
医脉通-临床病例平台
患者男性,58岁,因“右髋疼痛不适伴活动受限半年”入院。
体格检查:右侧下肢长度较左侧短缩1.5cm,右髋部局部稍肿胀,肤温正常,右髋部压痛(++),右下肢纵轴叩击痛(+),右髋关节活动受限,右“4”字试验(+)。
患者有长期饮酒史,否认家族遗传病史。
实验室及辅助检查:
白细胞计数9.58×109/L,淋巴细胞百分比17.4%;N-端骨钙素2.21ng/ml,总I型胶原氨基端延长肽117.7ng/mL,β特殊胶原降解产物816pg/ml,骨源性碱性磷酸酶150U/L;血沉9mm/h;碱性磷酸酶178U/L。肝肾功、尿本周蛋白、HLA-B27、
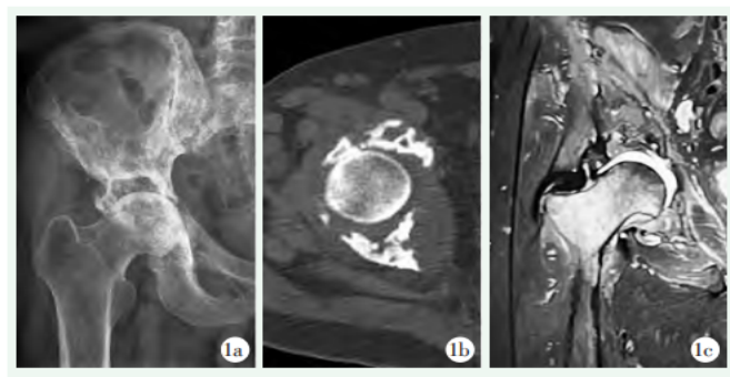
X线片示:右侧髋臼骨质破坏及双侧骶髂关节破坏,右侧髂骨及骶骨骨质密度不均匀(图1a)。
CT示:骨盆诸骨骨质破坏,局部骨质呈虫蚀样改变(图1b)。
MRI示:右侧股骨头、颈部边缘毛糙,囊变,双侧髋关节退行性改变,右侧为著(图1c)。


请结合实验室检查及病理检查谈一谈其诊断与鉴别诊断
(查看原文参与互动讨论)

(本网站所有内容,凡注明来源为“医脉通”,版权均归医脉通所有,未经授权,任何媒体、网站或个人不得转载,否则将追究法律责任,授权转载时须注明“来源:医脉通”。本网注明来源为其他媒体的内容为转载,转载仅作观点分享,版权归原作者所有,如有侵犯版权,请及时联系我们。)