Richter转化弥漫大B细胞淋巴瘤(DLBCL-RT)和原发中枢神经系统淋巴瘤(PCNSL)是临床上极具挑战性的B细胞恶性肿瘤。尽管近年来靶向药物、免疫治疗等手段不断涌现,但部分患者仍面临耐药、复发或治疗相关毒副作用等困境1-2。尤其是伴有TP53突变、CD20丢失或MCD亚型等高危因素的患者,预后较差,亟需更高效、安全的治疗策略。布鲁顿酪氨酸激酶抑制剂(BTKi)、嵌合抗原受体T细胞(CAR-T)疗法等新型治疗方式的联合应用,为这类患者带来了新的希望。匹妥布替尼作为全球首个获批的非共价BTKi,在B细胞恶性肿瘤患者中显示出了良好的疗效与安全性3。在此,医脉通特邀深圳市第二人民医院李晓清教授和彭浩宇医生各分享1例接受匹妥布替尼治疗的淋巴瘤患者的诊疗经过,并邀请深圳市第二人民医院杜新教授、李晓清教授和彭浩宇医生对上述病例做精彩点评。
患者,男,72岁
现病史:2017年患者常规体检发现腹部淋巴结肿大,淋巴结穿刺活检示:(右侧腋窝淋巴结)淋巴组织增生性改变,淋巴瘤可疑,免疫组化结果:CD3(部分+),CD20(+),Ki67(20%+),CD21(-),CyclinD1(-),CD5(-),CD10(-),CD23(+),CD19(+)。确诊“慢性淋巴细胞性白血病”,后续治疗过程详见表1。2025-02-11复查PET-CT,提示Richter转化,考虑肿瘤较前进展,遂入院治疗。
表1 患者既往治疗经过

注:GB:奥妥珠单抗+苯达莫司汀;Ven-G-Pola:维泊妥珠单抗+奥妥珠单抗+维奈克拉;G+Pola+CHP:奥妥珠单抗+维泊妥珠单抗+环磷酰胺+多柔比星脂质体+泼尼松;PMR:部分代谢缓解
既往史:糖尿病史18年,目前血糖控制尚可。
PET-CT(2025-02-11):1.肝脏新增多发低密度灶,腹膜后腹主动脉旁软组织较前增厚,纵隔1组、腹主动脉旁新增肿大淋巴结,右侧盆壁后淋巴结较前稍大,以上均伴明显糖代谢增高,Richter转化?请结合临床;2.纵隔(2R、4R),双侧肺门及右侧髂肌旁多个增大淋巴结,部分较前减小,糖代谢较前稍减低;脾大、脾脏内数个低密度灶,未见糖代谢异常,较前减少。
图1 患者PET-CT表现(2025-02-11)
骨髓穿刺活检(2025-02-17):未见异常B淋巴细胞增多。
免疫组化(2025-02-24):(肝左叶肿物、右侧髂窝淋巴结,穿刺活检)CD20(-,丢失),CD19(+),CD30(-),CD5(个别阳性),P53(+,60-70%,提示突变),Ki-67(+,75%)。侵袭性大B细胞淋巴瘤,侵犯/累及肝脏组织及脂肪组织等;结合病理形态改变、免疫标记结果及临床病史,符合慢性淋巴细胞白血病向弥漫大B细胞淋巴瘤转化(即Richter syndrome)。
FISH检测(2025-2-25):检测DLBCL套餐中P53/CEP17基因缺失阳性,CDKN2A/CEP9基因缺失阳性;其余探针均阴性,且MYC、BCL2和BCL6都存在基因扩增。
IgH体细胞高突变分析(2025-2-25):IGH克隆性重排为未突变型,预后不良。
弥漫大B细胞淋巴瘤(Richter转化,CD20丢失,IVA期,TP53/NOTCH1突变,IgH重排类型IGHV5-51)
经专家会诊,建议CAR-T治疗,可考虑桥接匹妥布替尼+Pola+Gemox(匹妥布替尼+维泊妥珠单抗+吉西他滨+奥沙利铂)方案化疗。
2025-03-03顺利完成淋巴细胞采集,2025-03-04腹部B超示:肝内可见密布多个大小不等的低回声结节,较大者约46×38mm(右叶)。
自2025-03-04起,予匹妥布替尼200mg qd单药治疗。2025-3-12复查腹部B超:肝内可见密布多个大小不等的低回声结节,较大者约35×26mm(右叶)较2025-03-03肿瘤缩小近50%,且患者无药物相关不良事件,疗效尚可。
2025-03-18行维泊妥珠单抗90mg抗肿瘤治疗,因家属拒绝未行Gemox方案化疗。
2025-03-27开始FC方案清淋治疗(环磷酰胺+氟达拉滨),2025-04-01回输CD19 CAR-T细胞,回输后出现1级细胞因子释放综合征(CRS),予托珠单抗治疗后好转,无免疫效应细胞相关神经毒性综合征(ICANS)发生。2025-05-08复查PET-CT,疗效评估达部分缓解(PR)。
在CAR-T治疗期间暂停使用匹妥布替尼。2025-6-1恢复用药,目前患者匹妥布替尼单药(200mg qd)维持治疗中。
图2 治疗后CAR-T细胞扩增情况

图3 匹妥布替尼联合CAR-T治疗前后患者的PET-CT表现
患者,女,71岁
现病史:患者于2025-02出现右侧肢体无力,外院考虑“脑梗死”,至华中科技大学协和深圳医院就诊。住院期间行泌尿系增强CT,提示胸12-腰2椎体水平右侧腹膜后存在肿瘤性病变,与右侧肾上腺分界欠清。住院期间患者出现进行性嗜睡,难以叫醒,间断低热。2025-03-22转入我院泌尿外科,予心电监护、吸氧、补液抗感染治疗等治疗,患者仍神志昏迷,咳痰能力差,双肺满布痰鸣音,存在痰堵窒息风险,遂2025-03-22转入ICU。2025-03-23行气管插管接呼吸机辅助通气,予抗感染治疗、利妥昔单抗联合甲泼尼龙冲击治疗,后转至我科进一步诊治。
既往史:高血压病史,目前服用苯磺酸氨氯地平片,血压控制一般。
查体:入院时患者神志昏迷,气管切开接高流量氧疗。双侧瞳孔等圆等大,瞳孔2.0mm,对光反射迟钝。双肺呼吸音粗,双侧肺可闻及湿啰音,未闻及胸膜摩擦音。心律齐,各瓣膜区未闻及杂音。腹部柔软,肠鸣音减弱。左侧巴氏征阳性。四肢肌力肌张力查体不合作。
血常规:WBC 5.97×109/L,Hb 76.0g/L↓,PLT 134.0×109/L。
生化:ALT 89.6U/L↑,LDH 1809U/L↑,铁蛋白2055.0ng/mL↑,IL-2R 7113.00U/mL↑。
痰液细菌培养:鲍曼不动杆菌阳性。
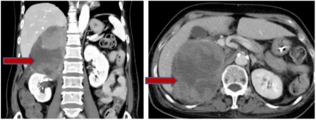
胸腹增强CT(2025-4-8):双肺散在多发炎性病变,双肺局部膨胀不全,双侧少量胸腔积液;腹膜后巨大占位(76×101×124mm),性质、来源待定。
图4 患者胸腹CT表现
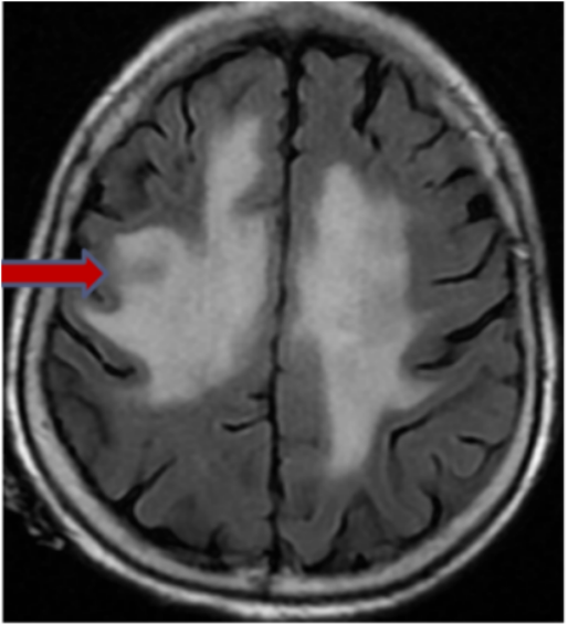
磁共振弥散成像DWI(2025-05-08):颅内多发异常信号,病变多位于深部脑白质及核团区,较前范围明显增大,结合病史,不除外转移可能。

图5 患者颅脑MRI表现
分子病理结果(2025-04-22):BCL6断裂(FISH)(-),BCL2断裂(FISH)(-),C-MYC断裂(FISH)(-);
肿瘤细胞免疫组化结果:AE1/AE3(-),LCA(+),Vimentin(少量+),CD20(+),CD3(-),CD5(-),Bcl-2(+),Bcl-6(+),CD10(+/-),MUM-1(+),CD19(+),Ki-67(热点区90%+),CD21(-),CyclinD1(-),CD30(-),C-MYC(20%+),CD56(-),GranzymeB(-),TIA-1(-),CD4(-),CD8(-),ALK(-);原位杂交结果:EBER(-)。(腹膜后肿物,穿刺)结合免疫组化结果,符合弥漫大B细胞淋巴瘤(DLBCL,NOS),非GCB型(Hans分型),肿瘤进展累及中枢。
弥漫大B细胞淋巴瘤(non-GCB型,IV期B,IPI 5分,MCD亚型,中枢、肾上腺累及)
脑梗死恢复期
入我科后,患者反复发热,感染指标升高,细菌培养结果提示多重耐药,予抗感染、对症支持治疗后好转。
感染控制后,于2025-04-24鞘内注射甲氨蝶呤+阿糖胞苷+地塞米松,于2025-04-26予利妥昔单抗+维泊妥珠单抗+依托泊苷+匹妥布替尼200mg qd方案化疗,期间复查颅脑核磁提示脑部病变范围较前增大,考虑肿瘤进展累及中枢,于2025-05-15予甲氨蝶呤治疗,因输注后出现高血压急症,遂暂停甲氨蝶呤输注。
排除禁忌症后于2025-5-17、2025-6-7予RMT-Pola(利妥昔单抗+甲氨蝶呤+替莫唑胺+维泊妥珠单抗)+匹妥布替尼方案。分别于2025-6-30、2025-7-21予RMT-Pola(利妥昔单抗+甲氨蝶呤+塞替派+维泊妥珠单抗)+匹妥布替尼方案。治疗后患者症状体征较前改善:神志逐渐好转,现已意识清醒;瞳孔等圆等大,对光反射灵敏;咳嗽、咳痰较前减轻;左侧肢体肌张力可,肌力Ⅲ级,右侧肢体肌张力高,肌力Ⅱ级。颅脑DWI见肿瘤病灶较前缩小,PET-CT提示疗效达PR。
杜新教授
当前,DLBCL-RT和PCNSL的治疗仍面临巨大挑战,传统化疗方案疗效有限且毒性显著1,4。匹妥布替尼作为新一代BTKi,在多种B细胞恶性肿瘤中均表现出良好的疗效和安全性,为难治性患者提供了新的选择。Ⅰ/Ⅱ期BRUIN研究5显示,匹妥布替尼治疗DLBCL-RT患者的总缓解率(ORR)达50.0%,且无论患者既往是否接受过治疗,均能从中获益。患者的中位持续缓解时间(mDoR)为7.4个月,中位无进展生存期(mPFS)为3.7个月,中位总生存期(mOS)为12.5个月。此外,在PCNSL治疗领域,多项研究表明,含BTKi的联合治疗方案同样具备卓越的疗效,为该类患者带来了新的希望6-8。未来应开展大规模前瞻性临床研究,积极探索匹妥布替尼在难治性淋巴瘤治疗领域的全新应用模式,最终推动治疗策略的革新与临床实践的优化。
李晓清教授
本例老年DLBCL-RT患者,既往多线治疗(包括伊布替尼、泽布替尼、维奈克拉、维泊妥珠单抗及格菲妥单抗等)后仍进展,且伴有TP53突变、CD20丢失等不良预后因素。此次采用匹妥布替尼联合维泊妥珠单抗桥接CD19 CAR-T治疗的策略,显示出快速且显著的肿瘤缓解。患者在匹妥布替尼单药治疗一周后肝脏病灶即缩小近50%,提示该药具有较强的单药抗肿瘤活性。后续CAR-T回输后仅发生1级CRS,安全性可控,最终达到PR,体现了匹妥布替尼在降低肿瘤负荷、改善微环境、增强CAR-T疗效方面的潜在价值9。一项小样本的研究显示,使用匹妥布替尼桥接后,CAR-T细胞的多功能性(PFA)和多功能强度指数(PSI)均有升高趋势,提示匹妥布替尼可以改善CAR-T细胞的功能10。综上,BTKi联合CAR-T的治疗策略为DLBCL-RT患者提供了新的治疗思路,尤其是在缺乏CD20表达的情况下仍可使患者获益,值得进一步探索。

彭浩宇医生
本例老年PCNSL患者,病变累及中枢和肾上腺,同时合并多重耐药菌感染,入院时已出现意识障碍,整体病情复杂危重,传统化疗应用受限。近期有学者报道,3例Bing-Neel综合征(BNS)患者经匹妥布替尼治疗后均取得了≥PR的疗效,提示匹妥布替尼在累及中枢的B细胞恶性肿瘤治疗中具有潜在价值11。基于此,本例患者一线治疗选择含匹妥布替尼的联合方案(联合利妥昔单抗、维泊妥珠单抗、甲氨蝶呤、替莫唑胺等)。治疗后患者神经系统症状明显改善,影像学评估达PR。另外,尽管患者体能状态较差,但对匹妥布替尼的耐受性良好,未出现任何不良反应。该病例进一步提示,匹妥布替尼联合多种靶向药物及鞘内化疗,可能是高龄、高危PCNSL患者的一种有效且相对安全的治疗选择。

杜新 教授
医学博士,主任医师,博士研究生导师
深圳市第二人民医院(深圳大学第一附属医院)血液科主任及大内科主任,深圳市血液病研究所所长
中华医学会血液学分会第十二届委员会 委员
广东省医学会血液学分会 副主任委员
深圳市医学会血液病学分会 主任委员
广东省医师协会血液科医师分会 常务委员
中国抗癌协会血液肿瘤委员会 委员
中国医院协会血液学机构分会 常务委员

李晓清 教授
深圳市第二人民医院(深圳大学第一附属医院) 血液内科 副主任医师 硕士生导师
中国抗癌协会血液肿瘤整合康复专业委员会 常务委员
中国临床肿瘤学会(CSCO)骨髓瘤专家委员会青年学组 委员
广东省医学会细胞治疗学会 委员
广东省健康教育协会血液学分会 常务委员
广东省抗癌协会淋巴瘤专业委员会 委员
广东省健康管理学会血液病学专委会 委员
深圳市抗癌协会罕见血液肿瘤专业委员会 副主任委员
深圳市抗癌协会白血病专业委员会 副主任委员
深圳市医师协会肿瘤免疫治疗分会 副主任委员
深圳市医师协会血液病学分会 常务委员
深圳市医学会血液病学分会专业委员会 工作秘书
深圳市医师协会淋巴瘤专业委员会 常务委员
深圳市党外知识分子联谊会 理事

彭浩宇 医生
深圳市第二人民医院血液内科 主治医师
深圳医师协会肿瘤免疫治疗专委会理事
深圳市医师协会内科医师分会会员
深圳市抗癌协会罕见浆细胞肿瘤委员会委员
(本网站所有内容,凡注明来源为“医脉通”,版权均归医脉通所有,未经授权,任何媒体、网站或个人不得转载,否则将追究法律责任,授权转载时须注明“来源:医脉通”。本网注明来源为其他媒体的内容为转载,转载仅作观点分享,版权归原作者所有,如有侵犯版权,请及时联系我们。)