病例资料
患儿,男,7岁,因反复骨折就诊于儿科门诊。
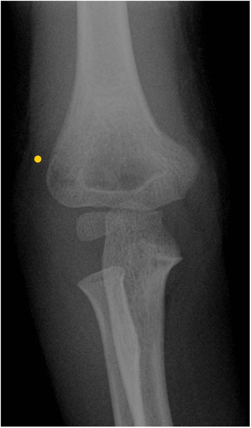
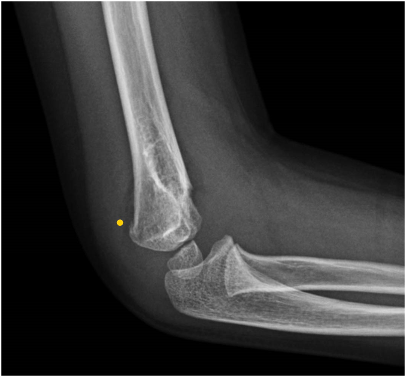
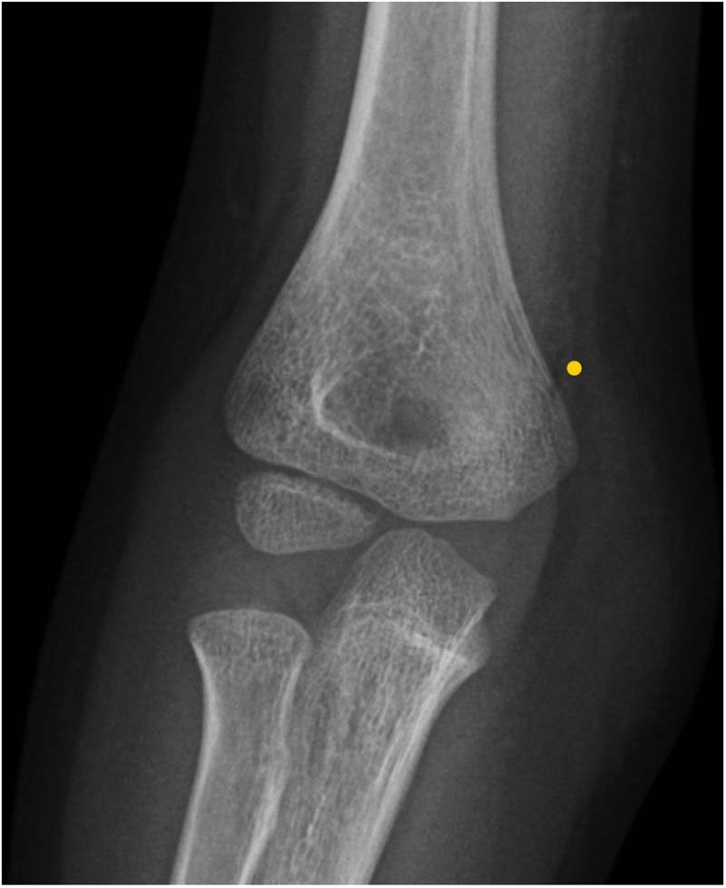
在过去两年中,患儿发生了三次上肢骨折:右侧(图1)和左侧(图2)肱骨髁上骨折,以及右侧肱骨内侧髁骨折(图3)。所有骨折均由家中或学校发生的轻度至中度外力创伤所致,且均与体育运动无关。骨折在经过4-5周的石膏固定后愈合,无后遗症。无骨痛、腹痛、排尿或排便习惯改变或其他全身性症状,也无提示儿童虐待的体征。

图1

图2

图3
患儿既往病史无特殊,未长期服药。体重和身高规律增长,每日乳制品摄入量充足(600 mL牛奶或酸奶)。患儿经常锻炼,每周踢三次足球。无反复骨折、关节过度活动或其他骨骼或自身免疫性疾病的家族史。全面临床检查(特别关注肌肉骨骼系统及慢性疾病体征)结果完全正常。
初步检查包括全面的骨矿物质稳态评估,结果显示钙、镁、磷、促甲状腺激素、游离甲状腺素和甲状旁腺激素水平正常。碱性磷酸酶(ALP)略低(160 UI/L,参考范围175-420 UI/L),25-羟
治疗:患儿确诊后开始无麸质饮食,医生为其家庭提供了专业的饮食咨询。
随访:在3.5年的随访期间,患儿未再发生骨折,生长发育正常。
小结
乳糜泻是一种免疫介导的系统性疾病,由麸质肽在遗传易感个体中诱导。它可能以多种非特异性症状或甚至无症状表现。尽管如此,由于其对健康的负面影响(尤其是未经治疗的病例),尽早诊断至关重要。乳糜泻在儿童期的经典表现包括
尽管反复骨折是乳糜泻极其罕见的表现形式,但在评估中必须始终包含乳糜泻血清学检测,因为这是导致骨密度降低的已知原因,且存在有效的治疗方法。无麸质饮食可恢复骨密度并预防未经治疗的乳糜泻的其他并发症。
参考文献:
1. Dias Costa F, Maia C, Almeida S, et al. Child with multiple fractures: a rare presentation of a common disease. BMJ Case Rep. 2017 Jan 20;2017:bcr2016218477. doi: 10.1136/bcr-2016-218477.
医脉通是专业的在线医生平台,“感知世界医学
本平台旨在为医疗卫生专业人士传递更多医学信息。本平台发布的内容,不能以任何方式取代专业的医疗指导,也不应被视为诊疗建议。如该等信息被用于了解医学信息以外的目的,本平台不承担相关责任。本平台对发布的内容,并不代表同意其描述和观点。若涉及版权问题,烦请权利人与我们联系,我们将尽快处理。

(本网站所有内容,凡注明来源为“医脉通”,版权均归医脉通所有,未经授权,任何媒体、网站或个人不得转载,否则将追究法律责任,授权转载时须注明“来源:医脉通”。本网注明来源为其他媒体的内容为转载,转载仅作观点分享,版权归原作者所有,如有侵犯版权,请及时联系我们。)