97次/分,律齐,未闻及杂音。腹平,腹肌软,腹无压痛,无反跳痛,肝脾肋下未触及,
入院诊断:1.肺炎 2.
➤D1-D3 (10.09-10.11)
近日无发热,仍有咳嗽,咳白色粘痰,伴胸闷、活动后气促不适,较前好转不明显;双肺呼吸音粗,可及散在湿性啰音,余无特殊。


➤D4-D6 (10.12-10.14)
患者无发热,咳嗽咳痰较前无明显缓解,咳白色粘痰,胸闷、活动后气促不适较前稍减轻,双肺呼吸音粗,可及散在湿性啰音;余无特殊。鉴于患者无明显好转,予以

➤D7-D9 (10.15-10.17)
患者无发热,咳嗽咳痰较前有缓解,但仍有反复,以夜间明显,干咳为主,胸闷、活动后气促不适较前稍减轻,双肺呼吸音粗,可及散在湿性啰音。

➤D10-D12 (10.18-10.20)
患者无发热,咳嗽较前未明显缓解,以夜间明显,干咳为主,胸闷、活动后气促不适较前稍减轻,双肺呼吸音粗,可及散在湿性啰音,右肺明显。


➤D13-D15 (10.21-10.23)
近日患者咳嗽较前有所加重,活动后明显;活动后胸闷、气促,双肺呼吸音粗,可及散在湿性啰音,右肺明显。

➤D16-出院(10.24-10.27)
患者近日咳嗽较前明显缓解,双肺呼吸音稍粗,无其他特殊不适。

出院诊断:1.慢性嗜酸性粒细胞肺炎 2.支气管扩张
注意事项:口服醋酸泼尼松片2周后,复查CT。
讨论
1.
本病好发于40~50岁人群,女性多见。CEP起病较隐匿,出现症状到确诊间隔时间平均为4个月,常见的呼吸道症状为咳嗽、
2.CEP与其他原发性ELD的鉴别诊断
CEP除了排除多种继发因素或已知原因的嗜酸性粒细胞升高合并肺浸润以外,还需与其他原发性ELD相鉴别,包括单纯肺EOS增多症、AEP和HES。
(1)单纯肺EOS增多症:又称吕弗勒综合征。以一过性肺部浸润影并伴有外周血EOS增多为特点,临床症状轻微且呈自限性。常在4周内自行缓解,很少需要应用
(2)急性EOS性肺炎(AEP):该病进展快速,以肺泡腔和肺间质EOS浸润、伴弥漫性肺泡损伤为主要病理改变。本病好发于既往体健的年轻人。常见症状包括发热、干咳、呼吸急促、呼吸困难、胸痛。突出的临床特点是起病迅速,常在发病数小时内出现呼吸衰竭,类似急性呼吸窘迫综合征(ARDS),但少有肺外脏器受累。发病初期常无外周血EOS增高,发病数天后可明显升高。几乎所有患者均出现低氧血症。AEP的诊断标准包括:①急性起病的发热性呼吸系统疾病(出现症状至就诊时间少于1个月,多在7天内)。②胸部影像学表现为双肺弥漫性浸润影。③低氧血症(吸入空气的情况下PaO2<7.98kPa和/或PaO2/FiO2≤300,血氧饱和度<90%)。④肺EOS增多(BALF中EOS比例>25%,或肺活检证实EOS性肺炎)。⑤除外感染、药物反应等其他继发因素。由于发病初期多数患者外周血EOS不高,因此BALF对于AEP的诊断非常关键,而肺活检主要用于排除其他疾病。早期使用糖皮质激素是治疗AEP的关键。
(3)高EOS综合征(HES):HES是一种病因不明的罕见疾病,是以外周血和骨髓EOS持续增多、多器官受累为特征的临床综合征。好发于20~50岁人群,男性多见。心脏和神经系统受累最为常见,40%的患者累及肺脏,还可累及皮肤、关节、胃肠道等多个系统,约2/3的患者会出现动脉血栓和深静脉血栓。外周血中EOS显著增多(计数常>10×109/L、百分比高达30%~70%),可出现EOS前体细胞和粒细胞前体细胞。累及肺部时BALF中EOS比例可超过70%。本病临床表现和影像学缺乏特异性,诊断需排除其他ELD。诊断标准包括:①持续的EOS增多>1.5×109/L,超过6个月或6个月内死亡(目前认为不应限定6个月的病程);②缺乏寄生虫、过敏或其他已知原因所引起EOS增多的证据;③多器官受累及多系统功能不全的证据。糖皮质激素是HES的主要治疗手段,50%的患者单用激素具有较好的临床反应,大多数患者需长期服用激素。
3.如何制定CEP的治疗方案?
糖皮质激素是治疗CEP的主要药物,多数患者激素治疗48小时内症状明显缓解,1周内影像学有吸收。起始口服泼尼松剂量0.5 mg/(kg•d),通常2~4周内减量,疗程以6~12个月为宜,低于6个月者容易复发。CEP的预后较好,单纯由CEP致死者罕见。
参考文献:
[1]WOOLNOUGH K, WARDLAW A J. Eosinophilia in Pulmonary Disorders[J]. Immunology and allergy clinics of North America,2015,35(3):477-492. DOI:10.1016/j.iac.2015.05.002.
[2] CURTIS C, OGBOGU P. Hypereosinophilic Syndrome[J]. Clin Rev Allergy Immunol,2016,50(2):240-251. DOI: 10.1007/s12016-015-8506-7.
[3] 陈碧,蒋捍东. 伴肺部阴影的嗜酸粒细胞增多症[J]. 中国实用内科杂志,2014,34(8):740-743. DOI:10.7504/nk2014070102.
[4]嗜酸粒细胞增多症诊断与治疗中国专家共识(2017年版) Chin J Hematol,July 2017,Vol.38,No.7
[5]嗜酸粒细胞增多相关性肺疾病诊疗中国专家共识 Natl Med J China, January 4, 2022, Vol. 102, No.1

(本网站所有内容,凡注明来源为“医脉通”,版权均归医脉通所有,未经授权,任何媒体、网站或个人不得转载,否则将追究法律责任,授权转载时须注明“来源:医脉通”。本网注明来源为其他媒体的内容为转载,转载仅作观点分享,版权归原作者所有,如有侵犯版权,请及时联系我们。)